The effect of Angio-CT on the efficacy of hemoptysis patients with non-bronchial systemic arteries-a retrospective study.

IF 2.1 3区 医学 Q3 CARDIAC & CARDIOVASCULAR SYSTEMS
Cardiovascular diagnosis and therapy Pub Date : 2025-08-30 Epub Date: 2025-08-12 DOI:10.21037/cdt-2024-694
Yanqiao Ren, Chao Chen, Songlin Song, Yiming Liu, Jiacheng Liu, Guofeng Zhou, Bin Liang, Chuansheng Zheng
{"title":"The effect of Angio-CT on the efficacy of hemoptysis patients with non-bronchial systemic arteries-a retrospective study.","authors":"Yanqiao Ren, Chao Chen, Songlin Song, Yiming Liu, Jiacheng Liu, Guofeng Zhou, Bin Liang, Chuansheng Zheng","doi":"10.21037/cdt-2024-694","DOIUrl":null,"url":null,"abstract":"<p><strong>Background: </strong>Hemoptysis is a prevalent symptom among patients with respiratory diseases, and those experiencing hemoptysis from non-bronchial artery sources are particularly susceptible to recurrence following treatment. This study aimed to evaluate the therapeutic effect of angiogram computed tomography (Angio-CT) on bronchial artery embolization (BAE) in patients with non-bronchial systemic arteries (NBSA).</p><p><strong>Methods: </strong>This retrospective study included a total of 100 patients experiencing hemoptysis due to various etiologies between January 2020 and June 2024 in Huazhong University of Science and Technology Tongji Medical College Affiliated Union Hospital. The patients were divided into two groups: BAE treatment combined with Angio-CT group (n=60); Conventional BAE treatment group (n=40). A total of 26 and 14 patients in each group experienced hemoptysis attributed to NBSA. Clinical data were recorded, including age, gender, volume of hemoptysis, etc. Hemoptysis-free survival and overall survival were illustrated using Kaplan-Meier curves. The log-rank test was used to assess the differences in hemoptysis-free survival and overall survival between the two groups.</p><p><strong>Results: </strong>Technical success was achieved in all patients. There were no statistical differences in clinical success rate (90.0% <i>vs.</i> 91.7%, P=0.78). The difference in recurrence rates between the two patient groups is statistically significant (11.7% <i>vs.</i> 27.5%, P=0.04). And among patients with NBSA, the Angio-CT group exhibited a higher recurrence rate without hemoptysis compared to the traditional BAE group (P=0.04). In contrast, there was no significant difference in recurrence rates between the two groups of patients without NBSA (P=0.68).</p><p><strong>Conclusions: </strong>The application of Angio-CT in guiding the treatment of NBSA-related hemoptysis offers superior clinical outcomes compared to conventional approaches. These findings could provide valuable evidence for refining therapeutic strategies, ultimately improving patient management in hemoptysis cases.</p>","PeriodicalId":9592,"journal":{"name":"Cardiovascular diagnosis and therapy","volume":"15 4","pages":"792-801"},"PeriodicalIF":2.1000,"publicationDate":"2025-08-30","publicationTypes":"Journal Article","fieldsOfStudy":null,"isOpenAccess":false,"openAccessPdf":"https://www.ncbi.nlm.nih.gov/pmc/articles/PMC12432659/pdf/","citationCount":"0","resultStr":null,"platform":"Semanticscholar","paperid":null,"PeriodicalName":"Cardiovascular diagnosis and therapy","FirstCategoryId":"3","ListUrlMain":"https://doi.org/10.21037/cdt-2024-694","RegionNum":3,"RegionCategory":"医学","ArticlePicture":[],"TitleCN":null,"AbstractTextCN":null,"PMCID":null,"EPubDate":"2025/8/12 0:00:00","PubModel":"Epub","JCR":"Q3","JCRName":"CARDIAC & CARDIOVASCULAR SYSTEMS","Score":null,"Total":0}
引用次数: 0

Abstract

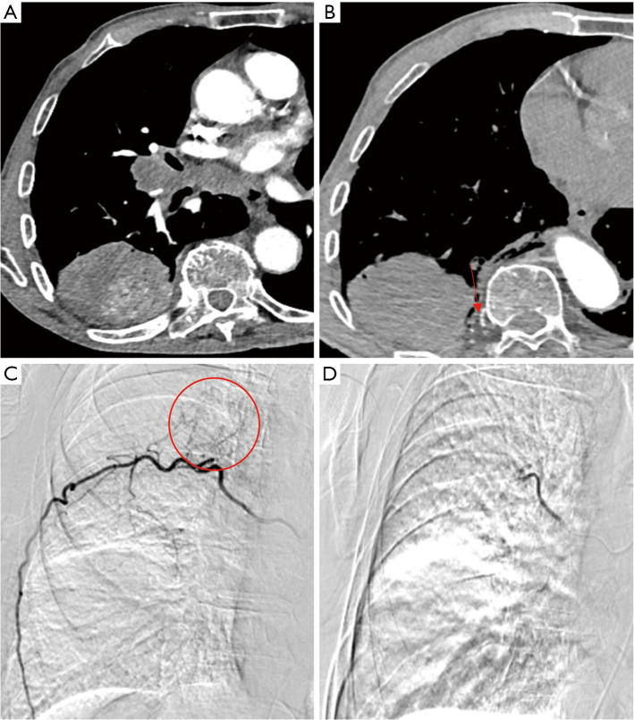
Background: Hemoptysis is a prevalent symptom among patients with respiratory diseases, and those experiencing hemoptysis from non-bronchial artery sources are particularly susceptible to recurrence following treatment. This study aimed to evaluate the therapeutic effect of angiogram computed tomography (Angio-CT) on bronchial artery embolization (BAE) in patients with non-bronchial systemic arteries (NBSA).

