Cholesterol metabolic reprogramming mediates microglia-induced chronic neuroinflammation and hinders neurorestoration following stroke

IF 20.8 1区 医学 Q1 ENDOCRINOLOGY & METABOLISM
Qiang Zhao, Jiajian Li, Jingjing Feng, Xin Wang, Yueting Liu, Fei Wang, Liang Liu, Bingxue Jin, Ming Lin, Ya-chao Wang, Xiuhua Guo, Jieli Chen, Junwei Hao
{"title":"Cholesterol metabolic reprogramming mediates microglia-induced chronic neuroinflammation and hinders neurorestoration following stroke","authors":"Qiang Zhao, Jiajian Li, Jingjing Feng, Xin Wang, Yueting Liu, Fei Wang, Liang Liu, Bingxue Jin, Ming Lin, Ya-chao Wang, Xiuhua Guo, Jieli Chen, Junwei Hao","doi":"10.1038/s42255-025-01379-7","DOIUrl":null,"url":null,"abstract":"Chronic neuroinflammation is a major obstacle to post-stroke recovery, yet the underlying mechanisms, particularly the link between prolonged microglial activation and cholesterol metabolism, are not fully known. Here we show that ischaemic injury induces persistent microglial activation that perpetuates chronic inflammation, leading to microglial cholesterol accumulation and metabolic reprogramming. Using single-cell RNA sequencing, we identified distinct stroke-associated foamy microglia clusters characterized by extensive reprogramming of cholesterol metabolism. Furthermore, direct intracerebral free cholesterol or cholesterol crystal infusion recapitulated sustained microglial activation, directly linking aberrant cholesterol metabolism to prolonged neuroinflammatory responses. Therapeutically, we demonstrate that reducing microglial cholesterol overload through genetic or pharmacological activation of CYP46A1 in male mice promotes white matter repair and functional recovery. These findings highlight microglial cholesterol metabolism as a key driver of post-stroke inflammation, offering therapeutic strategies targeting cholesterol metabolism to mitigate long-term brain damage and promote neurorestoration, potentially improving stroke-related disability outcomes. Persistent microglial activation upon ischaemic injury leads to the formation of stroke-associated foamy microglia, perpetuating long-term inflammation, white matter damage and functional impairments. These effects can be ameliorated by reducing microglial cholesterol overload through activation of CYP46A1.","PeriodicalId":19038,"journal":{"name":"Nature metabolism","volume":"7 10","pages":"2099-2116"},"PeriodicalIF":20.8000,"publicationDate":"2025-09-23","publicationTypes":"Journal Article","fieldsOfStudy":null,"isOpenAccess":false,"openAccessPdf":"https://www.nature.comhttps://www.nature.com/articles/s42255-025-01379-7.pdf","citationCount":"0","resultStr":null,"platform":"Semanticscholar","paperid":null,"PeriodicalName":"Nature metabolism","FirstCategoryId":"3","ListUrlMain":"https://www.nature.com/articles/s42255-025-01379-7","RegionNum":1,"RegionCategory":"医学","ArticlePicture":[],"TitleCN":null,"AbstractTextCN":null,"PMCID":null,"EPubDate":"","PubModel":"","JCR":"Q1","JCRName":"ENDOCRINOLOGY & METABOLISM","Score":null,"Total":0}
引用次数: 0

