Chondroblastoma of the Right Distal Femur Medial Condyle: A Case Report.

Sabare Naaharaaj, Mohammed Tavfiq, J K Giriraj Harshavardhan, Balaji Vijayan
{"title":"Chondroblastoma of the Right Distal Femur Medial Condyle: A Case Report.","authors":"Sabare Naaharaaj, Mohammed Tavfiq, J K Giriraj Harshavardhan, Balaji Vijayan","doi":"10.13107/jocr.2025.v15.i09.6074","DOIUrl":null,"url":null,"abstract":"<p><strong>Introduction: </strong>Chondroblastoma is a rare, benign but locally aggressive bone tumor typically affecting adolescents and young adults. It commonly arises in the epiphyseal region of long bones, particularly the distal femur. Despite its benign nature, it can cause significant joint dysfunction, pain, and disability. Early diagnosis is critical for preserving joint function and preventing recurrence.</p><p><strong>Case report: </strong>A 15-year-old female presented with progressive right knee pain of 6 months' duration, worsened by weight-bearing and minimally relieved by analgesics. Clinical examination revealed tenderness and immobile swelling in the region of the medial femoral condyle. Imaging showed characteristic \"chicken-wire\" calcification, and computed tomography-guided biopsy confirmed chondroblastoma. The patient underwent extended curettage, iliac crest bone grafting, and the use of synthetic bone substitutes. Post-operative rehabilitation showed a good recovery in range of motion and limb function, with no recurrence at follow-up.</p><p><strong>Conclusion: </strong>Early diagnosis and appropriate surgical management, including extended curettage and bone grafting, are essential to prevent recurrence and restore joint function in distal femur chondroblastoma. Functional outcomes are generally favorable with timely and targeted treatment.</p>","PeriodicalId":16647,"journal":{"name":"Journal of Orthopaedic Case Reports","volume":"15 9","pages":"213-218"},"PeriodicalIF":0.0000,"publicationDate":"2025-09-01","publicationTypes":"Journal Article","fieldsOfStudy":null,"isOpenAccess":false,"openAccessPdf":"https://www.ncbi.nlm.nih.gov/pmc/articles/PMC12422696/pdf/","citationCount":"0","resultStr":null,"platform":"Semanticscholar","paperid":null,"PeriodicalName":"Journal of Orthopaedic Case Reports","FirstCategoryId":"1085","ListUrlMain":"https://doi.org/10.13107/jocr.2025.v15.i09.6074","RegionNum":0,"RegionCategory":null,"ArticlePicture":[],"TitleCN":null,"AbstractTextCN":null,"PMCID":null,"EPubDate":"","PubModel":"","JCR":"","JCRName":"","Score":null,"Total":0}
引用次数: 0

Abstract

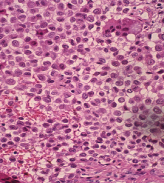
Introduction: Chondroblastoma is a rare, benign but locally aggressive bone tumor typically affecting adolescents and young adults. It commonly arises in the epiphyseal region of long bones, particularly the distal femur. Despite its benign nature, it can cause significant joint dysfunction, pain, and disability. Early diagnosis is critical for preserving joint function and preventing recurrence.

Case report: A 15-year-old female presented with progressive right knee pain of 6 months' duration, worsened by weight-bearing and minimally relieved by analgesics. Clinical examination revealed tenderness and immobile swelling in the region of the medial femoral condyle. Imaging showed characteristic "chicken-wire" calcification, and computed tomography-guided biopsy confirmed chondroblastoma. The patient underwent extended curettage, iliac crest bone grafting, and the use of synthetic bone substitutes. Post-operative rehabilitation showed a good recovery in range of motion and limb function, with no recurrence at follow-up.

Conclusion: Early diagnosis and appropriate surgical management, including extended curettage and bone grafting, are essential to prevent recurrence and restore joint function in distal femur chondroblastoma. Functional outcomes are generally favorable with timely and targeted treatment.

Abstract Image

Abstract Image

Abstract Image

右股骨远端内侧髁成软骨细胞瘤1例。
成软骨细胞瘤是一种罕见的良性但局部侵袭性的骨肿瘤,通常影响青少年和年轻人。它通常发生在长骨的骨骺区,特别是股骨远端。尽管它是良性的,但它会导致严重的关节功能障碍、疼痛和残疾。早期诊断对保持关节功能和预防复发至关重要。病例报告:一名15岁的女性,表现为进行性右膝疼痛,持续6个月,因负重而加重,并通过止痛剂轻度缓解。临床检查发现股骨内侧髁区域有压痛和不动性肿胀。影像学显示特征性的“鸡丝”钙化,计算机断层扫描引导下活检证实为成软骨细胞瘤。患者接受了扩大刮除、髂骨植骨和人工骨替代物的使用。术后康复显示患者活动范围和肢体功能恢复良好,随访无复发。结论:股骨远端成软骨细胞瘤的早期诊断和适当的手术处理,包括扩大刮除和植骨,对预防复发和恢复关节功能至关重要。通过及时和有针对性的治疗,功能结果通常是有利的。
本文章由计算机程序翻译,如有差异,请以英文原文为准。
求助全文
约1分钟内获得全文 求助全文
来源期刊
自引率
0.00%
发文量
128
审稿时长
30 weeks
×
引用
GB/T 7714-2015
复制
MLA
复制
APA
复制
导出至
BibTeX EndNote RefMan NoteFirst NoteExpress
×
提示
您的信息不完整,为了账户安全,请先补充。
现在去补充
×
提示
您因"违规操作"
具体请查看互助需知
我知道了
×
提示
确定
请完成安全验证×
copy
已复制链接
快去分享给好友吧!
我知道了
右上角分享
点击右上角分享
0
联系我们:info@booksci.cn Book学术提供免费学术资源搜索服务,方便国内外学者检索中英文文献。致力于提供最便捷和优质的服务体验。 Copyright © 2023 布克学术 All rights reserved.
京ICP备2023020795号-1
ghs 京公网安备 11010802042870号
Book学术文献互助
Book学术文献互助群
群 号:604180095
Book学术官方微信