Case Report: Anti-glomerular basement membrane disease following COVID-19 infection.

Frontiers in nephrology Pub Date : 2025-09-02 eCollection Date: 2025-01-01 DOI:10.3389/fneph.2025.1591512
Justin David Tse, Jackson Wang, Adarsh Bhat, Rajib Kumar Gupta
{"title":"Case Report: Anti-glomerular basement membrane disease following COVID-19 infection.","authors":"Justin David Tse, Jackson Wang, Adarsh Bhat, Rajib Kumar Gupta","doi":"10.3389/fneph.2025.1591512","DOIUrl":null,"url":null,"abstract":"<p><p>Anti-glomerular basement membrane (anti-GBM) disease is a rare autoimmune disorder characterized by circulating autoantibodies targeting type IV collagen, leading to rapidly progressive glomerulonephritis. We report a case of a 44-year-old African American female with a history of hypertension who presented with acute kidney injury, hematuria, and shortness of breath. She tested positive for COVID-19 and received antiviral therapy; however, her renal function rapidly deteriorated, with serum creatinine rising from 3.4 to 10 mg/dL. Serologic testing ruled out common autoimmune conditions, but elevated CH50 levels suggested ongoing immune activation. Renal biopsy demonstrated diffuse necrotizing crescentic glomerulonephritis with linear IgG staining, consistent with anti-GBM disease. Despite aggressive therapy, including plasmapheresis, corticosteroids, and dialysis, renal recovery was not achieved. Immunosuppressive therapy was deferred in light of her active COVID-19 infection and the risk of immunosuppression-related complications. This case highlights a potential association between COVID-19 and anti-GBM disease, suggesting viral-induced endothelial injury and aberrant immune activation as possible mechanisms. Given emerging reports of autoimmune kidney diseases following COVID-19, further research is needed to clarify this relationship and guide optimal management. This is particularly important for patients who present with severe renal dysfunction in the context of an active infection.</p>","PeriodicalId":73091,"journal":{"name":"Frontiers in nephrology","volume":"5 ","pages":"1591512"},"PeriodicalIF":0.0000,"publicationDate":"2025-09-02","publicationTypes":"Journal Article","fieldsOfStudy":null,"isOpenAccess":false,"openAccessPdf":"https://www.ncbi.nlm.nih.gov/pmc/articles/PMC12436124/pdf/","citationCount":"0","resultStr":null,"platform":"Semanticscholar","paperid":null,"PeriodicalName":"Frontiers in nephrology","FirstCategoryId":"1085","ListUrlMain":"https://doi.org/10.3389/fneph.2025.1591512","RegionNum":0,"RegionCategory":null,"ArticlePicture":[],"TitleCN":null,"AbstractTextCN":null,"PMCID":null,"EPubDate":"2025/1/1 0:00:00","PubModel":"eCollection","JCR":"","JCRName":"","Score":null,"Total":0}
引用次数: 0

Abstract

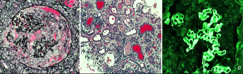
Anti-glomerular basement membrane (anti-GBM) disease is a rare autoimmune disorder characterized by circulating autoantibodies targeting type IV collagen, leading to rapidly progressive glomerulonephritis. We report a case of a 44-year-old African American female with a history of hypertension who presented with acute kidney injury, hematuria, and shortness of breath. She tested positive for COVID-19 and received antiviral therapy; however, her renal function rapidly deteriorated, with serum creatinine rising from 3.4 to 10 mg/dL. Serologic testing ruled out common autoimmune conditions, but elevated CH50 levels suggested ongoing immune activation. Renal biopsy demonstrated diffuse necrotizing crescentic glomerulonephritis with linear IgG staining, consistent with anti-GBM disease. Despite aggressive therapy, including plasmapheresis, corticosteroids, and dialysis, renal recovery was not achieved. Immunosuppressive therapy was deferred in light of her active COVID-19 infection and the risk of immunosuppression-related complications. This case highlights a potential association between COVID-19 and anti-GBM disease, suggesting viral-induced endothelial injury and aberrant immune activation as possible mechanisms. Given emerging reports of autoimmune kidney diseases following COVID-19, further research is needed to clarify this relationship and guide optimal management. This is particularly important for patients who present with severe renal dysfunction in the context of an active infection.

Abstract Image

Abstract Image

Abstract Image

病例报告:COVID-19感染后抗肾小球基底膜病变。
抗肾小球基底膜病(anti-GBM)是一种罕见的自身免疫性疾病,其特征是循环中针对IV型胶原的自身抗体,可导致快速进展的肾小球肾炎。我们报告一例44岁非裔美国女性高血压病史,表现为急性肾损伤、血尿和呼吸短促。她的COVID-19检测呈阳性,并接受了抗病毒治疗;然而,她的肾功能迅速恶化,血清肌酐从3.4上升到10 mg/dL。血清学检测排除了常见的自身免疫性疾病,但升高的CH50水平提示持续的免疫激活。肾活检显示弥漫性坏死性新月形肾小球肾炎,线性IgG染色,符合抗gbm疾病。尽管积极治疗,包括血浆置换、皮质类固醇和透析,肾脏仍未恢复。鉴于她的COVID-19感染活动性和免疫抑制相关并发症的风险,免疫抑制治疗被推迟。该病例强调了COVID-19与抗gbm疾病之间的潜在关联,提示病毒诱导的内皮损伤和异常免疫激活是可能的机制。鉴于新出现的COVID-19后自身免疫性肾脏疾病的报道,需要进一步的研究来阐明这种关系并指导最佳管理。这对于在活动性感染的情况下出现严重肾功能不全的患者尤其重要。
本文章由计算机程序翻译,如有差异,请以英文原文为准。
求助全文
约1分钟内获得全文 求助全文
来源期刊
自引率
0.00%
发文量
0
×
引用
GB/T 7714-2015
复制
MLA
复制
APA
复制
导出至
BibTeX EndNote RefMan NoteFirst NoteExpress
×
提示
您的信息不完整,为了账户安全,请先补充。
现在去补充
×
提示
您因"违规操作"
具体请查看互助需知
我知道了
×
提示
确定
请完成安全验证×
copy
已复制链接
快去分享给好友吧!
我知道了
右上角分享
点击右上角分享
0
联系我们:info@booksci.cn Book学术提供免费学术资源搜索服务,方便国内外学者检索中英文文献。致力于提供最便捷和优质的服务体验。 Copyright © 2023 布克学术 All rights reserved.
京ICP备2023020795号-1
ghs 京公网安备 11010802042870号
Book学术文献互助
Book学术文献互助群
群 号:604180095
Book学术官方微信