Acute Granulomatous Thyroiditis With Abscess Formation Due To Brucellosis: A Case Report.

IF 0.9 Q4 ENDOCRINOLOGY & METABOLISM
Case Reports in Endocrinology Pub Date : 2025-09-08 eCollection Date: 2025-01-01 DOI:10.1155/crie/9644135
Soroosh Moradi Dastjerdi, Farnaz Karimi Ghahderijani, Raheleh Sadat Sajad
{"title":"Acute Granulomatous Thyroiditis With Abscess Formation Due To Brucellosis: A Case Report.","authors":"Soroosh Moradi Dastjerdi, Farnaz Karimi Ghahderijani, Raheleh Sadat Sajad","doi":"10.1155/crie/9644135","DOIUrl":null,"url":null,"abstract":"<p><p>This case report discusses a rare instance of acute granulomatous thyroiditis resulting from brucellosis. A 47-year-old female cattle farmer presented with painful neck swelling and systemic symptoms. Initial investigations suggested a potential malignancy, but further testing, such as serological tests, pathology and imaging revealed brucellosis as the underlying cause. The patient underwent surgical intervention for abscess drainage and antibiotic therapy for brucellosis and showed significant clinical improvement. This case underscores the need for awareness of <i>Brucella melitensis</i>, a zoonotic infection, as a differential diagnosis in thyroid conditions, contributing to the understanding of its varied manifestations and complications, especially in endemic regions.</p>","PeriodicalId":9621,"journal":{"name":"Case Reports in Endocrinology","volume":"2025 ","pages":"9644135"},"PeriodicalIF":0.9000,"publicationDate":"2025-09-08","publicationTypes":"Journal Article","fieldsOfStudy":null,"isOpenAccess":false,"openAccessPdf":"https://www.ncbi.nlm.nih.gov/pmc/articles/PMC12436023/pdf/","citationCount":"0","resultStr":null,"platform":"Semanticscholar","paperid":null,"PeriodicalName":"Case Reports in Endocrinology","FirstCategoryId":"1085","ListUrlMain":"https://doi.org/10.1155/crie/9644135","RegionNum":0,"RegionCategory":null,"ArticlePicture":[],"TitleCN":null,"AbstractTextCN":null,"PMCID":null,"EPubDate":"2025/1/1 0:00:00","PubModel":"eCollection","JCR":"Q4","JCRName":"ENDOCRINOLOGY & METABOLISM","Score":null,"Total":0}
引用次数: 0

Abstract

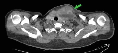
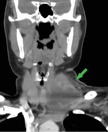
This case report discusses a rare instance of acute granulomatous thyroiditis resulting from brucellosis. A 47-year-old female cattle farmer presented with painful neck swelling and systemic symptoms. Initial investigations suggested a potential malignancy, but further testing, such as serological tests, pathology and imaging revealed brucellosis as the underlying cause. The patient underwent surgical intervention for abscess drainage and antibiotic therapy for brucellosis and showed significant clinical improvement. This case underscores the need for awareness of Brucella melitensis, a zoonotic infection, as a differential diagnosis in thyroid conditions, contributing to the understanding of its varied manifestations and complications, especially in endemic regions.

Abstract Image

Abstract Image

Abstract Image

布鲁氏菌病致急性肉芽肿性甲状腺炎伴脓肿形成1例。
本病例报告讨论一例罕见的由布鲁氏菌病引起的急性肉芽肿性甲状腺炎。一名47岁女养牛户出现颈部疼痛肿胀和全身症状。初步调查显示可能是恶性肿瘤,但血清学检查、病理和影像学等进一步检查显示布鲁氏菌病是潜在病因。患者接受外科手术治疗脓肿引流和抗生素治疗布鲁氏菌病,临床表现明显改善。该病例强调需要认识到,作为一种人畜共患感染的梅利氏布鲁氏菌,作为甲状腺疾病的鉴别诊断,有助于了解其各种表现和并发症,特别是在流行地区。
本文章由计算机程序翻译,如有差异,请以英文原文为准。
求助全文
约1分钟内获得全文 求助全文
来源期刊
Case Reports in Endocrinology
Case Reports in Endocrinology ENDOCRINOLOGY & METABOLISM-
CiteScore
2.10
自引率
0.00%
发文量
45
审稿时长
13 weeks
×
引用
GB/T 7714-2015
复制
MLA
复制
APA
复制
导出至
BibTeX EndNote RefMan NoteFirst NoteExpress
×
提示
您的信息不完整,为了账户安全,请先补充。
现在去补充
×
提示
您因"违规操作"
具体请查看互助需知
我知道了
×
提示
确定
请完成安全验证×
copy
已复制链接
快去分享给好友吧!
我知道了
右上角分享
点击右上角分享
0
联系我们:info@booksci.cn Book学术提供免费学术资源搜索服务,方便国内外学者检索中英文文献。致力于提供最便捷和优质的服务体验。 Copyright © 2023 布克学术 All rights reserved.
京ICP备2023020795号-1
ghs 京公网安备 11010802042870号
Book学术文献互助
Book学术文献互助群
群 号:604180095
Book学术官方微信