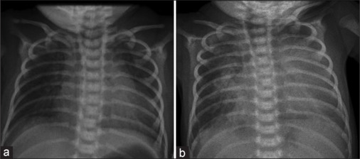
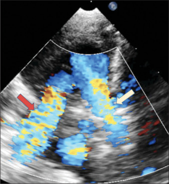
Continuous right-to-left ductal flow in a newborn.

IF 0.7 Q4 CARDIAC & CARDIOVASCULAR SYSTEMS
Annals of Pediatric Cardiology Pub Date : 2025-03-01 Epub Date: 2025-08-29 DOI:10.4103/apc.apc_227_24
Jay Relan, Nayana Nemani, Reena Khantwal Joshi, Anurag Yadav, Raja Joshi
{"title":"Continuous right-to-left ductal flow in a newborn.","authors":"Jay Relan, Nayana Nemani, Reena Khantwal Joshi, Anurag Yadav, Raja Joshi","doi":"10.4103/apc.apc_227_24","DOIUrl":null,"url":null,"abstract":"<p><p>We describe a 7-day-old newborn who presented with arterial desaturation and respiratory distress. The evaluation showed a duct with a continuous right-to-left shunt and an anomalous origin of the right pulmonary artery from the aorta. We discuss the hemodynamics leading to continuous right-to-left ductal flow and the subsequent intraoperative evaluation that resulted in a successful single-stage surgical repair of this interesting case.</p>","PeriodicalId":8026,"journal":{"name":"Annals of Pediatric Cardiology","volume":"18 2","pages":"151-154"},"PeriodicalIF":0.7000,"publicationDate":"2025-03-01","publicationTypes":"Journal Article","fieldsOfStudy":null,"isOpenAccess":false,"openAccessPdf":"https://www.ncbi.nlm.nih.gov/pmc/articles/PMC12443391/pdf/","citationCount":"0","resultStr":null,"platform":"Semanticscholar","paperid":null,"PeriodicalName":"Annals of Pediatric Cardiology","FirstCategoryId":"1085","ListUrlMain":"https://doi.org/10.4103/apc.apc_227_24","RegionNum":0,"RegionCategory":null,"ArticlePicture":[],"TitleCN":null,"AbstractTextCN":null,"PMCID":null,"EPubDate":"2025/8/29 0:00:00","PubModel":"Epub","JCR":"Q4","JCRName":"CARDIAC & CARDIOVASCULAR SYSTEMS","Score":null,"Total":0}
引用次数: 0

Abstract

We describe a 7-day-old newborn who presented with arterial desaturation and respiratory distress. The evaluation showed a duct with a continuous right-to-left shunt and an anomalous origin of the right pulmonary artery from the aorta. We discuss the hemodynamics leading to continuous right-to-left ductal flow and the subsequent intraoperative evaluation that resulted in a successful single-stage surgical repair of this interesting case.

Abstract Image

Abstract Image

Abstract Image

新生儿连续的从右到左导管血流。
我们描述了一个7天大的新生儿谁提出了动脉不饱和和呼吸窘迫。检查显示有一个连续的从右到左分流的导管和一个异常的起源于主动脉的右肺动脉。我们讨论导致持续的右至左导管血流的血流动力学和随后的术中评估,导致成功的单阶段手术修复这个有趣的病例。
本文章由计算机程序翻译,如有差异,请以英文原文为准。
求助全文
约1分钟内获得全文 求助全文
来源期刊
Annals of Pediatric Cardiology
Annals of Pediatric Cardiology CARDIAC & CARDIOVASCULAR SYSTEMS-
CiteScore
1.40
自引率
14.30%
发文量
51
审稿时长
23 weeks
×
引用
GB/T 7714-2015
复制
MLA
复制
APA
复制
导出至
BibTeX EndNote RefMan NoteFirst NoteExpress
×
提示
您的信息不完整,为了账户安全,请先补充。
现在去补充
×
提示
您因"违规操作"
具体请查看互助需知
我知道了
×
提示
确定
请完成安全验证×
copy
已复制链接
快去分享给好友吧!
我知道了
右上角分享
点击右上角分享
0
联系我们:info@booksci.cn Book学术提供免费学术资源搜索服务,方便国内外学者检索中英文文献。致力于提供最便捷和优质的服务体验。 Copyright © 2023 布克学术 All rights reserved.
京ICP备2023020795号-1
ghs 京公网安备 11010802042870号
Book学术文献互助
Book学术文献互助群
群 号:604180095
Book学术官方微信