Structural Brain Abnormalities, Diagnostic Approaches, and Treatment Strategies in Vertigo: A Case-Control Study.

IF 3 Q2 CLINICAL NEUROLOGY
Klaudia Széphelyi, Szilvia Kóra, Gergely Orsi, József Tollár
{"title":"Structural Brain Abnormalities, Diagnostic Approaches, and Treatment Strategies in Vertigo: A Case-Control Study.","authors":"Klaudia Széphelyi, Szilvia Kóra, Gergely Orsi, József Tollár","doi":"10.3390/neurolint17090146","DOIUrl":null,"url":null,"abstract":"<p><p><b>Background/Objectives:</b> Dizziness is a frequent medical complaint with neurological, otolaryngological, and psychological origins. Imaging studies such as CT (Computer Tomography), cervical X-rays, and ultrasound aid diagnosis, while MRI (Magnetic Resonance Imaging) is crucial for detecting brain abnormalities. Our purpose is to identify structural brain changes associated with vertigo, assess pre-MRI diagnostic approaches, and evaluate treatment strategies. <b>Methods:</b> A case-control study of 232 vertigo patients and 232 controls analyzed MRI findings, pre-MRI examinations, symptoms, and treatments. Statistical comparisons were performed using chi-square and <i>t</i>-tests (<i>p</i> < 0.05). <b>Results</b>: White matter lesions, lacunar infarcts, Circle of Willis variations, and sinusitis were significantly more frequent in vertigo patients (<i>p</i> < 0.05). Pre-MRI diagnostics frequently identified atherosclerosis (ultrasound) and spondylosis (X-ray). Common symptoms included headache, imbalance, and visual disturbances. The most frequent post-MRI diagnosis was Benign Paroxysmal Positional Vertigo (BPPV). Treatments included lifestyle modifications, physical therapy (e.g., Epley maneuver), and pharmacological therapies such as betahistine. <b>Conclusions</b>: MRI revealed structural brain changes linked to vertigo. Pre-MRI assessments are essential for ruling out vascular and musculoskeletal causes. A multidisciplinary treatment approach is recommended. <b>Trial Registration:</b> This study was registered in ClinicalTrials.gov with the trial registration number NCT06848712 on 22 February 2025.</p>","PeriodicalId":19130,"journal":{"name":"Neurology International","volume":"17 9","pages":""},"PeriodicalIF":3.0000,"publicationDate":"2025-09-10","publicationTypes":"Journal Article","fieldsOfStudy":null,"isOpenAccess":false,"openAccessPdf":"https://www.ncbi.nlm.nih.gov/pmc/articles/PMC12472988/pdf/","citationCount":"0","resultStr":null,"platform":"Semanticscholar","paperid":null,"PeriodicalName":"Neurology International","FirstCategoryId":"1085","ListUrlMain":"https://doi.org/10.3390/neurolint17090146","RegionNum":0,"RegionCategory":null,"ArticlePicture":[],"TitleCN":null,"AbstractTextCN":null,"PMCID":null,"EPubDate":"","PubModel":"","JCR":"Q2","JCRName":"CLINICAL NEUROLOGY","Score":null,"Total":0}
引用次数: 0

