Magnetic resonance fistulography with percutaneous jelly: A novel and cost-effective technique.

IF 0.9 Q4 RADIOLOGY, NUCLEAR MEDICINE & MEDICAL IMAGING
SA Journal of Radiology Pub Date : 2025-08-15 eCollection Date: 2025-01-01 DOI:10.4102/sajr.v29i1.3166
Umamaheshwari K Basavaraju, Shivani S Ravate Patil, N Manupratap, B Tejesh, Shubha Tavarakere Shamasundara, Larryth Reuben
{"title":"Magnetic resonance fistulography with percutaneous jelly: A novel and cost-effective technique.","authors":"Umamaheshwari K Basavaraju, Shivani S Ravate Patil, N Manupratap, B Tejesh, Shubha Tavarakere Shamasundara, Larryth Reuben","doi":"10.4102/sajr.v29i1.3166","DOIUrl":null,"url":null,"abstract":"<p><strong>Background: </strong>Magnetic resonance fistulography (MRF) is a key non-invasive imaging technique for mapping perianal fistulas before surgery. The instillation of aqueous jelly, like ultrasound gel, enhances the signal-to-noise ratio, improving image quality and MRF accuracy. This low-cost approach improves accessibility, especially in resource-limited settings, while ensuring patient comfort and safety.</p><p><strong>Objectives: </strong>To determine the impact of aqueous jelly on the accuracy of MRF in identifying fistulous tracts, internal openings, secondary ramifications and abscesses and the quality of visualisation of MRF with and without jelly instillation.</p><p><strong>Method: </strong>A cross-sectional study at Krishna Rajendra and Cheluvamba Hospitals, Mysore (October 2024-March 2025), included 40 patients with perianal fistulas. Magnetic resonance fistulography was performed using a 1.5 Tesla uMR 570 system, without and with 5 mL - 7 mL of sterile aqueous jelly instilled percutaneously. MRI findings were compared with intraoperative results. Data were analysed using Statistical Package for the Social Sciences (SPSS) to assess sensitivity, specificity and accuracy.</p><p><strong>Results: </strong>Magnetic resonance fistulography with gel improved visualisation, identifying internal openings in 92.5% of cases (vs. 24% without gel) and secondary tracts in 40% (vs. 17.5%). The accuracy compared to surgery was 97.5% for internal openings, 95% for secondary tracts, 97.5% for abscesses and 100% for supralevator extension.</p><p><strong>Conclusion: </strong>Aqueous jelly instillation enhances MRF accuracy, improving fistula visualisation and aiding in preoperative planning. This technique reduces recurrence and incontinence risk and supports more accurate surgical interventions.</p><p><strong>Contribution: </strong>This study re-emphasises the value of aqueous jelly in improving diagnostic accuracy and accessibility, especially in resource-limited settings.</p>","PeriodicalId":43442,"journal":{"name":"SA Journal of Radiology","volume":"29 1","pages":"3166"},"PeriodicalIF":0.9000,"publicationDate":"2025-08-15","publicationTypes":"Journal Article","fieldsOfStudy":null,"isOpenAccess":false,"openAccessPdf":"https://www.ncbi.nlm.nih.gov/pmc/articles/PMC12421450/pdf/","citationCount":"0","resultStr":null,"platform":"Semanticscholar","paperid":null,"PeriodicalName":"SA Journal of Radiology","FirstCategoryId":"1085","ListUrlMain":"https://doi.org/10.4102/sajr.v29i1.3166","RegionNum":0,"RegionCategory":null,"ArticlePicture":[],"TitleCN":null,"AbstractTextCN":null,"PMCID":null,"EPubDate":"2025/1/1 0:00:00","PubModel":"eCollection","JCR":"Q4","JCRName":"RADIOLOGY, NUCLEAR MEDICINE & MEDICAL IMAGING","Score":null,"Total":0}
引用次数: 0

Abstract

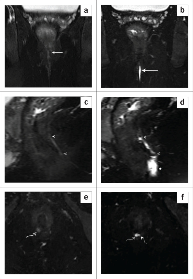
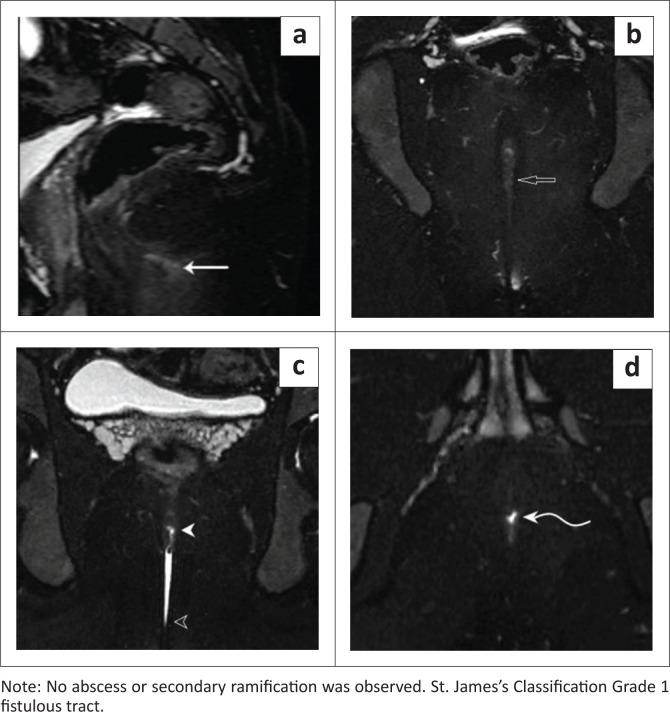
Background: Magnetic resonance fistulography (MRF) is a key non-invasive imaging technique for mapping perianal fistulas before surgery. The instillation of aqueous jelly, like ultrasound gel, enhances the signal-to-noise ratio, improving image quality and MRF accuracy. This low-cost approach improves accessibility, especially in resource-limited settings, while ensuring patient comfort and safety.