Abstract

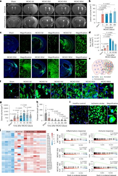
Chronic neuroinflammation is a major obstacle to post-stroke recovery, yet the underlying mechanisms, particularly the link between prolonged microglial activation and cholesterol metabolism, are not fully known. Here we show that ischaemic injury induces persistent microglial activation that perpetuates chronic inflammation, leading to microglial cholesterol accumulation and metabolic reprogramming. Using single-cell RNA sequencing, we identified distinct stroke-associated foamy microglia clusters characterized by extensive reprogramming of cholesterol metabolism. Furthermore, direct intracerebral free cholesterol or cholesterol crystal infusion recapitulated sustained microglial activation, directly linking aberrant cholesterol metabolism to prolonged neuroinflammatory responses. Therapeutically, we demonstrate that reducing microglial cholesterol overload through genetic or pharmacological activation of CYP46A1 in male mice promotes white matter repair and functional recovery. These findings highlight microglial cholesterol metabolism as a key driver of post-stroke inflammation, offering therapeutic strategies targeting cholesterol metabolism to mitigate long-term brain damage and promote neurorestoration, potentially improving stroke-related disability outcomes. Persistent microglial activation upon ischaemic injury leads to the formation of stroke-associated foamy microglia, perpetuating long-term inflammation, white matter damage and functional impairments. These effects can be ameliorated by reducing microglial cholesterol overload through activation of CYP46A1.

Abstract Image

胆固醇代谢重编程介导小胶质细胞诱导的慢性神经炎症并阻碍中风后的神经恢复。
慢性神经炎症是脑卒中后恢复的主要障碍,但其潜在机制,特别是小胶质细胞激活延长与胆固醇代谢之间的联系尚不完全清楚。本研究表明,缺血损伤诱导持续的小胶质细胞激活,使慢性炎症持续存在,导致小胶质细胞胆固醇积累和代谢重编程。通过单细胞RNA测序,我们鉴定出与中风相关的泡沫小胶质细胞簇,其特征是胆固醇代谢的广泛重编程。此外,直接脑内游离胆固醇或胆固醇晶体输注重现了持续的小胶质细胞激活,直接将异常的胆固醇代谢与延长的神经炎症反应联系起来。在治疗上,我们证明通过基因或药理激活雄性小鼠CYP46A1来减少小胶质细胞胆固醇过载,可以促进白质修复和功能恢复。这些发现强调了小胶质细胞胆固醇代谢是卒中后炎症的关键驱动因素,提供了针对胆固醇代谢的治疗策略,以减轻长期脑损伤,促进神经恢复,潜在地改善卒中相关残疾的结局。
本文章由计算机程序翻译,如有差异,请以英文原文为准。
求助全文
约1分钟内获得全文 求助全文
来源期刊
Nature metabolism
Nature metabolism ENDOCRINOLOGY & METABOLISM-
CiteScore
27.50
自引率
2.40%
发文量
170
期刊介绍: Nature Metabolism is a peer-reviewed scientific journal that covers a broad range of topics in metabolism research. It aims to advance the understanding of metabolic and homeostatic processes at a cellular and physiological level. The journal publishes research from various fields, including fundamental cell biology, basic biomedical and translational research, and integrative physiology. It focuses on how cellular metabolism affects cellular function, the physiology and homeostasis of organs and tissues, and the regulation of organismal energy homeostasis. It also investigates the molecular pathophysiology of metabolic diseases such as diabetes and obesity, as well as their treatment. Nature Metabolism follows the standards of other Nature-branded journals, with a dedicated team of professional editors, rigorous peer-review process, high standards of copy-editing and production, swift publication, and editorial independence. The journal has a high impact factor, has a certain influence in the international area, and is deeply concerned and cited by the majority of scholars.
×
引用
GB/T 7714-2015
复制
MLA
复制
APA
复制
导出至
BibTeX EndNote RefMan NoteFirst NoteExpress
×
提示
您的信息不完整,为了账户安全,请先补充。
现在去补充
×
提示
您因"违规操作"
具体请查看互助需知
我知道了
×
提示
确定
请完成安全验证×
copy
已复制链接
快去分享给好友吧!
我知道了
右上角分享
点击右上角分享
0
联系我们:info@booksci.cn Book学术提供免费学术资源搜索服务,方便国内外学者检索中英文文献。致力于提供最便捷和优质的服务体验。 Copyright © 2023 布克学术 All rights reserved.
京ICP备2023020795号-1
ghs 京公网安备 11010802042870号
Book学术文献互助
Book学术文献互助群
群 号:604180095
Book学术官方微信