Clinical characterization of primary intestinal lymphangiectasia in infants and young children: a single-center retrospective analysis in China.

IF 1.7 4区 医学 Q2 PEDIATRICS
Translational pediatrics Pub Date : 2025-08-31 Epub Date: 2025-08-26 DOI:10.21037/tp-2025-187
Dongdan Li, Tianzhuo Zhang, Xiaolin Ye, Feihong Yu, Dexiu Guan, Hongmei Huang, Jie Wu
{"title":"Clinical characterization of primary intestinal lymphangiectasia in infants and young children: a single-center retrospective analysis in China.","authors":"Dongdan Li, Tianzhuo Zhang, Xiaolin Ye, Feihong Yu, Dexiu Guan, Hongmei Huang, Jie Wu","doi":"10.21037/tp-2025-187","DOIUrl":null,"url":null,"abstract":"<p><strong>Background: </strong>Little is known about primary intestinal lymphangiectasia (PIL) in Chinese children. Insufficient awareness can lead to delayed diagnosis and treatment, which may adversely affect the prognosis of affected children. This study aimed to investigate the clinical features and treatment outcomes for PIL in infants and young children in China, providing a basis for clinical diagnosis and treatment.</p><p><strong>Methods: </strong>This is a single-center retrospective study. The clinical information of children was gathered and a retrospective analysis was conducted on the clinical manifestations, potential complications, nutritional conditions, laboratory findings, imaging tests, endoscopic and pathological assessments, treatment outcomes, and other relevant parameters of infants and young children diagnosed with PIL.</p><p><strong>Results: </strong>A total of 42 cases of infants and young children with PIL were analyzed, and it was found that PIL was most frequently diagnosed in infants under 1 year of age (95.2%). All of the children presented with diarrhoea. Other manifestations were limb edema in 37 cases (88.1%) and lymphatic effusions in 20 cases (47.6%). Tetany and generalized convulsions were reported in 35.7% of children, with a high prevalence. Concurrent infections were identified in 73.8% of cases, primarily respiratory infections and sepsis. Ten children (23.8%) were malnourished at their initial visit, presenting with stunting, wasting and underweight status. Anemia (54.8%) and electrolyte imbalances (100%) were prevalent, particularly hypomagnesemia (88.1%). Imaging studies revealed intestinal protein loss, predominantly in the jejunum and above. The predominant endoscopic appearance was of scattered white snowflakes or granules in the duodenum. Some patients with normal endoscopic duodenal findings showed typical lymphatic dilatation on histopathology. Treatment involved diet and nutrition adjustment, albumin infusion, electrolyte correction and anti-infective therapy, resulting in improvement in 39 cases and ineffectiveness in 3 cases upon evaluation.</p><p><strong>Conclusions: </strong>In our cohort of infants and young children, PIL was mainly diagnosed in infants under 1 year of age (95.2%). The main symptoms were diarrhea (100%) and edema (88.1%). There was a notable prevalence of limb convulsions (35.7%), anemia (54.8%) and hypomagnesemia (88.1%). The majority of infants and toddlers (92.9%) diagnosed with PIL showed positive outcomes with dietary and pharmacological intervention.</p>","PeriodicalId":23294,"journal":{"name":"Translational pediatrics","volume":"14 8","pages":"1896-1907"},"PeriodicalIF":1.7000,"publicationDate":"2025-08-31","publicationTypes":"Journal Article","fieldsOfStudy":null,"isOpenAccess":false,"openAccessPdf":"https://www.ncbi.nlm.nih.gov/pmc/articles/PMC12433142/pdf/","citationCount":"0","resultStr":null,"platform":"Semanticscholar","paperid":null,"PeriodicalName":"Translational pediatrics","FirstCategoryId":"3","ListUrlMain":"https://doi.org/10.21037/tp-2025-187","RegionNum":4,"RegionCategory":"医学","ArticlePicture":[],"TitleCN":null,"AbstractTextCN":null,"PMCID":null,"EPubDate":"2025/8/26 0:00:00","PubModel":"Epub","JCR":"Q2","JCRName":"PEDIATRICS","Score":null,"Total":0}
引用次数: 0

Abstract

Background: Little is known about primary intestinal lymphangiectasia (PIL) in Chinese children. Insufficient awareness can lead to delayed diagnosis and treatment, which may adversely affect the prognosis of affected children. This study aimed to investigate the clinical features and treatment outcomes for PIL in infants and young children in China, providing a basis for clinical diagnosis and treatment.

Methods: This is a single-center retrospective study. The clinical information of children was gathered and a retrospective analysis was conducted on the clinical manifestations, potential complications, nutritional conditions, laboratory findings, imaging tests, endoscopic and pathological assessments, treatment outcomes, and other relevant parameters of infants and young children diagnosed with PIL.

