Mustardé Cheek Rotation-Advancement Flap: A Case-Based Experience in Reconstruction of a Large Defect of the Lower Eyelid Due to Squamous Cell Carcinoma.

IF 2.2 Q2 MEDICINE, GENERAL & INTERNAL
Kostadin Gigov, Ivan Ginev, Petra Kavradzhieva
{"title":"Mustardé Cheek Rotation-Advancement Flap: A Case-Based Experience in Reconstruction of a Large Defect of the Lower Eyelid Due to Squamous Cell Carcinoma.","authors":"Kostadin Gigov, Ivan Ginev, Petra Kavradzhieva","doi":"10.3390/clinpract15090165","DOIUrl":null,"url":null,"abstract":"<p><p><b>Background</b>: Restoring the integrity of the lower eyelid presents a complex surgical challenge due to its lamellar structure and the high risk of complications. Among these, ectropion is the most frequent and troublesome outcome. <b>Objective</b>: This study aims to present a case of lower eyelid reconstruction following the excision of squamous cell carcinoma using Mohs micrographic surgery combined with the Mustardé cheek rotation flap technique, highlighting its advantages, limitations, and applicability in elderly patients. <b>Case presentation</b>: A 93-year-old female patient with right lower eyelid squamous cell carcinoma underwent Mohs micrographic surgery. The resulting defect was reconstructed using a Mustardé cheek rotation flap, chosen for its suitability in patients with adequate skin laxity. Patient-specific risk factors, including advanced age, a history of ischemic stroke, and class II heart failure (NYHA classification), were considered in the surgical planning stage. <b>Results</b>: The Mustardé cheek rotation flap provided a reliable closure with a favorable esthetic outcome and inconspicuous scarring, aligned with natural anatomical margins. The technique was technically straightforward in this patient owing to age-related skin laxity. No major postoperative complications were observed. <b>Conclusions</b>: The Mustardé cheek rotation flap represents a safe and effective reconstructive option for elderly patients with lower eyelid defects following tumor excision. This case illustrates the esthetic and functional benefits of the technique while emphasizing the need to tailor reconstruction strategies to patient comorbidities and defect characteristics.</p>","PeriodicalId":45306,"journal":{"name":"Clinics and Practice","volume":"15 9","pages":""},"PeriodicalIF":2.2000,"publicationDate":"2025-09-15","publicationTypes":"Journal Article","fieldsOfStudy":null,"isOpenAccess":false,"openAccessPdf":"https://www.ncbi.nlm.nih.gov/pmc/articles/PMC12469173/pdf/","citationCount":"0","resultStr":null,"platform":"Semanticscholar","paperid":null,"PeriodicalName":"Clinics and Practice","FirstCategoryId":"1085","ListUrlMain":"https://doi.org/10.3390/clinpract15090165","RegionNum":0,"RegionCategory":null,"ArticlePicture":[],"TitleCN":null,"AbstractTextCN":null,"PMCID":null,"EPubDate":"","PubModel":"","JCR":"Q2","JCRName":"MEDICINE, GENERAL & INTERNAL","Score":null,"Total":0}
引用次数: 0

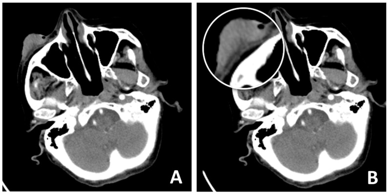
Abstract

Background: Restoring the integrity of the lower eyelid presents a complex surgical challenge due to its lamellar structure and the high risk of complications. Among these, ectropion is the most frequent and troublesome outcome. Objective: This study aims to present a case of lower eyelid reconstruction following the excision of squamous cell carcinoma using Mohs micrographic surgery combined with the Mustardé cheek rotation flap technique, highlighting its advantages, limitations, and applicability in elderly patients. Case presentation: A 93-year-old female patient with right lower eyelid squamous cell carcinoma underwent Mohs micrographic surgery. The resulting defect was reconstructed using a Mustardé cheek rotation flap, chosen for its suitability in patients with adequate skin laxity. Patient-specific risk factors, including advanced age, a history of ischemic stroke, and class II heart failure (NYHA classification), were considered in the surgical planning stage. Results: The Mustardé cheek rotation flap provided a reliable closure with a favorable esthetic outcome and inconspicuous scarring, aligned with natural anatomical margins. The technique was technically straightforward in this patient owing to age-related skin laxity. No major postoperative complications were observed. Conclusions: The Mustardé cheek rotation flap represents a safe and effective reconstructive option for elderly patients with lower eyelid defects following tumor excision. This case illustrates the esthetic and functional benefits of the technique while emphasizing the need to tailor reconstruction strategies to patient comorbidities and defect characteristics.

Abstract Image

Abstract Image

Abstract Image

颊部旋转推进瓣修复鳞状细胞癌所致下眼睑大面积缺损的临床经验。
背景:由于下眼睑的板层结构和并发症的高风险,恢复下眼睑的完整性是一项复杂的手术挑战。其中,外翻是最常见和最麻烦的结果。目的:本研究报告一例鳞状细胞癌切除术后应用Mohs显微手术联合mustard面颊旋转皮瓣技术进行下眼睑重建,突出其优点、局限性及在老年患者中的适用性。病例介绍:一位93岁女性右下眼睑鳞状细胞癌患者接受了莫氏显微摄影手术。所产生的缺陷是重建使用的mustardous脸颊旋转皮瓣,选择了适合患者足够的皮肤松弛。在手术计划阶段考虑患者特定的危险因素,包括高龄、缺血性卒中史和II级心力衰竭(NYHA分类)。结果:mustard脸颊旋转皮瓣提供了可靠的闭合,具有良好的美学效果和不明显的疤痕,与自然解剖边缘对齐。由于与年龄相关的皮肤松弛,该技术在技术上是直接的。术后未见重大并发症。结论:mustardous面颊旋转皮瓣是一种安全有效的下睑缺损手术修复方法。该病例说明了该技术在美学和功能上的好处,同时强调需要根据患者的合并症和缺陷特征量身定制重建策略。
本文章由计算机程序翻译,如有差异,请以英文原文为准。
求助全文
约1分钟内获得全文 求助全文
来源期刊
Clinics and Practice
Clinics and Practice MEDICINE, GENERAL & INTERNAL-
CiteScore
2.60
自引率
4.30%
发文量
91
审稿时长
10 weeks
×
引用
GB/T 7714-2015
复制
MLA
复制
APA
复制
导出至
BibTeX EndNote RefMan NoteFirst NoteExpress
×
提示
您的信息不完整,为了账户安全,请先补充。
现在去补充
×
提示
您因"违规操作"
具体请查看互助需知
我知道了
×
提示
确定
请完成安全验证×
copy
已复制链接
快去分享给好友吧!
我知道了
右上角分享
点击右上角分享
0
联系我们:info@booksci.cn Book学术提供免费学术资源搜索服务,方便国内外学者检索中英文文献。致力于提供最便捷和优质的服务体验。 Copyright © 2023 布克学术 All rights reserved.
京ICP备2023020795号-1
ghs 京公网安备 11010802042870号
Book学术文献互助
Book学术文献互助群
群 号:604180095
Book学术官方微信