Biplanar radiographic analysis of knee alignment: a stepwise approach for phenotype classification and knee arthroplasty planning.

IF 4 2区 医学 Q1 ORTHOPEDICS
Shuhei Hiyama, Reuben P Rao, Tsuneari Takahashi, Jeya Palan, Hemant Pandit
{"title":"Biplanar radiographic analysis of knee alignment: a stepwise approach for phenotype classification and knee arthroplasty planning.","authors":"Shuhei Hiyama, Reuben P Rao, Tsuneari Takahashi, Jeya Palan, Hemant Pandit","doi":"10.1530/EOR-2024-0155","DOIUrl":null,"url":null,"abstract":"<p><p>This review presents a standardized, stepwise method for biplanar radiographic analysis of knee alignment, integrating both coronal and sagittal measurements for use in arthritic and non-arthritic knees. It critically compares leading classification systems, including the coronal plane alignment of the knee (CPAK) and the functional knee phenotype classifications. While CPAK provides a simplified 2D coronal model, the functional phenotype system offers a more granular, 3D approach that includes segmental deformities and has recently been expanded to incorporate laxity parameters. Sagittal plane parameters - including posterior tibial slope and femoral component flexion/extension - are essential for comprehensive alignment assessment. These factors influence implant positioning, knee kinematics, and postoperative function. The review outlines preferred measurement techniques, highlighting the value of long-leg weight-bearing radiographs and discussing the limitations and variability of 2D versus 3D imaging approaches. Incorporating both alignment and soft tissue behavior provides a more individualized approach to total knee arthroplasty planning and may lead to improved outcomes by better replicating native knee biomechanics.</p>","PeriodicalId":48598,"journal":{"name":"Efort Open Reviews","volume":"10 10","pages":"745-755"},"PeriodicalIF":4.0000,"publicationDate":"2025-10-01","publicationTypes":"Journal Article","fieldsOfStudy":null,"isOpenAccess":false,"openAccessPdf":"https://www.ncbi.nlm.nih.gov/pmc/articles/PMC12494059/pdf/","citationCount":"0","resultStr":null,"platform":"Semanticscholar","paperid":null,"PeriodicalName":"Efort Open Reviews","FirstCategoryId":"3","ListUrlMain":"https://doi.org/10.1530/EOR-2024-0155","RegionNum":2,"RegionCategory":"医学","ArticlePicture":[],"TitleCN":null,"AbstractTextCN":null,"PMCID":null,"EPubDate":"","PubModel":"","JCR":"Q1","JCRName":"ORTHOPEDICS","Score":null,"Total":0}
引用次数: 0

Abstract

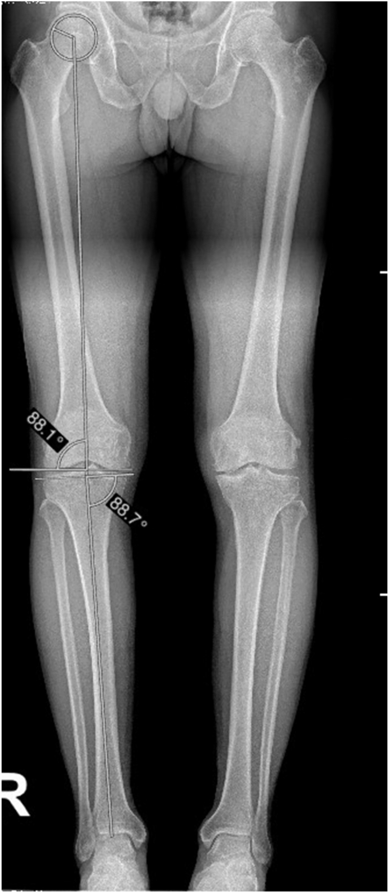
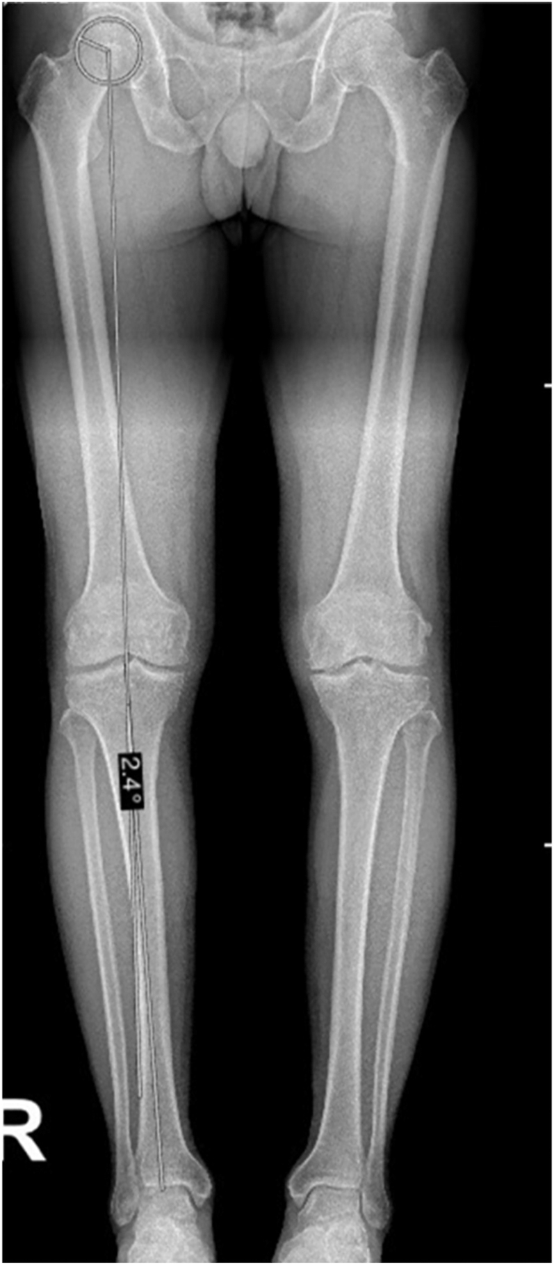
This review presents a standardized, stepwise method for biplanar radiographic analysis of knee alignment, integrating both coronal and sagittal measurements for use in arthritic and non-arthritic knees. It critically compares leading classification systems, including the coronal plane alignment of the knee (CPAK) and the functional knee phenotype classifications. While CPAK provides a simplified 2D coronal model, the functional phenotype system offers a more granular, 3D approach that includes segmental deformities and has recently been expanded to incorporate laxity parameters. Sagittal plane parameters - including posterior tibial slope and femoral component flexion/extension - are essential for comprehensive alignment assessment. These factors influence implant positioning, knee kinematics, and postoperative function. The review outlines preferred measurement techniques, highlighting the value of long-leg weight-bearing radiographs and discussing the limitations and variability of 2D versus 3D imaging approaches. Incorporating both alignment and soft tissue behavior provides a more individualized approach to total knee arthroplasty planning and may lead to improved outcomes by better replicating native knee biomechanics.

