Chronic Saphenous Nerve Entrapment Neuropathy after Closed Blunt Trauma: A Case Report.

Adam P Henderson, Mohammad S Kahrizi, Steven R Clendenen, Keith T Aziz
{"title":"Chronic Saphenous Nerve Entrapment Neuropathy after Closed Blunt Trauma: A Case Report.","authors":"Adam P Henderson, Mohammad S Kahrizi, Steven R Clendenen, Keith T Aziz","doi":"10.13107/jocr.2025.v15.i09.6034","DOIUrl":null,"url":null,"abstract":"<p><strong>Introduction: </strong>Neuropathic pain following trauma is a relatively common occurrence; however, diagnostic workup and treatment can be difficult. We present a case of chronic neuropathic pain in which surgical exploration and neurolysis yielded complete remission of pain. Histopathology revealed an array of findings, including evidence of fat necrosis with calcification, granuloma formation, and a foreign body, representing a particularly complex etiology for the patient's symptoms that has not, to our knowledge, been previously reported in the literature.</p><p><strong>Case report: </strong>A 31-year-old female presented to our clinic with chronic neuropathic pain after sustaining a blunt injury to the medial aspect of the right leg 15 years previously while playing softball. Her pain was localized to the anteromedial lower leg and was not relieved by medical management and therapy. She temporarily had complete relief of her symptoms with ultrasound-guided hydrodissection. She was treated with surgical exploration and neurolysis, and postoperatively, the patient had no complications and complete relief of her pain.</p><p><strong>Conclusion: </strong>We present a case of a 31-year-old patient who had perineural scarring and chronic neuropathic pain necessitating surgical exploration and neurolysis. Our case highlights the importance of investigating the etiology of neuropathic pain with several modalities and demonstrates the utility of ultrasound-guided peripheral nerve hydrodissection for both therapeutic and diagnostic purposes.</p>","PeriodicalId":16647,"journal":{"name":"Journal of Orthopaedic Case Reports","volume":"15 9","pages":"111-115"},"PeriodicalIF":0.0000,"publicationDate":"2025-09-01","publicationTypes":"Journal Article","fieldsOfStudy":null,"isOpenAccess":false,"openAccessPdf":"https://www.ncbi.nlm.nih.gov/pmc/articles/PMC12422657/pdf/","citationCount":"0","resultStr":null,"platform":"Semanticscholar","paperid":null,"PeriodicalName":"Journal of Orthopaedic Case Reports","FirstCategoryId":"1085","ListUrlMain":"https://doi.org/10.13107/jocr.2025.v15.i09.6034","RegionNum":0,"RegionCategory":null,"ArticlePicture":[],"TitleCN":null,"AbstractTextCN":null,"PMCID":null,"EPubDate":"","PubModel":"","JCR":"","JCRName":"","Score":null,"Total":0}
引用次数: 0

Abstract

Introduction: Neuropathic pain following trauma is a relatively common occurrence; however, diagnostic workup and treatment can be difficult. We present a case of chronic neuropathic pain in which surgical exploration and neurolysis yielded complete remission of pain. Histopathology revealed an array of findings, including evidence of fat necrosis with calcification, granuloma formation, and a foreign body, representing a particularly complex etiology for the patient's symptoms that has not, to our knowledge, been previously reported in the literature.

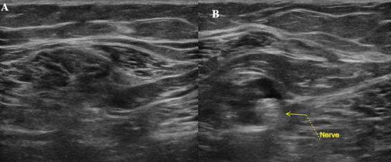
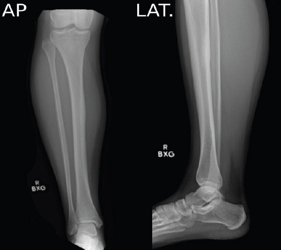
Case report: A 31-year-old female presented to our clinic with chronic neuropathic pain after sustaining a blunt injury to the medial aspect of the right leg 15 years previously while playing softball. Her pain was localized to the anteromedial lower leg and was not relieved by medical management and therapy. She temporarily had complete relief of her symptoms with ultrasound-guided hydrodissection. She was treated with surgical exploration and neurolysis, and postoperatively, the patient had no complications and complete relief of her pain.

Conclusion: We present a case of a 31-year-old patient who had perineural scarring and chronic neuropathic pain necessitating surgical exploration and neurolysis. Our case highlights the importance of investigating the etiology of neuropathic pain with several modalities and demonstrates the utility of ultrasound-guided peripheral nerve hydrodissection for both therapeutic and diagnostic purposes.

Abstract Image

Abstract Image

Abstract Image

闭合性钝性创伤后慢性隐神经卡压性神经病1例。
简介:创伤后神经性疼痛是比较常见的;然而,诊断检查和治疗可能很困难。我们提出一个慢性神经性疼痛的病例,其中手术探查和神经松解产生了完全缓解疼痛。组织病理学显示了一系列的发现,包括脂肪坏死伴钙化、肉芽肿形成和异物的证据,这代表了患者症状的特别复杂的病因,据我们所知,以前的文献中没有报道过。病例报告:一名31岁女性在15年前打垒球时右腿内侧钝性损伤后出现慢性神经性疼痛。她的疼痛局限于小腿前内侧,并没有通过医疗管理和治疗得到缓解。超声引导下的水解剖使她的症状暂时得到完全缓解。她接受了手术探查和神经松解术,术后无并发症,疼痛完全缓解。结论:我们报告了一例31岁的患者,他有神经周围瘢痕和慢性神经性疼痛,需要手术探查和神经松解术。我们的病例强调了通过多种方式调查神经性疼痛病因的重要性,并证明了超声引导下周围神经解剖在治疗和诊断方面的实用性。
本文章由计算机程序翻译,如有差异,请以英文原文为准。
求助全文
约1分钟内获得全文 求助全文
来源期刊
自引率
0.00%
发文量
128
审稿时长
30 weeks
×
引用
GB/T 7714-2015
复制
MLA
复制
APA
复制
导出至
BibTeX EndNote RefMan NoteFirst NoteExpress
×
提示
您的信息不完整,为了账户安全,请先补充。
现在去补充
×
提示
您因"违规操作"
具体请查看互助需知
我知道了
×
提示
确定
请完成安全验证×
copy
已复制链接
快去分享给好友吧!
我知道了
右上角分享
点击右上角分享
0
联系我们:info@booksci.cn Book学术提供免费学术资源搜索服务,方便国内外学者检索中英文文献。致力于提供最便捷和优质的服务体验。 Copyright © 2023 布克学术 All rights reserved.
京ICP备2023020795号-1
ghs 京公网安备 11010802042870号
Book学术文献互助
Book学术文献互助群
群 号:604180095
Book学术官方微信