Arch replacement in a 4-year-old child with traumatic aortic dissection - An unseen reality.

IF 0.7 Q4 CARDIAC & CARDIOVASCULAR SYSTEMS
Annals of Pediatric Cardiology Pub Date : 2025-03-01 Epub Date: 2025-08-29 DOI:10.4103/apc.apc_229_24
Mayank Yadav, Abhinav Gupta, Anjali Tiwari, Nita Bharti
{"title":"Arch replacement in a 4-year-old child with traumatic aortic dissection - An unseen reality.","authors":"Mayank Yadav, Abhinav Gupta, Anjali Tiwari, Nita Bharti","doi":"10.4103/apc.apc_229_24","DOIUrl":null,"url":null,"abstract":"<p><p>We present a case of a 4-year-old boy with posttraumatic non-A non-B aortic dissection. Pediatric aortic dissection is a rare entity with ill-defined risk factors. A high index of suspicion is needed to identify these patients with aggressive management to offset a high mortality rate. Diagnosis was established with a computed tomography scan, which showed a dissection flap in the aortic arch. The child was taken up for surgery and underwent successful aortic arch replacement with arch vessel reimplantation. We report this case not only because of its incidental rarity but also to highlight the meticulous planning and execution that was essential for a successful outcome.</p>","PeriodicalId":8026,"journal":{"name":"Annals of Pediatric Cardiology","volume":"18 2","pages":"155-157"},"PeriodicalIF":0.7000,"publicationDate":"2025-03-01","publicationTypes":"Journal Article","fieldsOfStudy":null,"isOpenAccess":false,"openAccessPdf":"https://www.ncbi.nlm.nih.gov/pmc/articles/PMC12443390/pdf/","citationCount":"0","resultStr":null,"platform":"Semanticscholar","paperid":null,"PeriodicalName":"Annals of Pediatric Cardiology","FirstCategoryId":"1085","ListUrlMain":"https://doi.org/10.4103/apc.apc_229_24","RegionNum":0,"RegionCategory":null,"ArticlePicture":[],"TitleCN":null,"AbstractTextCN":null,"PMCID":null,"EPubDate":"2025/8/29 0:00:00","PubModel":"Epub","JCR":"Q4","JCRName":"CARDIAC & CARDIOVASCULAR SYSTEMS","Score":null,"Total":0}
引用次数: 0

Abstract

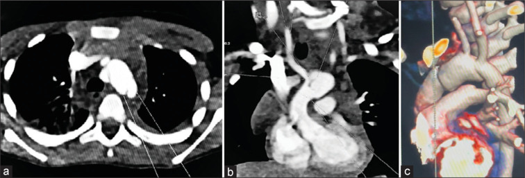
We present a case of a 4-year-old boy with posttraumatic non-A non-B aortic dissection. Pediatric aortic dissection is a rare entity with ill-defined risk factors. A high index of suspicion is needed to identify these patients with aggressive management to offset a high mortality rate. Diagnosis was established with a computed tomography scan, which showed a dissection flap in the aortic arch. The child was taken up for surgery and underwent successful aortic arch replacement with arch vessel reimplantation. We report this case not only because of its incidental rarity but also to highlight the meticulous planning and execution that was essential for a successful outcome.

Abstract Image

Abstract Image

Abstract Image

4岁儿童创伤性主动脉夹层的弓置换术-一个看不见的现实。
我们提出一个4岁男孩创伤后非a非b主动脉夹层的病例。儿童主动脉夹层是一种罕见的疾病,危险因素不明确。需要高度的怀疑指数来识别这些患者,并进行积极的治疗,以抵消高死亡率。诊断是建立在计算机断层扫描,显示一个夹层皮瓣在主动脉弓。孩子接受了手术,并成功地进行了主动脉弓置换和弓血管再植。我们报道这个病例不仅是因为它偶然的罕见,而且还强调了对成功结果至关重要的细致的计划和执行。
本文章由计算机程序翻译,如有差异,请以英文原文为准。
求助全文
约1分钟内获得全文 求助全文
来源期刊
Annals of Pediatric Cardiology
Annals of Pediatric Cardiology CARDIAC & CARDIOVASCULAR SYSTEMS-
CiteScore
1.40
自引率
14.30%
发文量
51
审稿时长
23 weeks
×
引用
GB/T 7714-2015
复制
MLA
复制
APA
复制
导出至
BibTeX EndNote RefMan NoteFirst NoteExpress
×
提示
您的信息不完整,为了账户安全,请先补充。
现在去补充
×
提示
您因"违规操作"
具体请查看互助需知
我知道了
×
提示
确定
请完成安全验证×
copy
已复制链接
快去分享给好友吧!
我知道了
右上角分享
点击右上角分享
0
联系我们:info@booksci.cn Book学术提供免费学术资源搜索服务,方便国内外学者检索中英文文献。致力于提供最便捷和优质的服务体验。 Copyright © 2023 布克学术 All rights reserved.
京ICP备2023020795号-1
ghs 京公网安备 11010802042870号
Book学术文献互助
Book学术文献互助群
群 号:604180095
Book学术官方微信