Secukinumab effectively manages ankylosing spondylitis in a hemodialysis patient without side effects.

Clinical nephrology. Case studies Pub Date : 2025-09-04 eCollection Date: 2025-01-01 DOI:10.5414/CNCS111717
Zewen Zhao, Yuhe Yin, Xiaoying Dong, Qingqing Gao, Haowen Lin, Siqi Peng, Yiming Tao, Sichun Wen, Bohou Li, Qiong Wu, Renwei Huang, Sijia Li, Ting Lin, Hao Dai, Zhuo Li, Lixia Xu, Jianchao Ma, Feng Wen, Zhonglin Feng, Shuangxin Liu, Yanhai Cui
{"title":"Secukinumab effectively manages ankylosing spondylitis in a hemodialysis patient without side effects.","authors":"Zewen Zhao, Yuhe Yin, Xiaoying Dong, Qingqing Gao, Haowen Lin, Siqi Peng, Yiming Tao, Sichun Wen, Bohou Li, Qiong Wu, Renwei Huang, Sijia Li, Ting Lin, Hao Dai, Zhuo Li, Lixia Xu, Jianchao Ma, Feng Wen, Zhonglin Feng, Shuangxin Liu, Yanhai Cui","doi":"10.5414/CNCS111717","DOIUrl":null,"url":null,"abstract":"<p><strong>Introduction: </strong>Ankylosing spondylitis (AS) is a chronic, progressive inflammatory disease that primarily affects the spine and sacroiliac joints. In recent years, biologic agents have gained increasing popularity in the treatment of AS due to their high targeting specificity and favorable side effect profiles. Among these, secukinumab has emerged as an effective treatment option. However, the safety and efficacy of secukinumab in patients undergoing hemodialysis has not yet been thoroughly verified.</p><p><strong>Case report: </strong>Here, we report the successful treatment of AS with secukinumab in a 36-year-old male patient undergoing hemodialysis. The patient presented with recurrent lumbosacral pain and tested positive for HLA-B27. After treatment, significant improvements were observed in both the imaging characteristics of the synovial joints and the patient's symptoms.</p><p><strong>Conclusion: </strong>This case suggests that secukinumab may have a positive effect on AS in patients on hemodialysis, without apparent adverse effects.</p>","PeriodicalId":510898,"journal":{"name":"Clinical nephrology. Case studies","volume":"13 ","pages":"53-58"},"PeriodicalIF":0.0000,"publicationDate":"2025-09-04","publicationTypes":"Journal Article","fieldsOfStudy":null,"isOpenAccess":false,"openAccessPdf":"https://www.ncbi.nlm.nih.gov/pmc/articles/PMC12444432/pdf/","citationCount":"0","resultStr":null,"platform":"Semanticscholar","paperid":null,"PeriodicalName":"Clinical nephrology. Case studies","FirstCategoryId":"1085","ListUrlMain":"https://doi.org/10.5414/CNCS111717","RegionNum":0,"RegionCategory":null,"ArticlePicture":[],"TitleCN":null,"AbstractTextCN":null,"PMCID":null,"EPubDate":"2025/1/1 0:00:00","PubModel":"eCollection","JCR":"","JCRName":"","Score":null,"Total":0}
引用次数: 0

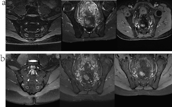
Abstract

Introduction: Ankylosing spondylitis (AS) is a chronic, progressive inflammatory disease that primarily affects the spine and sacroiliac joints. In recent years, biologic agents have gained increasing popularity in the treatment of AS due to their high targeting specificity and favorable side effect profiles. Among these, secukinumab has emerged as an effective treatment option. However, the safety and efficacy of secukinumab in patients undergoing hemodialysis has not yet been thoroughly verified.

Case report: Here, we report the successful treatment of AS with secukinumab in a 36-year-old male patient undergoing hemodialysis. The patient presented with recurrent lumbosacral pain and tested positive for HLA-B27. After treatment, significant improvements were observed in both the imaging characteristics of the synovial joints and the patient's symptoms.

Conclusion: This case suggests that secukinumab may have a positive effect on AS in patients on hemodialysis, without apparent adverse effects.

Abstract Image

Abstract Image

Secukinumab有效治疗血液透析患者的强直性脊柱炎,无副作用。
简介:强直性脊柱炎(AS)是一种慢性进行性炎性疾病,主要影响脊柱和骶髂关节。近年来,生物制剂因其高靶向特异性和良好的副作用在AS治疗中越来越受欢迎。其中,secukinumab已成为一种有效的治疗选择。然而,secukinumab在血液透析患者中的安全性和有效性尚未得到彻底验证。病例报告:在这里,我们报告了一名36岁接受血液透析的男性患者使用secukinumab成功治疗AS。患者表现为复发性腰骶痛,HLA-B27检测阳性。治疗后,滑膜关节的影像学特征和患者的症状均有显著改善。结论:本病例提示,secukinumab可能对血液透析患者的AS有积极作用,无明显不良反应。
本文章由计算机程序翻译,如有差异,请以英文原文为准。
求助全文
约1分钟内获得全文 求助全文
来源期刊
自引率
0.00%
发文量
0
×
引用
GB/T 7714-2015
复制
MLA
复制
APA
复制
导出至
BibTeX EndNote RefMan NoteFirst NoteExpress
×
提示
您的信息不完整,为了账户安全,请先补充。
现在去补充
×
提示
您因"违规操作"
具体请查看互助需知
我知道了
×
提示
确定
请完成安全验证×
copy
已复制链接
快去分享给好友吧!
我知道了
右上角分享
点击右上角分享
0
联系我们:info@booksci.cn Book学术提供免费学术资源搜索服务,方便国内外学者检索中英文文献。致力于提供最便捷和优质的服务体验。 Copyright © 2023 布克学术 All rights reserved.
京ICP备2023020795号-1
ghs 京公网安备 11010802042870号
Book学术文献互助
Book学术文献互助群
群 号:604180095
Book学术官方微信