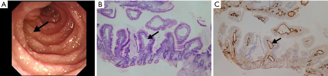
Results: A total of 42 cases of infants and young children with PIL were analyzed, and it was found that PIL was most frequently diagnosed in infants under 1 year of age (95.2%). All of the children presented with diarrhoea. Other manifestations were limb edema in 37 cases (88.1%) and lymphatic effusions in 20 cases (47.6%). Tetany and generalized convulsions were reported in 35.7% of children, with a high prevalence. Concurrent infections were identified in 73.8% of cases, primarily respiratory infections and sepsis. Ten children (23.8%) were malnourished at their initial visit, presenting with stunting, wasting and underweight status. Anemia (54.8%) and electrolyte imbalances (100%) were prevalent, particularly hypomagnesemia (88.1%). Imaging studies revealed intestinal protein loss, predominantly in the jejunum and above. The predominant endoscopic appearance was of scattered white snowflakes or granules in the duodenum. Some patients with normal endoscopic duodenal findings showed typical lymphatic dilatation on histopathology. Treatment involved diet and nutrition adjustment, albumin infusion, electrolyte correction and anti-infective therapy, resulting in improvement in 39 cases and ineffectiveness in 3 cases upon evaluation.

Conclusions: In our cohort of infants and young children, PIL was mainly diagnosed in infants under 1 year of age (95.2%). The main symptoms were diarrhea (100%) and edema (88.1%). There was a notable prevalence of limb convulsions (35.7%), anemia (54.8%) and hypomagnesemia (88.1%). The majority of infants and toddlers (92.9%) diagnosed with PIL showed positive outcomes with dietary and pharmacological intervention.

Abstract Image

婴幼儿原发性肠淋巴管扩张症的临床特征:中国单中心回顾性分析
背景:我国儿童原发性肠淋巴管扩张症(PIL)的发病情况尚不清楚。认识不足可能导致诊断和治疗延误,这可能对受影响儿童的预后产生不利影响。本研究旨在探讨中国婴幼儿PIL的临床特点及治疗效果,为临床诊断和治疗提供依据。方法:这是一项单中心回顾性研究。收集患儿临床资料,回顾性分析诊断为PIL的婴幼儿的临床表现、潜在并发症、营养状况、实验室检查、影像学检查、内镜及病理评估、治疗结果等相关参数。结果:对42例婴幼儿PIL进行了分析,发现1岁以下婴幼儿PIL诊断最多(95.2%)。所有的孩子都出现腹泻。其他表现为肢体水肿37例(88.1%),淋巴积液20例(47.6%)。35.7%的儿童出现手足搐搦和全身性惊厥,患病率较高。73.8%的病例并发感染,主要是呼吸道感染和败血症。10名儿童(23.8%)在初次就诊时营养不良,表现为发育迟缓、消瘦和体重不足。贫血(54.8%)和电解质失衡(100%)普遍存在,特别是低镁血症(88.1%)。影像学检查显示肠蛋白丢失,主要发生在空肠及以上。内镜下主要表现为十二指肠内散在的白色雪花或颗粒。部分十二指肠内镜检查正常的患者在组织病理学上表现为典型的淋巴扩张。治疗包括饮食营养调整、白蛋白输注、电解质矫正及抗感染治疗,经评估改善39例,无效3例。结论:在我们的婴幼儿队列中,PIL主要诊断于1岁以下的婴儿(95.2%)。主要症状为腹泻(100%)和水肿(88.1%)。肢体抽搐(35.7%)、贫血(54.8%)和低镁血症(88.1%)的发生率显著。绝大多数(92.9%)婴幼儿在饮食和药物干预下均表现出积极的结果。
本文章由计算机程序翻译,如有差异,请以英文原文为准。
求助全文
约1分钟内获得全文 求助全文
来源期刊
Translational pediatrics
Translational pediatrics Medicine-Pediatrics, Perinatology and Child Health
CiteScore
4.50
自引率
5.00%
发文量
108
期刊介绍: Information not localized
×
引用
GB/T 7714-2015
复制
MLA
复制
APA
复制
导出至
BibTeX EndNote RefMan NoteFirst NoteExpress
×
提示
您的信息不完整,为了账户安全,请先补充。
现在去补充
×
提示
您因"违规操作"
具体请查看互助需知
我知道了
×
提示
确定
请完成安全验证×
copy
已复制链接
快去分享给好友吧!
我知道了
右上角分享
点击右上角分享
0
联系我们:info@booksci.cn Book学术提供免费学术资源搜索服务,方便国内外学者检索中英文文献。致力于提供最便捷和优质的服务体验。 Copyright © 2023 布克学术 All rights reserved.
京ICP备2023020795号-1
ghs 京公网安备 11010802042870号
Book学术文献互助
Book学术文献互助群
群 号:604180095
Book学术官方微信