Candida pericarditis and tamponade from a malignant pericardio-oesophageal fistula.

IF 1.3 Q4 INFECTIOUS DISEASES
Southern African Journal of Infectious Diseases Pub Date : 2025-08-31 eCollection Date: 2025-01-01 DOI:10.4102/sajid.v40i1.741
Nicola K Wills, Priyadarshini Arnab, Ferdinand Oompie, Nectarios S Papavarnavas
{"title":"Candida pericarditis and tamponade from a malignant pericardio-oesophageal fistula.","authors":"Nicola K Wills, Priyadarshini Arnab, Ferdinand Oompie, Nectarios S Papavarnavas","doi":"10.4102/sajid.v40i1.741","DOIUrl":null,"url":null,"abstract":"<p><p>We describe the case of a middle-aged man and long-term smoker, presenting in cardiac tamponade with paroxysmal atrial flutter, with translocation of <i>Candida glabrata</i> into the pericardial space as a result of an erosive malignant oesophago-pericardial fistula.</p><p><strong>Contribution: </strong>The isolation of <i>Candida</i> species from the pericardial space is a rare manifestation of invasive candida infection, carrying a high mortality rate, and requires interrogation for possible underlying immune aberrations or mechanical portals of entry.</p>","PeriodicalId":44007,"journal":{"name":"Southern African Journal of Infectious Diseases","volume":"40 1","pages":"741"},"PeriodicalIF":1.3000,"publicationDate":"2025-08-31","publicationTypes":"Journal Article","fieldsOfStudy":null,"isOpenAccess":false,"openAccessPdf":"https://www.ncbi.nlm.nih.gov/pmc/articles/PMC12421550/pdf/","citationCount":"0","resultStr":null,"platform":"Semanticscholar","paperid":null,"PeriodicalName":"Southern African Journal of Infectious Diseases","FirstCategoryId":"1085","ListUrlMain":"https://doi.org/10.4102/sajid.v40i1.741","RegionNum":0,"RegionCategory":null,"ArticlePicture":[],"TitleCN":null,"AbstractTextCN":null,"PMCID":null,"EPubDate":"2025/1/1 0:00:00","PubModel":"eCollection","JCR":"Q4","JCRName":"INFECTIOUS DISEASES","Score":null,"Total":0}
引用次数: 0

Abstract

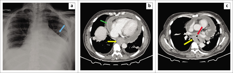
We describe the case of a middle-aged man and long-term smoker, presenting in cardiac tamponade with paroxysmal atrial flutter, with translocation of Candida glabrata into the pericardial space as a result of an erosive malignant oesophago-pericardial fistula.

Contribution: The isolation of Candida species from the pericardial space is a rare manifestation of invasive candida infection, carrying a high mortality rate, and requires interrogation for possible underlying immune aberrations or mechanical portals of entry.

Abstract Image

Abstract Image

念珠菌性心包炎和恶性心包食管瘘引起的心包填塞。
我们描述了一个中年男子和长期吸烟者的情况下,在心脏填塞阵发性心房扑动,与易位的光假丝酵母到心包空间的侵蚀性恶性食管-心包瘘的结果。贡献:从心包间隙分离念珠菌是侵袭性念珠菌感染的一种罕见表现,具有高死亡率,需要调查潜在的免疫异常或机械入口。
本文章由计算机程序翻译,如有差异,请以英文原文为准。
求助全文
约1分钟内获得全文 求助全文
来源期刊
自引率
11.10%
发文量
50
审稿时长
52 weeks
×
引用
GB/T 7714-2015
复制
MLA
复制
APA
复制
导出至
BibTeX EndNote RefMan NoteFirst NoteExpress
×
提示
您的信息不完整,为了账户安全,请先补充。
现在去补充
×
提示
您因"违规操作"
具体请查看互助需知
我知道了
×
提示
确定
请完成安全验证×
copy
已复制链接
快去分享给好友吧!
我知道了
右上角分享
点击右上角分享
0
联系我们:info@booksci.cn Book学术提供免费学术资源搜索服务,方便国内外学者检索中英文文献。致力于提供最便捷和优质的服务体验。 Copyright © 2023 布克学术 All rights reserved.
京ICP备2023020795号-1
ghs 京公网安备 11010802042870号
Book学术文献互助
Book学术文献互助群
群 号:604180095
Book学术官方微信