Innovative Management of Double Segmental Femur Fracture without Fracture Table: A Case Report.

Ambrish Kumar Singh, Abhinav Tiwari, Nischay Kaushik, Salman Durrani, Navneet Goel, Jashandeep Singh
{"title":"Innovative Management of Double Segmental Femur Fracture without Fracture Table: A Case Report.","authors":"Ambrish Kumar Singh, Abhinav Tiwari, Nischay Kaushik, Salman Durrani, Navneet Goel, Jashandeep Singh","doi":"10.13107/jocr.2025.v15.i09.6104","DOIUrl":null,"url":null,"abstract":"<p><strong>Introduction: </strong>Femoral fractures are undoubtedly common injuries, typically resulting from high-energy trauma in younger individuals or from bone fragility in older adults. However, fractures involving two or more regions of the femur are quite rare. These are usually caused by high-energy trauma and are classified as segmental femoral fractures (SFFs), which are described by us.</p><p><strong>Case report: </strong>A 35-year-old man with multiple-level femoral fractures at the subtrochanteric, diaphyseal, and supracondylar femoral regions - a condition known as double-SFFs - presented to our emergency department due motor vehicle collision. Intramedullary nailing was done without the use of a fracture table for fixation, and because there was a completely separated femoral fragment between the fracture lines, fracture reduction was difficult during reaming due rotation of the middle fragment.</p><p><strong>Conclusion: </strong>Double-segmental femur fractures are regarded as exceedingly uncommon injuries. Our results highlight that intramedullary nailing without a fracture table can yield excellent functional outcomes, with patients expected to achieve full weight-bearing by four months and a full range of motion thereafter.</p>","PeriodicalId":16647,"journal":{"name":"Journal of Orthopaedic Case Reports","volume":"15 9","pages":"294-298"},"PeriodicalIF":0.0000,"publicationDate":"2025-09-01","publicationTypes":"Journal Article","fieldsOfStudy":null,"isOpenAccess":false,"openAccessPdf":"https://www.ncbi.nlm.nih.gov/pmc/articles/PMC12422631/pdf/","citationCount":"0","resultStr":null,"platform":"Semanticscholar","paperid":null,"PeriodicalName":"Journal of Orthopaedic Case Reports","FirstCategoryId":"1085","ListUrlMain":"https://doi.org/10.13107/jocr.2025.v15.i09.6104","RegionNum":0,"RegionCategory":null,"ArticlePicture":[],"TitleCN":null,"AbstractTextCN":null,"PMCID":null,"EPubDate":"","PubModel":"","JCR":"","JCRName":"","Score":null,"Total":0}
引用次数: 0

Abstract

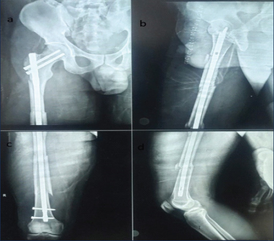
Introduction: Femoral fractures are undoubtedly common injuries, typically resulting from high-energy trauma in younger individuals or from bone fragility in older adults. However, fractures involving two or more regions of the femur are quite rare. These are usually caused by high-energy trauma and are classified as segmental femoral fractures (SFFs), which are described by us.

Case report: A 35-year-old man with multiple-level femoral fractures at the subtrochanteric, diaphyseal, and supracondylar femoral regions - a condition known as double-SFFs - presented to our emergency department due motor vehicle collision. Intramedullary nailing was done without the use of a fracture table for fixation, and because there was a completely separated femoral fragment between the fracture lines, fracture reduction was difficult during reaming due rotation of the middle fragment.

Conclusion: Double-segmental femur fractures are regarded as exceedingly uncommon injuries. Our results highlight that intramedullary nailing without a fracture table can yield excellent functional outcomes, with patients expected to achieve full weight-bearing by four months and a full range of motion thereafter.

Abstract Image

Abstract Image

Abstract Image

无骨折表的双节段股骨骨折创新治疗1例。
简介:股骨骨折无疑是一种常见的损伤,通常是由年轻人的高能创伤或老年人的骨脆性引起的。然而,涉及股骨两个或两个以上区域的骨折是非常罕见的。这些通常是由高能创伤引起的,并被归类为股骨节段性骨折(SFFs),我们对此进行了描述。病例报告:一名35岁男性股骨粗隆下、骨干和股骨髁上区域多节段骨折-一种被称为双sffs的情况-由于机动车碰撞而向我们的急诊科提出。髓内钉不使用骨折台固定,由于骨折线之间有一个完全分离的股骨碎片,由于中间碎片的旋转,在扩孔时骨折复位困难。结论:双节段股骨骨折是一种极为罕见的损伤。我们的研究结果强调,无需骨折台的髓内钉治疗可以产生良好的功能效果,患者预计在4个月后可以完全负重,此后可以进行全方位的活动。
本文章由计算机程序翻译,如有差异,请以英文原文为准。
求助全文
约1分钟内获得全文 求助全文
来源期刊
自引率
0.00%
发文量
128
审稿时长
30 weeks
×
引用
GB/T 7714-2015
复制
MLA
复制
APA
复制
导出至
BibTeX EndNote RefMan NoteFirst NoteExpress
×
提示
您的信息不完整,为了账户安全,请先补充。
现在去补充
×
提示
您因"违规操作"
具体请查看互助需知
我知道了
×
提示
确定
请完成安全验证×
copy
已复制链接
快去分享给好友吧!
我知道了
右上角分享
点击右上角分享
0
联系我们:info@booksci.cn Book学术提供免费学术资源搜索服务,方便国内外学者检索中英文文献。致力于提供最便捷和优质的服务体验。 Copyright © 2023 布克学术 All rights reserved.
京ICP备2023020795号-1
ghs 京公网安备 11010802042870号
Book学术文献互助
Book学术文献互助群
群 号:604180095
Book学术官方微信