Localization and Expression of Renin-Angiotensin System Receptors in Lung from Transplant Patients: A Case-Control Study.

IF 3.9 3区 工程技术 Q2 BIOCHEMISTRY & MOLECULAR BIOLOGY
Andresa Thomé Silveira, Lucas Sagrillo Fagundes, Juliane Flor, Isabel Amaral Martins, Laura Bastos Otero, Laura Tibola Marques da Silva, Lorenzo Santana Maciel, Sarah Eller, Giuliano Rizzotto Guimarães, Fabíola Adelia Perin, Márcia Rosângela Wink, Katya Rigatto
{"title":"Localization and Expression of Renin-Angiotensin System Receptors in Lung from Transplant Patients: A Case-Control Study.","authors":"Andresa Thomé Silveira, Lucas Sagrillo Fagundes, Juliane Flor, Isabel Amaral Martins, Laura Bastos Otero, Laura Tibola Marques da Silva, Lorenzo Santana Maciel, Sarah Eller, Giuliano Rizzotto Guimarães, Fabíola Adelia Perin, Márcia Rosângela Wink, Katya Rigatto","doi":"10.3390/biomedicines13092312","DOIUrl":null,"url":null,"abstract":"<p><p><b>Objective</b>: We aimed to assess the expression and localization of renin-angiotensin system (RAS) receptors in lung tissue and the plasma concentration of related peptides in IPF patients. <b>Materials and Methods</b>: This case-control study involved 19 patients from southern Brazil undergoing lung resection or transplantation. Plasma levels of Angiotensin I, II, A, 1-7, Alamandine were measured via liquid chromatography-tandem mass spectrometry. Lung tissue expression and localization of angiotensin type 1 (AT1), Mas, and Mas-related G-protein-coupled receptor D (MrgD) receptors were evaluated using Western blot and immunohistochemistry. Clinical data and the 6-min walk test were analyzed to correlate receptor expression with lung function and oxygen dependence. <b>Results</b>: IPF patients showed reduced forced vital capacity (FVC) at 49 ± 13% and forced expiratory volume (FEV1) at 51 ± 14%, with a 60% increase in oxygen dependence. Plasma peptide concentrations were similar between the groups, except for Angiotensin I, which was significantly higher in the control group. In IPF lungs, AT1 and Mas receptors were expressed 2.31 and 2.13 times more, respectively, while MrgD expression was lower. Mas receptors were mostly found in bronchiole areas, whereas MrgD was predominant in the lung parenchyma. <b>Conclusions</b>: This study indicates that the RAS operates independently within tissue, in addition to its systemic functions, highlighting distinct differences between tissue and plasma RAS activities. The distinct roles of MrgD and Mas receptors in lung structure and function could be pivotal for new therapies, potentially leading to more effective IPF treatments.</p>","PeriodicalId":8937,"journal":{"name":"Biomedicines","volume":"13 9","pages":""},"PeriodicalIF":3.9000,"publicationDate":"2025-09-21","publicationTypes":"Journal Article","fieldsOfStudy":null,"isOpenAccess":false,"openAccessPdf":"https://www.ncbi.nlm.nih.gov/pmc/articles/PMC12466992/pdf/","citationCount":"0","resultStr":null,"platform":"Semanticscholar","paperid":null,"PeriodicalName":"Biomedicines","FirstCategoryId":"5","ListUrlMain":"https://doi.org/10.3390/biomedicines13092312","RegionNum":3,"RegionCategory":"工程技术","ArticlePicture":[],"TitleCN":null,"AbstractTextCN":null,"PMCID":null,"EPubDate":"","PubModel":"","JCR":"Q2","JCRName":"BIOCHEMISTRY & MOLECULAR BIOLOGY","Score":null,"Total":0}
引用次数: 0

