Reversible Interlobular Septal 'Pearls' Associated with Takotsubo Cardiomyopathy and Heart Failure.

IF 1.3 4区 医学 Q4 RADIOLOGY, NUCLEAR MEDICINE & MEDICAL IMAGING
Journal of the Belgian Society of Radiology Pub Date : 2025-09-24 eCollection Date: 2025-01-01 DOI:10.5334/jbsr.4081
Maxence Van Belle, Stéphane B Van den Broeck
{"title":"Reversible Interlobular Septal 'Pearls' Associated with Takotsubo Cardiomyopathy and Heart Failure.","authors":"Maxence Van Belle, Stéphane B Van den Broeck","doi":"10.5334/jbsr.4081","DOIUrl":null,"url":null,"abstract":"<p><p><i>Teaching point:</i> Transient interlobular septal nodules displaying a characteristic branched 'pearl-like' pattern may reflect acute pulmonary lymphatic overload and should not be mistaken for other common pathological processes.</p>","PeriodicalId":55987,"journal":{"name":"Journal of the Belgian Society of Radiology","volume":"109 1","pages":"42"},"PeriodicalIF":1.3000,"publicationDate":"2025-09-24","publicationTypes":"Journal Article","fieldsOfStudy":null,"isOpenAccess":false,"openAccessPdf":"https://www.ncbi.nlm.nih.gov/pmc/articles/PMC12477526/pdf/","citationCount":"0","resultStr":null,"platform":"Semanticscholar","paperid":null,"PeriodicalName":"Journal of the Belgian Society of Radiology","FirstCategoryId":"3","ListUrlMain":"https://doi.org/10.5334/jbsr.4081","RegionNum":4,"RegionCategory":"医学","ArticlePicture":[],"TitleCN":null,"AbstractTextCN":null,"PMCID":null,"EPubDate":"2025/1/1 0:00:00","PubModel":"eCollection","JCR":"Q4","JCRName":"RADIOLOGY, NUCLEAR MEDICINE & MEDICAL IMAGING","Score":null,"Total":0}
引用次数: 0

Abstract

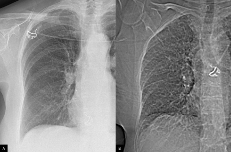
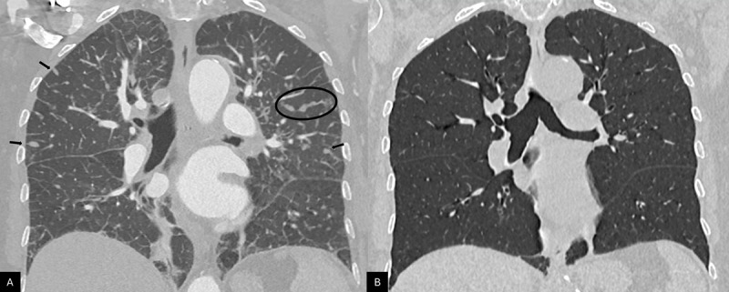
Teaching point: Transient interlobular septal nodules displaying a characteristic branched 'pearl-like' pattern may reflect acute pulmonary lymphatic overload and should not be mistaken for other common pathological processes.

Abstract Image

Abstract Image

Abstract Image

可逆小叶间隔“珍珠”与Takotsubo心肌病和心力衰竭有关。
教学要点:短暂性小叶间隔结节表现为特征性的“珍珠样”分支,可能反映急性肺淋巴负荷过重,不应与其他常见病理过程相混淆。
本文章由计算机程序翻译,如有差异,请以英文原文为准。
求助全文
约1分钟内获得全文 求助全文
来源期刊
Journal of the Belgian Society of Radiology
Journal of the Belgian Society of Radiology Medicine-Radiology, Nuclear Medicine and Imaging
CiteScore
0.70
自引率
5.00%
发文量
96
期刊介绍: The purpose of the Journal of the Belgian Society of Radiology is the publication of articles dealing with diagnostic and interventional radiology, related imaging techniques, allied sciences, and continuing education.
×
引用
GB/T 7714-2015
复制
MLA
复制
APA
复制
导出至
BibTeX EndNote RefMan NoteFirst NoteExpress
×
提示
您的信息不完整,为了账户安全,请先补充。
现在去补充
×
提示
您因"违规操作"
具体请查看互助需知
我知道了
×
提示
确定
请完成安全验证×
copy
已复制链接
快去分享给好友吧!
我知道了
右上角分享
点击右上角分享
0
联系我们:info@booksci.cn Book学术提供免费学术资源搜索服务,方便国内外学者检索中英文文献。致力于提供最便捷和优质的服务体验。 Copyright © 2023 布克学术 All rights reserved.
京ICP备2023020795号-1
ghs 京公网安备 11010802042870号
Book学术文献互助
Book学术文献互助群
群 号:604180095
Book学术官方微信