Non-union Hoffa's Fracture in an Adult Male Managed with Total Knee Arthroplasty: A Rare Case Report.

S S Khatri, Namrata Shekhawat
{"title":"Non-union Hoffa's Fracture in an Adult Male Managed with Total Knee Arthroplasty: A Rare Case Report.","authors":"S S Khatri, Namrata Shekhawat","doi":"10.13107/jocr.2025.v15.i09.6012","DOIUrl":null,"url":null,"abstract":"<p><strong>Introduction: </strong>Coronal plane fractures of the femoral condyle, known as Hoffa's fractures, are uncommon intra-articular injuries. Non-union of such fractures is rarely reported, particularly in younger patients, and presents a complex clinical scenario.</p><p><strong>Case report: </strong>A case of a 38-year-old male who reported chronic right knee pain, swelling, and difficulty in ambulation due to a non-union Hoffa's fracture. Radiological findings indicated joint surface degeneration and instability. Given the chronicity and extent of articular damage, the patient underwent total knee arthroplasty (TKA) along with open reduction and internal fixation (ORIF) of the medial femoral condyle under spinal anesthesia. A posterior-stabilized knee system (Smith and Nephew, femur-5, tibia-5, polyethylene insert 13 mm) was implanted using Palacos bone cement. The patient recovered well and regained mobility with significant pain relief.</p><p><strong>Conclusion: </strong>In rare cases of non-union Hoffa's fractures with joint degeneration, combined TKA and ORIF can provide functional improvement and pain relief, even in younger adults, when performed with appropriate surgical planning.</p>","PeriodicalId":16647,"journal":{"name":"Journal of Orthopaedic Case Reports","volume":"15 9","pages":"52-55"},"PeriodicalIF":0.0000,"publicationDate":"2025-09-01","publicationTypes":"Journal Article","fieldsOfStudy":null,"isOpenAccess":false,"openAccessPdf":"https://www.ncbi.nlm.nih.gov/pmc/articles/PMC12422685/pdf/","citationCount":"0","resultStr":null,"platform":"Semanticscholar","paperid":null,"PeriodicalName":"Journal of Orthopaedic Case Reports","FirstCategoryId":"1085","ListUrlMain":"https://doi.org/10.13107/jocr.2025.v15.i09.6012","RegionNum":0,"RegionCategory":null,"ArticlePicture":[],"TitleCN":null,"AbstractTextCN":null,"PMCID":null,"EPubDate":"","PubModel":"","JCR":"","JCRName":"","Score":null,"Total":0}
引用次数: 0

Abstract

Introduction: Coronal plane fractures of the femoral condyle, known as Hoffa's fractures, are uncommon intra-articular injuries. Non-union of such fractures is rarely reported, particularly in younger patients, and presents a complex clinical scenario.

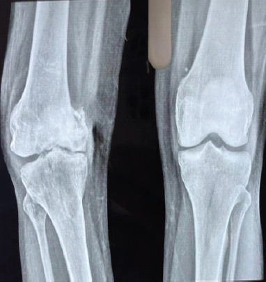
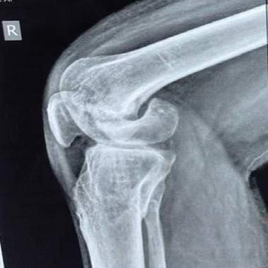
Case report: A case of a 38-year-old male who reported chronic right knee pain, swelling, and difficulty in ambulation due to a non-union Hoffa's fracture. Radiological findings indicated joint surface degeneration and instability. Given the chronicity and extent of articular damage, the patient underwent total knee arthroplasty (TKA) along with open reduction and internal fixation (ORIF) of the medial femoral condyle under spinal anesthesia. A posterior-stabilized knee system (Smith and Nephew, femur-5, tibia-5, polyethylene insert 13 mm) was implanted using Palacos bone cement. The patient recovered well and regained mobility with significant pain relief.

Conclusion: In rare cases of non-union Hoffa's fractures with joint degeneration, combined TKA and ORIF can provide functional improvement and pain relief, even in younger adults, when performed with appropriate surgical planning.

Abstract Image

Abstract Image

Abstract Image

成年男性Hoffa骨折不愈合行全膝关节置换术:一例罕见病例报告。
股骨髁的冠状面骨折称为Hoffa骨折,是一种罕见的关节内损伤。此类骨折的不愈合很少报道,特别是在年轻患者中,并且呈现复杂的临床情况。病例报告:一例38岁男性报告慢性右膝疼痛,肿胀,行动困难,由于不愈合Hoffa骨折。影像学表现为关节表面变性和不稳定。鉴于关节损伤的慢性和程度,患者在脊髓麻醉下接受了全膝关节置换术(TKA)以及股骨内侧髁切开复位内固定(ORIF)。使用Palacos骨水泥植入后稳定膝关节系统(Smith and Nephew,股骨-5,胫骨-5,聚乙烯植入物13mm)。患者恢复良好,活动能力恢复,疼痛明显缓解。结论:在罕见的Hoffa骨折合并关节退变的不愈合病例中,TKA联合ORIF在适当的手术计划下可以改善功能和缓解疼痛,即使是年轻人。
本文章由计算机程序翻译,如有差异,请以英文原文为准。
求助全文
约1分钟内获得全文 求助全文
来源期刊
自引率
0.00%
发文量
128
审稿时长
30 weeks
×
引用
GB/T 7714-2015
复制
MLA
复制
APA
复制
导出至
BibTeX EndNote RefMan NoteFirst NoteExpress
×
提示
您的信息不完整,为了账户安全,请先补充。
现在去补充
×
提示
您因"违规操作"
具体请查看互助需知
我知道了
×
提示
确定
请完成安全验证×
copy
已复制链接
快去分享给好友吧!
我知道了
右上角分享
点击右上角分享
0
联系我们:info@booksci.cn Book学术提供免费学术资源搜索服务,方便国内外学者检索中英文文献。致力于提供最便捷和优质的服务体验。 Copyright © 2023 布克学术 All rights reserved.
京ICP备2023020795号-1
ghs 京公网安备 11010802042870号
Book学术文献互助
Book学术文献互助群
群 号:604180095
Book学术官方微信