Amyotrophic Lateral Sclerosis Masquerading as Multiple System Atrophy with Parkinsonism and Anxiety as Initial Manifestations.

IF 3.2 Q3 CLINICAL NEUROLOGY
Degenerative neurological and neuromuscular disease Pub Date : 2025-09-10 eCollection Date: 2025-01-01 DOI:10.2147/DNND.S531647
Haiyan Tang, Jianping Yao, Zhuang Wang
{"title":"Amyotrophic Lateral Sclerosis Masquerading as Multiple System Atrophy with Parkinsonism and Anxiety as Initial Manifestations.","authors":"Haiyan Tang, Jianping Yao, Zhuang Wang","doi":"10.2147/DNND.S531647","DOIUrl":null,"url":null,"abstract":"<p><strong>Introduction: </strong>Amyotrophic lateral sclerosis (ALS) and multiple system atrophy (MSA) are both neurodegenerative disorders. While ALS may present with clinical features resembling Parkinsonism, there have been no definitive reports of ALS mimicking MSA, only cases of Primary lateral sclerosis (PLS) mimicking Parkinsonism.</p><p><strong>Methods: </strong>This article reports a case of ALS presenting with Parkinsonism and anxiety as the initial symptoms. Five years after the initial diagnosis of MSA, the patient developed signs of lower motor neuron involvement, including fasciculations and muscle atrophy, ultimately leading to a revised diagnosis of ALS. This study combines literature analysis to explore the reasons for misdiagnosis and identifies key differentiating features.</p><p><strong>Results: </strong>Specifically, muscle rigidity in ALS is characterized by a velocity-dependent increase in muscle tone caused by damage to the upper motor neurons. This symptom tends to be more pronounced in the lower limbs than in the upper limbs and is often accompanied by spastic gait. Objective examinations may reveal early atrophy of the frontal and temporal lobes of the cerebrum on head magnetic resonance (MR) imaging, whereas <sup>18</sup>F-FDG brain positron emission tomography (PET) may reveal reduced metabolism in the frontal and parietal lobes of the cerebrum with normal basal ganglial function, distinguishing ALS from basal ganglial metabolic decline in MSA.</p><p><strong>Discussion: </strong>To our knowledge, this is the first case of ALS misdiagnosed as MSA. Clinically, patients with parkinsonism who do not respond to dopaminergic drugs should be cautious about atypical ALS. Muscle rigidity manifesting as upper motor neuron damage, and MR and <sup>18</sup>F-FDG brain PET imaging can provide early differential diagnosis indicators.</p>","PeriodicalId":93972,"journal":{"name":"Degenerative neurological and neuromuscular disease","volume":"15 ","pages":"95-100"},"PeriodicalIF":3.2000,"publicationDate":"2025-09-10","publicationTypes":"Journal Article","fieldsOfStudy":null,"isOpenAccess":false,"openAccessPdf":"https://www.ncbi.nlm.nih.gov/pmc/articles/PMC12433637/pdf/","citationCount":"0","resultStr":null,"platform":"Semanticscholar","paperid":null,"PeriodicalName":"Degenerative neurological and neuromuscular disease","FirstCategoryId":"1085","ListUrlMain":"https://doi.org/10.2147/DNND.S531647","RegionNum":0,"RegionCategory":null,"ArticlePicture":[],"TitleCN":null,"AbstractTextCN":null,"PMCID":null,"EPubDate":"2025/1/1 0:00:00","PubModel":"eCollection","JCR":"Q3","JCRName":"CLINICAL NEUROLOGY","Score":null,"Total":0}
引用次数: 0

Abstract

Introduction: Amyotrophic lateral sclerosis (ALS) and multiple system atrophy (MSA) are both neurodegenerative disorders. While ALS may present with clinical features resembling Parkinsonism, there have been no definitive reports of ALS mimicking MSA, only cases of Primary lateral sclerosis (PLS) mimicking Parkinsonism.