Objectives: To determine the impact of aqueous jelly on the accuracy of MRF in identifying fistulous tracts, internal openings, secondary ramifications and abscesses and the quality of visualisation of MRF with and without jelly instillation.

Method: A cross-sectional study at Krishna Rajendra and Cheluvamba Hospitals, Mysore (October 2024-March 2025), included 40 patients with perianal fistulas. Magnetic resonance fistulography was performed using a 1.5 Tesla uMR 570 system, without and with 5 mL - 7 mL of sterile aqueous jelly instilled percutaneously. MRI findings were compared with intraoperative results. Data were analysed using Statistical Package for the Social Sciences (SPSS) to assess sensitivity, specificity and accuracy.

Results: Magnetic resonance fistulography with gel improved visualisation, identifying internal openings in 92.5% of cases (vs. 24% without gel) and secondary tracts in 40% (vs. 17.5%). The accuracy compared to surgery was 97.5% for internal openings, 95% for secondary tracts, 97.5% for abscesses and 100% for supralevator extension.

Conclusion: Aqueous jelly instillation enhances MRF accuracy, improving fistula visualisation and aiding in preoperative planning. This technique reduces recurrence and incontinence risk and supports more accurate surgical interventions.

Contribution: This study re-emphasises the value of aqueous jelly in improving diagnostic accuracy and accessibility, especially in resource-limited settings.

Abstract Image

Abstract Image

Abstract Image

经皮胶状体磁共振瘘管造影:一种新颖而经济的技术。
背景:磁共振瘘管造影(MRF)是一种关键的非侵入性成像技术,用于肛瘘术前定位。水凝胶的注入,就像超声凝胶一样,提高了信噪比,提高了图像质量和MRF精度。这种低成本的方法提高了可及性,特别是在资源有限的环境中,同时确保了患者的舒适和安全。目的:确定水凝胶对MRF识别瘘道、内部开口、继发分支和脓肿准确性的影响,以及注射和不注射凝胶对MRF成像质量的影响。方法:在迈索尔Krishna Rajendra和Cheluvamba医院(2024年10月- 2025年3月)进行横断面研究,包括40例肛周瘘患者。使用1.5特斯拉uMR 570系统进行磁共振瘘管造影,无和经皮灌注5 mL - 7 mL无菌果冻水。将MRI结果与术中结果进行比较。使用社会科学统计软件包(SPSS)对数据进行分析,以评估敏感性、特异性和准确性。结果:使用凝胶的磁共振瘘管造影改善了视觉效果,92.5%的病例(未使用凝胶的病例为24%)识别出了内部开口,40%的病例(未使用凝胶的病例为17.5%)识别出了次级瘘管。与手术相比,内开孔的准确率为97.5%,次级束的准确率为95%,脓肿的准确率为97.5%,上提肌伸展的准确率为100%。结论:水凝胶灌注提高了磁共振成像的准确性,改善了瘘道的显像,有助于术前规划。这项技术减少了复发和尿失禁的风险,并支持更准确的手术干预。贡献:本研究再次强调了水凝胶在提高诊断准确性和可及性方面的价值,特别是在资源有限的情况下。
本文章由计算机程序翻译,如有差异,请以英文原文为准。
求助全文
约1分钟内获得全文 求助全文
来源期刊
SA Journal of Radiology
SA Journal of Radiology RADIOLOGY, NUCLEAR MEDICINE & MEDICAL IMAGING-
CiteScore
1.20
自引率
11.10%
发文量
35
审稿时长
16 weeks
期刊介绍: The SA Journal of Radiology is the official journal of the Radiological Society of South Africa and the Professional Association of Radiologists in South Africa and Namibia. The SA Journal of Radiology is a general diagnostic radiological journal which carries original research and review articles, pictorial essays, case reports, letters, editorials, radiological practice and other radiological articles.
×
引用
GB/T 7714-2015
复制
MLA
复制
APA
复制
导出至
BibTeX EndNote RefMan NoteFirst NoteExpress
×
提示
您的信息不完整,为了账户安全,请先补充。
现在去补充
×
提示
您因"违规操作"
具体请查看互助需知
我知道了
×
提示
确定
请完成安全验证×
copy
已复制链接
快去分享给好友吧!
我知道了
右上角分享
点击右上角分享
0
联系我们:info@booksci.cn Book学术提供免费学术资源搜索服务,方便国内外学者检索中英文文献。致力于提供最便捷和优质的服务体验。 Copyright © 2023 布克学术 All rights reserved.
京ICP备2023020795号-1
ghs 京公网安备 11010802042870号
Book学术文献互助
Book学术文献互助群
群 号:604180095
Book学术官方微信