Secondary aneurysmal bone cyst arising from polyostotic craniofacial fibrous dysplasia.

IF 0.5 Q4 RADIOLOGY, NUCLEAR MEDICINE & MEDICAL IMAGING
BJR Case Reports Pub Date : 2025-09-09 eCollection Date: 2025-09-01 DOI:10.1093/bjrcr/uaaf047
Niket Patel, Kiran Kumar Sailagundla, Essaki Rajulu, Shanmuga Jayanthan, Ganesh Rajagopal, Harpreet Singh Grewal
{"title":"Secondary aneurysmal bone cyst arising from polyostotic craniofacial fibrous dysplasia.","authors":"Niket Patel, Kiran Kumar Sailagundla, Essaki Rajulu, Shanmuga Jayanthan, Ganesh Rajagopal, Harpreet Singh Grewal","doi":"10.1093/bjrcr/uaaf047","DOIUrl":null,"url":null,"abstract":"<p><p>Fibrous dysplasia (FD) is a benign condition affecting osteoblasts, which fail to undergo proper differentiation and maturation, resulting in the replacement of normal osteoid matrix with ground glass fibrous tissue. Aneurysmal bone cyst (ABC) is a benign, expansile, lytic lesion characterized by multiple blood-filled cystic cavities containing haemorrhagic products at varying stages. Secondary ABC arising from craniofacial FD is extremely rare. To date, only 10 cases have been reported in the literature. This report highlights the clinical presentation, imaging findings, and histopathological confirmation of a secondary ABC in a patient with polyostotic craniofacial FD.</p>","PeriodicalId":45216,"journal":{"name":"BJR Case Reports","volume":"11 5","pages":"uaaf047"},"PeriodicalIF":0.5000,"publicationDate":"2025-09-09","publicationTypes":"Journal Article","fieldsOfStudy":null,"isOpenAccess":false,"openAccessPdf":"https://www.ncbi.nlm.nih.gov/pmc/articles/PMC12449245/pdf/","citationCount":"0","resultStr":null,"platform":"Semanticscholar","paperid":null,"PeriodicalName":"BJR Case Reports","FirstCategoryId":"1085","ListUrlMain":"https://doi.org/10.1093/bjrcr/uaaf047","RegionNum":0,"RegionCategory":null,"ArticlePicture":[],"TitleCN":null,"AbstractTextCN":null,"PMCID":null,"EPubDate":"2025/9/1 0:00:00","PubModel":"eCollection","JCR":"Q4","JCRName":"RADIOLOGY, NUCLEAR MEDICINE & MEDICAL IMAGING","Score":null,"Total":0}
引用次数: 0

Abstract

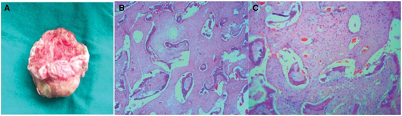
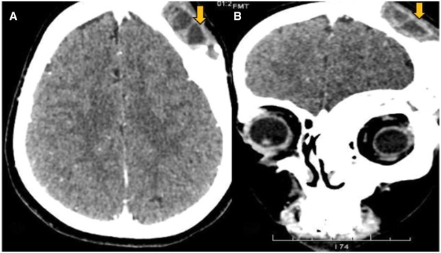
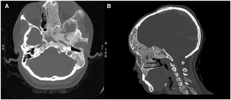
Fibrous dysplasia (FD) is a benign condition affecting osteoblasts, which fail to undergo proper differentiation and maturation, resulting in the replacement of normal osteoid matrix with ground glass fibrous tissue. Aneurysmal bone cyst (ABC) is a benign, expansile, lytic lesion characterized by multiple blood-filled cystic cavities containing haemorrhagic products at varying stages. Secondary ABC arising from craniofacial FD is extremely rare. To date, only 10 cases have been reported in the literature. This report highlights the clinical presentation, imaging findings, and histopathological confirmation of a secondary ABC in a patient with polyostotic craniofacial FD.

Abstract Image

Abstract Image

Abstract Image

颅面纤维发育不良引起的继发性动脉瘤性骨囊肿。
纤维发育不良(FD)是一种影响成骨细胞的良性疾病,成骨细胞不能进行适当的分化和成熟,导致正常的类骨基质被磨砂玻璃纤维组织所取代。动脉瘤性骨囊肿(ABC)是一种良性、扩张、溶解性病变,其特征是多个充血的囊腔,在不同阶段含有出血产物。由颅面FD引起的继发性ABC极为罕见。迄今为止,文献中仅报告了10例病例。本报告强调了一例颅面多骨裂FD患者继发性ABC的临床表现、影像学表现和组织病理学证实。
本文章由计算机程序翻译,如有差异,请以英文原文为准。
求助全文
约1分钟内获得全文 求助全文
来源期刊
BJR Case Reports
BJR Case Reports RADIOLOGY, NUCLEAR MEDICINE & MEDICAL IMAGING-
自引率
0.00%
发文量
77
审稿时长
11 weeks
×
引用
GB/T 7714-2015
复制
MLA
复制
APA
复制
导出至
BibTeX EndNote RefMan NoteFirst NoteExpress
×
提示
您的信息不完整,为了账户安全,请先补充。
现在去补充
×
提示
您因"违规操作"
具体请查看互助需知
我知道了
×
提示
确定
请完成安全验证×
copy
已复制链接
快去分享给好友吧!
我知道了
右上角分享
点击右上角分享
0
联系我们:info@booksci.cn Book学术提供免费学术资源搜索服务,方便国内外学者检索中英文文献。致力于提供最便捷和优质的服务体验。 Copyright © 2023 布克学术 All rights reserved.
京ICP备2023020795号-1
ghs 京公网安备 11010802042870号
Book学术文献互助
Book学术文献互助群
群 号:604180095
Book学术官方微信