Methods: This article reports a case of ALS presenting with Parkinsonism and anxiety as the initial symptoms. Five years after the initial diagnosis of MSA, the patient developed signs of lower motor neuron involvement, including fasciculations and muscle atrophy, ultimately leading to a revised diagnosis of ALS. This study combines literature analysis to explore the reasons for misdiagnosis and identifies key differentiating features.

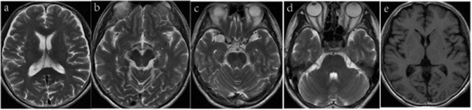
Results: Specifically, muscle rigidity in ALS is characterized by a velocity-dependent increase in muscle tone caused by damage to the upper motor neurons. This symptom tends to be more pronounced in the lower limbs than in the upper limbs and is often accompanied by spastic gait. Objective examinations may reveal early atrophy of the frontal and temporal lobes of the cerebrum on head magnetic resonance (MR) imaging, whereas 18F-FDG brain positron emission tomography (PET) may reveal reduced metabolism in the frontal and parietal lobes of the cerebrum with normal basal ganglial function, distinguishing ALS from basal ganglial metabolic decline in MSA.

Discussion: To our knowledge, this is the first case of ALS misdiagnosed as MSA. Clinically, patients with parkinsonism who do not respond to dopaminergic drugs should be cautious about atypical ALS. Muscle rigidity manifesting as upper motor neuron damage, and MR and 18F-FDG brain PET imaging can provide early differential diagnosis indicators.

Abstract Image

Abstract Image

Abstract Image

肌萎缩侧索硬化症伪装成多系统萎缩,帕金森和焦虑为初始表现。
肌萎缩性侧索硬化症(ALS)和多系统萎缩症(MSA)都是神经退行性疾病。虽然ALS可能表现出类似帕金森病的临床特征,但没有明确的ALS模仿MSA的报道,只有原发性侧索硬化症(PLS)模仿帕金森病的病例。方法:本文报告一例以帕金森病和焦虑为首发症状的ALS患者。在最初诊断为MSA的五年后,患者出现了运动神经元受累较低的迹象,包括束状肌收缩和肌肉萎缩,最终导致ALS的修订诊断。本研究结合文献分析,探讨误诊的原因,并找出关键的鉴别特征。结果:具体来说,肌萎缩侧索硬化症的肌肉僵硬的特征是由上运动神经元损伤引起的肌肉张力的速度依赖性增加。这种症状在下肢比上肢更明显,常伴有步态痉挛。客观检查可在头部磁共振(MR)成像上显示大脑额叶和颞叶的早期萎缩,而18F-FDG脑正电子发射断层扫描(PET)可显示基底神经节功能正常的大脑额叶和顶叶代谢减少,从而将ALS与MSA的基底神经节代谢下降区分出来。讨论:据我们所知,这是第一例ALS误诊为MSA的病例。临床上,对多巴胺能药物无反应的帕金森病患者应谨慎对待非典型ALS。肌肉僵硬表现为上运动神经元损伤,MR和18F-FDG脑PET成像可提供早期鉴别诊断指标。
本文章由计算机程序翻译,如有差异,请以英文原文为准。
求助全文
约1分钟内获得全文 求助全文
来源期刊
自引率
0.00%
发文量
0
×
引用
GB/T 7714-2015
复制
MLA
复制
APA
复制
导出至
BibTeX EndNote RefMan NoteFirst NoteExpress
×
提示
您的信息不完整,为了账户安全,请先补充。
现在去补充
×
提示
您因"违规操作"
具体请查看互助需知
我知道了
×
提示
确定
请完成安全验证×
copy
已复制链接
快去分享给好友吧!
我知道了
右上角分享
点击右上角分享
0
联系我们:info@booksci.cn Book学术提供免费学术资源搜索服务,方便国内外学者检索中英文文献。致力于提供最便捷和优质的服务体验。 Copyright © 2023 布克学术 All rights reserved.
京ICP备2023020795号-1
ghs 京公网安备 11010802042870号
Book学术文献互助
Book学术文献互助群
群 号:604180095
Book学术官方微信