Abstract

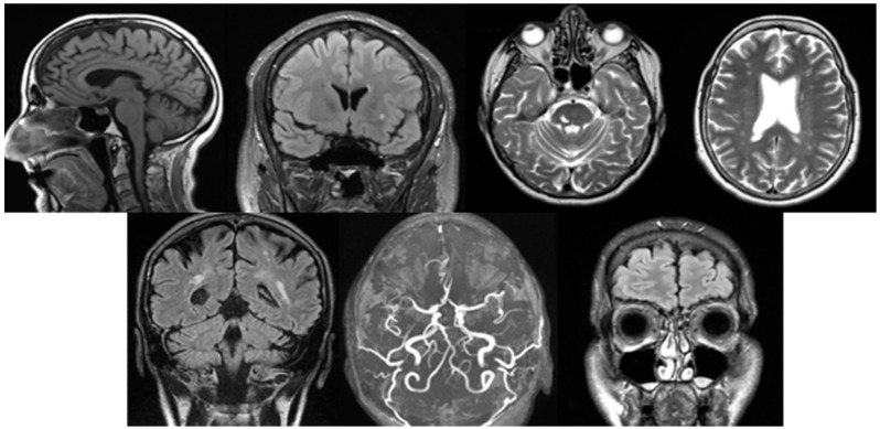
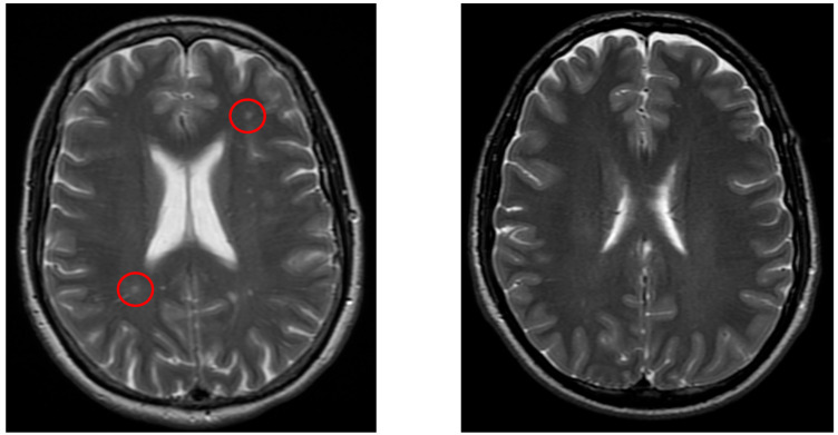
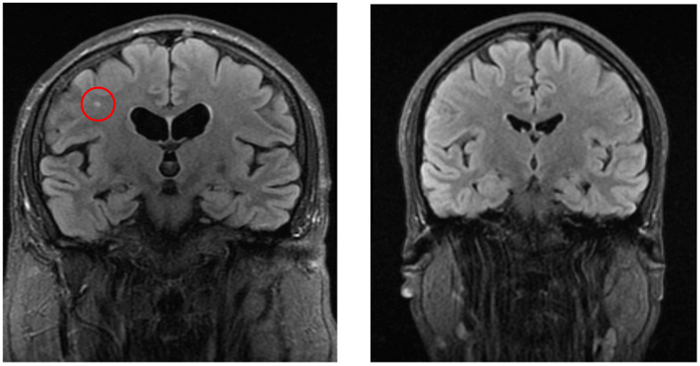
Background/Objectives: Dizziness is a frequent medical complaint with neurological, otolaryngological, and psychological origins. Imaging studies such as CT (Computer Tomography), cervical X-rays, and ultrasound aid diagnosis, while MRI (Magnetic Resonance Imaging) is crucial for detecting brain abnormalities. Our purpose is to identify structural brain changes associated with vertigo, assess pre-MRI diagnostic approaches, and evaluate treatment strategies. Methods: A case-control study of 232 vertigo patients and 232 controls analyzed MRI findings, pre-MRI examinations, symptoms, and treatments. Statistical comparisons were performed using chi-square and t-tests (p < 0.05). Results: White matter lesions, lacunar infarcts, Circle of Willis variations, and sinusitis were significantly more frequent in vertigo patients (p < 0.05). Pre-MRI diagnostics frequently identified atherosclerosis (ultrasound) and spondylosis (X-ray). Common symptoms included headache, imbalance, and visual disturbances. The most frequent post-MRI diagnosis was Benign Paroxysmal Positional Vertigo (BPPV). Treatments included lifestyle modifications, physical therapy (e.g., Epley maneuver), and pharmacological therapies such as betahistine. Conclusions: MRI revealed structural brain changes linked to vertigo. Pre-MRI assessments are essential for ruling out vascular and musculoskeletal causes. A multidisciplinary treatment approach is recommended. Trial Registration: This study was registered in ClinicalTrials.gov with the trial registration number NCT06848712 on 22 February 2025.

Abstract Image

Abstract Image

Abstract Image

眩晕的脑结构异常、诊断方法和治疗策略:一项病例对照研究。
背景/目的:头晕是一种常见的医学主诉,有神经、耳鼻喉和心理病因。CT(计算机断层扫描)、子宫颈x光片和超声波等成像研究有助于诊断,而MRI(磁共振成像)对检测大脑异常至关重要。我们的目的是确定与眩晕相关的大脑结构变化,评估mri前诊断方法,并评估治疗策略。方法:对232例眩晕患者和232例对照组进行病例对照研究,分析MRI表现、MRI前检查、症状和治疗。统计学比较采用卡方检验和t检验(p < 0.05)。结果:眩晕患者白质病变、腔隙性梗死、威利斯环变异、鼻窦炎发生率显著高于眩晕患者(p < 0.05)。mri前诊断经常发现动脉粥样硬化(超声)和颈椎病(x线)。常见症状包括头痛、失衡和视觉障碍。mri后最常见的诊断是良性阵发性位置性眩晕(BPPV)。治疗包括改变生活方式,物理治疗(如Epley手法)和药物治疗,如倍他司汀。结论:MRI显示与眩晕相关的脑结构改变。mri前评估对于排除血管和肌肉骨骼原因是必要的。建议采用多学科治疗方法。试验注册:本研究于2025年2月22日在ClinicalTrials.gov上注册,试验注册号为NCT06848712。
本文章由计算机程序翻译,如有差异,请以英文原文为准。
求助全文
约1分钟内获得全文 求助全文
来源期刊
Neurology International
Neurology International CLINICAL NEUROLOGY-
CiteScore
3.70
自引率
3.30%
发文量
69
审稿时长
11 weeks
×
引用
GB/T 7714-2015
复制
MLA
复制
APA
复制
导出至
BibTeX EndNote RefMan NoteFirst NoteExpress
×
提示
您的信息不完整,为了账户安全,请先补充。
现在去补充
×
提示
您因"违规操作"
具体请查看互助需知
我知道了
×
提示
确定
请完成安全验证×
copy
已复制链接
快去分享给好友吧!
我知道了
右上角分享
点击右上角分享
0
联系我们:info@booksci.cn Book学术提供免费学术资源搜索服务,方便国内外学者检索中英文文献。致力于提供最便捷和优质的服务体验。 Copyright © 2023 布克学术 All rights reserved.
京ICP备2023020795号-1
ghs 京公网安备 11010802042870号
Book学术文献互助
Book学术文献互助群
群 号:604180095
Book学术官方微信