Abstract Image

Abstract Image

Abstract Image

膝关节对齐的双平面x线分析:一种分型和膝关节置换术计划的逐步方法。
这篇综述提出了一种标准化的、逐步的双平面x线分析方法,将冠状面和矢状面测量结合起来,用于关节炎和非关节炎膝关节。它批判性地比较了主要的分类系统,包括膝关节的冠状面排列(CPAK)和功能性膝关节表型分类。CPAK提供了一个简化的2D冠状模型,而功能表型系统提供了一个更细粒度的3D方法,包括节段性变形,最近扩展到包含松弛参数。矢状面参数-包括胫骨后坡和股骨构件屈伸-是全面对齐评估的必要条件。这些因素影响植入物定位、膝关节运动学和术后功能。这篇综述概述了首选的测量技术,强调了长腿负重x线片的价值,并讨论了2D与3D成像方法的局限性和可变性。结合对齐和软组织行为为全膝关节置换术计划提供了更个性化的方法,并可能通过更好地复制膝关节生物力学来改善结果。
本文章由计算机程序翻译,如有差异,请以英文原文为准。
求助全文
约1分钟内获得全文 求助全文
来源期刊
Efort Open Reviews
Efort Open Reviews Medicine-Orthopedics and Sports Medicine
CiteScore
6.60
自引率
2.90%
发文量
101
审稿时长
13 weeks
期刊介绍: EFORT Open Reviews publishes high-quality instructional review articles across the whole field of orthopaedics and traumatology. Commissioned, peer-reviewed articles from international experts summarize current knowledge and practice in orthopaedics, with the aim of providing systematic coverage of the field. All articles undergo rigorous scientific editing to ensure the highest standards of accuracy and clarity. This continuously published online journal is fully open access and will provide integrated CME. It is an authoritative resource for educating trainees and supports practising orthopaedic surgeons in keeping informed about the latest clinical and scientific advances. One print issue containing a selection of papers from the journal will be published each year to coincide with the EFORT Annual Congress. EFORT Open Reviews is the official journal of the European Federation of National Associations of Orthopaedics and Traumatology (EFORT) and is published in partnership with The British Editorial Society of Bone & Joint Surgery.
×
引用
GB/T 7714-2015
复制
MLA
复制
APA
复制
导出至
BibTeX EndNote RefMan NoteFirst NoteExpress
×
提示
您的信息不完整,为了账户安全,请先补充。
现在去补充
×
提示
您因"违规操作"
具体请查看互助需知
我知道了
×
提示
确定
请完成安全验证×
copy
已复制链接
快去分享给好友吧!
我知道了
右上角分享
点击右上角分享
0
联系我们:info@booksci.cn Book学术提供免费学术资源搜索服务,方便国内外学者检索中英文文献。致力于提供最便捷和优质的服务体验。 Copyright © 2023 布克学术 All rights reserved.
京ICP备2023020795号-1
ghs 京公网安备 11010802042870号
Book学术文献互助
Book学术文献互助群
群 号:604180095
Book学术官方微信