Abstract

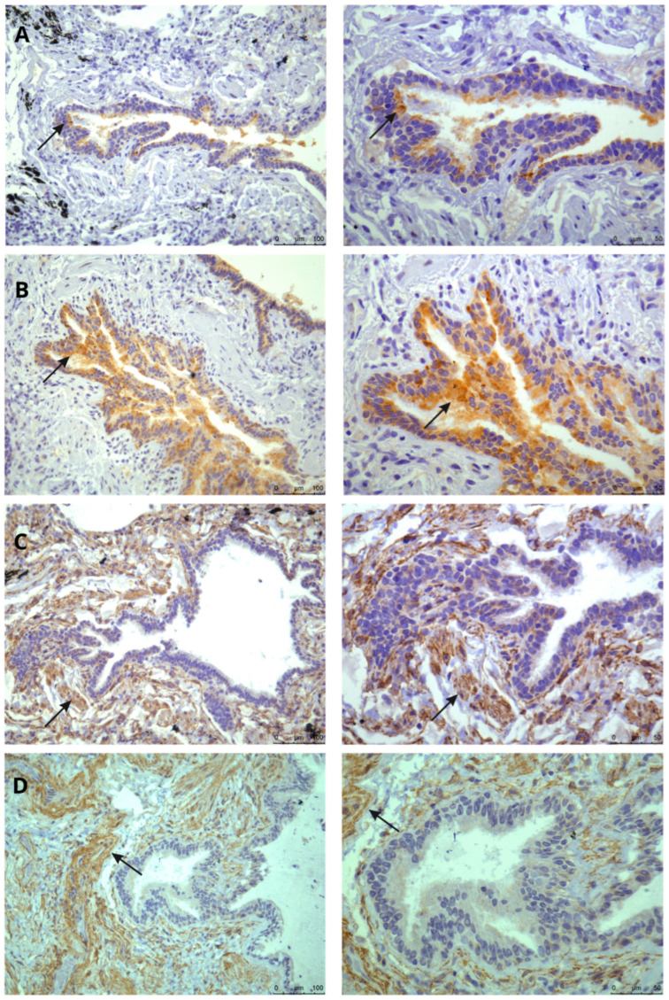
Objective: We aimed to assess the expression and localization of renin-angiotensin system (RAS) receptors in lung tissue and the plasma concentration of related peptides in IPF patients. Materials and Methods: This case-control study involved 19 patients from southern Brazil undergoing lung resection or transplantation. Plasma levels of Angiotensin I, II, A, 1-7, Alamandine were measured via liquid chromatography-tandem mass spectrometry. Lung tissue expression and localization of angiotensin type 1 (AT1), Mas, and Mas-related G-protein-coupled receptor D (MrgD) receptors were evaluated using Western blot and immunohistochemistry. Clinical data and the 6-min walk test were analyzed to correlate receptor expression with lung function and oxygen dependence. Results: IPF patients showed reduced forced vital capacity (FVC) at 49 ± 13% and forced expiratory volume (FEV1) at 51 ± 14%, with a 60% increase in oxygen dependence. Plasma peptide concentrations were similar between the groups, except for Angiotensin I, which was significantly higher in the control group. In IPF lungs, AT1 and Mas receptors were expressed 2.31 and 2.13 times more, respectively, while MrgD expression was lower. Mas receptors were mostly found in bronchiole areas, whereas MrgD was predominant in the lung parenchyma. Conclusions: This study indicates that the RAS operates independently within tissue, in addition to its systemic functions, highlighting distinct differences between tissue and plasma RAS activities. The distinct roles of MrgD and Mas receptors in lung structure and function could be pivotal for new therapies, potentially leading to more effective IPF treatments.

Abstract Image

Abstract Image

Abstract Image

肾素-血管紧张素系统受体在移植患者肺中的定位和表达:一项病例对照研究。
目的:探讨肾素-血管紧张素系统(RAS)受体在IPF患者肺组织中的表达、定位及相关肽的血浆浓度。材料和方法:本病例对照研究包括19例来自巴西南部接受肺切除或移植的患者。采用液相色谱-串联质谱法测定血浆血管紧张素I、II、A、1-7、Alamandine的水平。采用Western blot和免疫组织化学方法检测肺组织中血管紧张素1型(AT1)、Mas和Mas相关的g蛋白偶联受体D (MrgD)受体的表达和定位。分析临床数据和6分钟步行试验,以确定受体表达与肺功能和氧依赖的相关性。结果:IPF患者用力肺活量(FVC)降低49±13%,用力呼气量(FEV1)降低51±14%,氧依赖增加60%。血浆肽浓度各组之间相似,除了血管紧张素I显著高于对照组。在IPF肺中,AT1和Mas受体的表达量分别高出2.31倍和2.13倍,MrgD的表达量较低。Mas受体多见于细支气管区,MrgD受体主要见于肺实质。结论:本研究表明,RAS除了具有系统功能外,还在组织内独立运作,突出了组织和血浆RAS活性之间的明显差异。MrgD和Mas受体在肺结构和功能中的独特作用可能是新疗法的关键,可能导致更有效的IPF治疗。
本文章由计算机程序翻译,如有差异,请以英文原文为准。
求助全文
约1分钟内获得全文 求助全文
来源期刊
Biomedicines
Biomedicines Biochemistry, Genetics and Molecular Biology-General Biochemistry,Genetics and Molecular Biology
CiteScore
5.20
自引率
8.50%
发文量
2823
审稿时长
8 weeks
期刊介绍: Biomedicines (ISSN 2227-9059; CODEN: BIOMID) is an international, scientific, open access journal on biomedicines published quarterly online by MDPI.
×
引用
GB/T 7714-2015
复制
MLA
复制
APA
复制
导出至
BibTeX EndNote RefMan NoteFirst NoteExpress
×
提示
您的信息不完整,为了账户安全,请先补充。
现在去补充
×
提示
您因"违规操作"
具体请查看互助需知
我知道了
×
提示
确定
请完成安全验证×
copy
已复制链接
快去分享给好友吧!
我知道了
右上角分享
点击右上角分享
0
联系我们:info@booksci.cn Book学术提供免费学术资源搜索服务,方便国内外学者检索中英文文献。致力于提供最便捷和优质的服务体验。 Copyright © 2023 布克学术 All rights reserved.
京ICP备2023020795号-1
ghs 京公网安备 11010802042870号
Book学术文献互助
Book学术文献互助群
群 号:604180095
Book学术官方微信