Anomalous systemic venous drainage in truncus arteriosus - An unusual association.

IF 0.7 Q4 CARDIAC & CARDIOVASCULAR SYSTEMS
Annals of Pediatric Cardiology Pub Date : 2025-03-01 Epub Date: 2025-08-29 DOI:10.4103/apc.apc_42_25
Bojja Venkata Satya Roopesh, Gowdhaman Anand Kumar, Sreeja Pavithran, Ravi Agarwal, Kothandam Sivakumar
{"title":"Anomalous systemic venous drainage in truncus arteriosus - An unusual association.","authors":"Bojja Venkata Satya Roopesh, Gowdhaman Anand Kumar, Sreeja Pavithran, Ravi Agarwal, Kothandam Sivakumar","doi":"10.4103/apc.apc_42_25","DOIUrl":null,"url":null,"abstract":"<p><p>Truncus arteriosus (TA) is a major cyanotic heart malformation infrequently associated with aortic arch interruption and isolation of the branch pulmonary artery. Anomalous superior vena caval drainage to the left atrium (LA) is hitherto unreported in TA. In a 45-day-old infant diagnosed with TA and cyanosis, anomalous drainage of the right superior vena cava into the LA was not identified preoperatively or intraoperatively. It was detected postoperatively due to persistent hypoxemia. The anomaly posed unique challenges in the subsequent management. This case report highlights the unusual association of systemic venous drainage in TA.</p>","PeriodicalId":8026,"journal":{"name":"Annals of Pediatric Cardiology","volume":"18 2","pages":"169-172"},"PeriodicalIF":0.7000,"publicationDate":"2025-03-01","publicationTypes":"Journal Article","fieldsOfStudy":null,"isOpenAccess":false,"openAccessPdf":"https://www.ncbi.nlm.nih.gov/pmc/articles/PMC12443406/pdf/","citationCount":"0","resultStr":null,"platform":"Semanticscholar","paperid":null,"PeriodicalName":"Annals of Pediatric Cardiology","FirstCategoryId":"1085","ListUrlMain":"https://doi.org/10.4103/apc.apc_42_25","RegionNum":0,"RegionCategory":null,"ArticlePicture":[],"TitleCN":null,"AbstractTextCN":null,"PMCID":null,"EPubDate":"2025/8/29 0:00:00","PubModel":"Epub","JCR":"Q4","JCRName":"CARDIAC & CARDIOVASCULAR SYSTEMS","Score":null,"Total":0}
引用次数: 0

Abstract

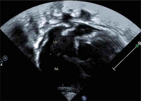
Truncus arteriosus (TA) is a major cyanotic heart malformation infrequently associated with aortic arch interruption and isolation of the branch pulmonary artery. Anomalous superior vena caval drainage to the left atrium (LA) is hitherto unreported in TA. In a 45-day-old infant diagnosed with TA and cyanosis, anomalous drainage of the right superior vena cava into the LA was not identified preoperatively or intraoperatively. It was detected postoperatively due to persistent hypoxemia. The anomaly posed unique challenges in the subsequent management. This case report highlights the unusual association of systemic venous drainage in TA.

Abstract Image

Abstract Image

动脉干异常全身静脉引流-一种不寻常的关联。
动脉干(TA)是一种主要的青紫性心脏畸形,通常与主动脉弓中断和肺动脉分支分离有关。异常上腔静脉引流至左心房(LA)迄今未见报道。在一个45天大的婴儿诊断为TA和紫绀,右上腔静脉异常引流到LA术前或术中没有发现。术后发现为持续低氧血症。这一异常现象给随后的管理带来了独特的挑战。本病例报告强调了TA中不寻常的全身静脉引流的关联。
本文章由计算机程序翻译,如有差异,请以英文原文为准。
求助全文
约1分钟内获得全文 求助全文
来源期刊
Annals of Pediatric Cardiology
Annals of Pediatric Cardiology CARDIAC & CARDIOVASCULAR SYSTEMS-
CiteScore
1.40
自引率
14.30%
发文量
51
审稿时长
23 weeks
×
引用
GB/T 7714-2015
复制
MLA
复制
APA
复制
导出至
BibTeX EndNote RefMan NoteFirst NoteExpress
×
提示
您的信息不完整,为了账户安全,请先补充。
现在去补充
×
提示
您因"违规操作"
具体请查看互助需知
我知道了
×
提示
确定
请完成安全验证×
copy
已复制链接
快去分享给好友吧!
我知道了
右上角分享
点击右上角分享
0
联系我们:info@booksci.cn Book学术提供免费学术资源搜索服务,方便国内外学者检索中英文文献。致力于提供最便捷和优质的服务体验。 Copyright © 2023 布克学术 All rights reserved.
京ICP备2023020795号-1
ghs 京公网安备 11010802042870号
Book学术文献互助
Book学术文献互助群
群 号:604180095
Book学术官方微信