Gas-Forming Hepatic Metastases Due to Clostridium septicum Infection: A Rare Case Documented with Sequential CT Imaging.

IF 1.3 4区 医学 Q4 RADIOLOGY, NUCLEAR MEDICINE & MEDICAL IMAGING
Journal of the Belgian Society of Radiology Pub Date : 2025-09-11 eCollection Date: 2025-01-01 DOI:10.5334/jbsr.4079
Mattia's Loverde, Dan Truc Nguyen, Nasroola Damry
{"title":"Gas-Forming Hepatic Metastases Due to <i>Clostridium septicum</i> Infection: A Rare Case Documented with Sequential CT Imaging.","authors":"Mattia's Loverde, Dan Truc Nguyen, Nasroola Damry","doi":"10.5334/jbsr.4079","DOIUrl":null,"url":null,"abstract":"<p><p>A rare case of hepatic gas-forming metastases secondary to <i>Clostridium septicum</i> infection is described. A 78-year-old woman was admitted with right lower quadrant abdominal pain and deterioration. Initial imaging revealed a right-sided colonic malignancy with hepatic metastases. Follow-up scans showed gas within metastases and minimal pneumoperitoneum, suggesting bowel perforation. However, blood cultures isolated <i>C. septicum</i>, supporting infected necrotic metastases as the source of free gas. <i>Teaching point:</i> This case emphasizes the importance of distinguishing infectious intratumoral gas from perforation in oncological patients and provides one of the few reports with sequential imaging of this process.</p>","PeriodicalId":55987,"journal":{"name":"Journal of the Belgian Society of Radiology","volume":"109 1","pages":"38"},"PeriodicalIF":1.3000,"publicationDate":"2025-09-11","publicationTypes":"Journal Article","fieldsOfStudy":null,"isOpenAccess":false,"openAccessPdf":"https://www.ncbi.nlm.nih.gov/pmc/articles/PMC12428319/pdf/","citationCount":"0","resultStr":null,"platform":"Semanticscholar","paperid":null,"PeriodicalName":"Journal of the Belgian Society of Radiology","FirstCategoryId":"3","ListUrlMain":"https://doi.org/10.5334/jbsr.4079","RegionNum":4,"RegionCategory":"医学","ArticlePicture":[],"TitleCN":null,"AbstractTextCN":null,"PMCID":null,"EPubDate":"2025/1/1 0:00:00","PubModel":"eCollection","JCR":"Q4","JCRName":"RADIOLOGY, NUCLEAR MEDICINE & MEDICAL IMAGING","Score":null,"Total":0}
引用次数: 0

Abstract

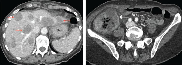
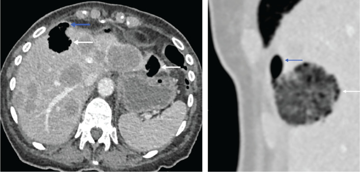
A rare case of hepatic gas-forming metastases secondary to Clostridium septicum infection is described. A 78-year-old woman was admitted with right lower quadrant abdominal pain and deterioration. Initial imaging revealed a right-sided colonic malignancy with hepatic metastases. Follow-up scans showed gas within metastases and minimal pneumoperitoneum, suggesting bowel perforation. However, blood cultures isolated C. septicum, supporting infected necrotic metastases as the source of free gas. Teaching point: This case emphasizes the importance of distinguishing infectious intratumoral gas from perforation in oncological patients and provides one of the few reports with sequential imaging of this process.

Abstract Image

Abstract Image

脓毒梭菌感染引起的气性肝转移:一个罕见的序列CT记录病例。
一个罕见的病例肝脏气体形成转移继发败血症梭菌感染被描述。一名78岁女性因右下腹疼痛及病情恶化入院。初步影像显示右侧结肠恶性肿瘤伴肝转移。后续扫描显示转移灶内有气体,气腹较小,提示肠穿孔。然而,血液培养分离出败血性芽孢杆菌,支持受感染的坏死转移作为游离气体的来源。教学要点:本病例强调了在肿瘤患者中区分感染性肿瘤内气体和穿孔的重要性,并提供了这一过程的少数连续成像报告之一。
本文章由计算机程序翻译,如有差异,请以英文原文为准。
求助全文
约1分钟内获得全文 求助全文
来源期刊
Journal of the Belgian Society of Radiology
Journal of the Belgian Society of Radiology Medicine-Radiology, Nuclear Medicine and Imaging
CiteScore
0.70
自引率
5.00%
发文量
96
期刊介绍: The purpose of the Journal of the Belgian Society of Radiology is the publication of articles dealing with diagnostic and interventional radiology, related imaging techniques, allied sciences, and continuing education.
×
引用
GB/T 7714-2015
复制
MLA
复制
APA
复制
导出至
BibTeX EndNote RefMan NoteFirst NoteExpress
×
提示
您的信息不完整,为了账户安全,请先补充。
现在去补充
×
提示
您因"违规操作"
具体请查看互助需知
我知道了
×
提示
确定
请完成安全验证×
copy
已复制链接
快去分享给好友吧!
我知道了
右上角分享
点击右上角分享
0
联系我们:info@booksci.cn Book学术提供免费学术资源搜索服务,方便国内外学者检索中英文文献。致力于提供最便捷和优质的服务体验。 Copyright © 2023 布克学术 All rights reserved.
京ICP备2023020795号-1
ghs 京公网安备 11010802042870号
Book学术文献互助
Book学术文献互助群
群 号:604180095
Book学术官方微信