Methods: This retrospective study included a total of 100 patients experiencing hemoptysis due to various etiologies between January 2020 and June 2024 in Huazhong University of Science and Technology Tongji Medical College Affiliated Union Hospital. The patients were divided into two groups: BAE treatment combined with Angio-CT group (n=60); Conventional BAE treatment group (n=40). A total of 26 and 14 patients in each group experienced hemoptysis attributed to NBSA. Clinical data were recorded, including age, gender, volume of hemoptysis, etc. Hemoptysis-free survival and overall survival were illustrated using Kaplan-Meier curves. The log-rank test was used to assess the differences in hemoptysis-free survival and overall survival between the two groups.

Results: Technical success was achieved in all patients. There were no statistical differences in clinical success rate (90.0% vs. 91.7%, P=0.78). The difference in recurrence rates between the two patient groups is statistically significant (11.7% vs. 27.5%, P=0.04). And among patients with NBSA, the Angio-CT group exhibited a higher recurrence rate without hemoptysis compared to the traditional BAE group (P=0.04). In contrast, there was no significant difference in recurrence rates between the two groups of patients without NBSA (P=0.68).

Conclusions: The application of Angio-CT in guiding the treatment of NBSA-related hemoptysis offers superior clinical outcomes compared to conventional approaches. These findings could provide valuable evidence for refining therapeutic strategies, ultimately improving patient management in hemoptysis cases.

Abstract Image

Abstract Image

Abstract Image

血管ct对非支气管全身动脉咯血疗效影响的回顾性研究。
背景:咯血是呼吸系统疾病患者的常见症状,非支气管动脉来源的咯血患者在治疗后特别容易复发。本研究旨在评价血管造影计算机断层扫描(Angio-CT)对非支气管全身动脉(NBSA)患者支气管动脉栓塞(BAE)的治疗效果。方法:回顾性研究华中科技大学同济医学院附属协和医院2020年1月至2024年6月各类咯血患者100例。患者分为两组:BAE联合血管ct组(n=60);常规BAE治疗组(n=40)。两组分别有26例和14例因NBSA引起的咯血。记录临床资料,包括年龄、性别、咯血量等。无咯血生存期和总生存期用Kaplan-Meier曲线表示。采用log-rank检验评估两组无咯血生存期和总生存期的差异。结果:所有患者均获得技术成功。两组临床成功率比较,差异无统计学意义(90.0% vs 91.7%, P=0.78)。两组患者复发率差异有统计学意义(11.7% vs. 27.5%, P=0.04)。在NBSA患者中,血管ct组无咯血复发率高于传统BAE组(P=0.04)。两组无NBSA的患者复发率差异无统计学意义(P=0.68)。结论:应用血管ct指导nbsa相关性咯血的临床效果优于常规方法。这些发现可以为改进治疗策略提供有价值的证据,最终改善咯血病例的患者管理。
本文章由计算机程序翻译,如有差异,请以英文原文为准。
求助全文
约1分钟内获得全文 求助全文
来源期刊
Cardiovascular diagnosis and therapy
Cardiovascular diagnosis and therapy Medicine-Cardiology and Cardiovascular Medicine
CiteScore
4.90
自引率
4.20%
发文量
45
期刊介绍: The journal ''Cardiovascular Diagnosis and Therapy'' (Print ISSN: 2223-3652; Online ISSN: 2223-3660) accepts basic and clinical science submissions related to Cardiovascular Medicine and Surgery. The mission of the journal is the rapid exchange of scientific information between clinicians and scientists worldwide. To reach this goal, the journal will focus on novel media, using a web-based, digital format in addition to traditional print-version. This includes on-line submission, review, publication, and distribution. The digital format will also allow submission of extensive supporting visual material, both images and video. The website www.thecdt.org will serve as the central hub and also allow posting of comments and on-line discussion. The web-site of the journal will be linked to a number of international web-sites (e.g. www.dxy.cn), which will significantly expand the distribution of its contents.
×
引用
GB/T 7714-2015
复制
MLA
复制
APA
复制
导出至
BibTeX EndNote RefMan NoteFirst NoteExpress
×
提示
您的信息不完整,为了账户安全,请先补充。
现在去补充
×
提示
您因"违规操作"
具体请查看互助需知
我知道了
×
提示
确定
请完成安全验证×
copy
已复制链接
快去分享给好友吧!
我知道了
右上角分享
点击右上角分享
0
联系我们:info@booksci.cn Book学术提供免费学术资源搜索服务,方便国内外学者检索中英文文献。致力于提供最便捷和优质的服务体验。 Copyright © 2023 布克学术 All rights reserved.
京ICP备2023020795号-1
ghs 京公网安备 11010802042870号
Book学术文献互助
Book学术文献互助群
群 号:604180095
Book学术官方微信