Imaging of a baby with recurrent airway infections.

IF 0.7 Q4 CARDIAC & CARDIOVASCULAR SYSTEMS
Annals of Pediatric Cardiology Pub Date : 2025-03-01 Epub Date: 2025-08-29 DOI:10.4103/apc.apc_223_24
Sucheta Barman, Debasree Gangopadhyay, Mahua Roy, Subhajit Das, Ritajyoti Sengupta, Pallab Chatterjee
{"title":"Imaging of a baby with recurrent airway infections.","authors":"Sucheta Barman, Debasree Gangopadhyay, Mahua Roy, Subhajit Das, Ritajyoti Sengupta, Pallab Chatterjee","doi":"10.4103/apc.apc_223_24","DOIUrl":null,"url":null,"abstract":"<p><p>Stridor, choking episodes and recurrent respiratory infections are common causes of referral for echocardiographic evaluation of the cardiovascular system. Vascular anomalies are rare but important causes of airway symptoms and/or feeding difficulty in young infants and should be carefully evaluated during echocardiogram.</p>","PeriodicalId":8026,"journal":{"name":"Annals of Pediatric Cardiology","volume":"18 2","pages":"179-182"},"PeriodicalIF":0.7000,"publicationDate":"2025-03-01","publicationTypes":"Journal Article","fieldsOfStudy":null,"isOpenAccess":false,"openAccessPdf":"https://www.ncbi.nlm.nih.gov/pmc/articles/PMC12443407/pdf/","citationCount":"0","resultStr":null,"platform":"Semanticscholar","paperid":null,"PeriodicalName":"Annals of Pediatric Cardiology","FirstCategoryId":"1085","ListUrlMain":"https://doi.org/10.4103/apc.apc_223_24","RegionNum":0,"RegionCategory":null,"ArticlePicture":[],"TitleCN":null,"AbstractTextCN":null,"PMCID":null,"EPubDate":"2025/8/29 0:00:00","PubModel":"Epub","JCR":"Q4","JCRName":"CARDIAC & CARDIOVASCULAR SYSTEMS","Score":null,"Total":0}
引用次数: 0

Abstract

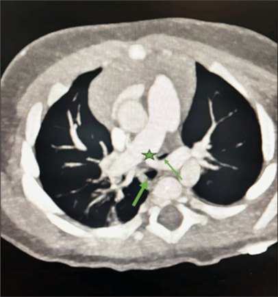
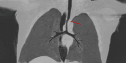
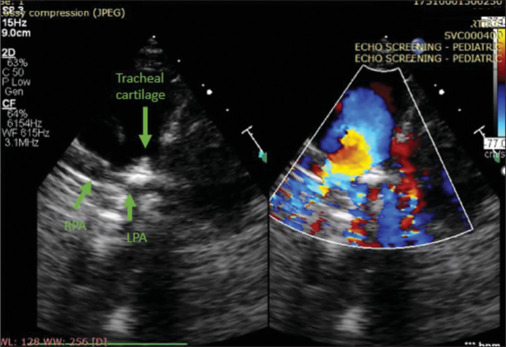
Stridor, choking episodes and recurrent respiratory infections are common causes of referral for echocardiographic evaluation of the cardiovascular system. Vascular anomalies are rare but important causes of airway symptoms and/or feeding difficulty in young infants and should be carefully evaluated during echocardiogram.

Abstract Image

Abstract Image

Abstract Image

反复呼吸道感染的婴儿影像学。
喘鸣,窒息发作和反复呼吸道感染是心血管系统超声心动图评估的常见原因。血管异常是罕见但重要的原因气道症状和/或喂养困难的幼儿,应仔细评估超声心动图。
本文章由计算机程序翻译,如有差异,请以英文原文为准。
求助全文
约1分钟内获得全文 求助全文
来源期刊
Annals of Pediatric Cardiology
Annals of Pediatric Cardiology CARDIAC & CARDIOVASCULAR SYSTEMS-
CiteScore
1.40
自引率
14.30%
发文量
51
审稿时长
23 weeks
×
引用
GB/T 7714-2015
复制
MLA
复制
APA
复制
导出至
BibTeX EndNote RefMan NoteFirst NoteExpress
×
提示
您的信息不完整,为了账户安全,请先补充。
现在去补充
×
提示
您因"违规操作"
具体请查看互助需知
我知道了
×
提示
确定
请完成安全验证×
copy
已复制链接
快去分享给好友吧!
我知道了
右上角分享
点击右上角分享
0
联系我们:info@booksci.cn Book学术提供免费学术资源搜索服务,方便国内外学者检索中英文文献。致力于提供最便捷和优质的服务体验。 Copyright © 2023 布克学术 All rights reserved.
京ICP备2023020795号-1
ghs 京公网安备 11010802042870号
Book学术文献互助
Book学术文献互助群
群 号:604180095
Book学术官方微信