Rare Periprosthetic Fractures Following Oxford Unicompartmental Knee Arthroplasty: A Case Series of Supracondylar Femoral and Proximal Tibial Fractures.

Amyn M Rajani, Vishal Kulkarni, Clevio Desouza
{"title":"Rare Periprosthetic Fractures Following Oxford Unicompartmental Knee Arthroplasty: A Case Series of Supracondylar Femoral and Proximal Tibial Fractures.","authors":"Amyn M Rajani, Vishal Kulkarni, Clevio Desouza","doi":"10.13107/jocr.2025.v15.i09.6054","DOIUrl":null,"url":null,"abstract":"<p><strong>Introduction: </strong>Periprosthetic fractures (PPFs) are well-documented complications after total knee arthroplasty but are exceedingly rare following unicompartmental knee arthroplasty (UKA). Given UKA's design preserves native bone stock and maintains near-normal joint biomechanics, PPFs around well-fixed UKA components are infrequently encountered and poorly described in the literature. To the best of our knowledge, there are very few detailed reports of supracondylar femoral or proximal tibial PPFs following mobile-bearing UKA. This case series is important because it highlights not only the rarity of these injuries but also their successful management without compromising the integrity of the prosthetic components.</p><p><strong>Case report: </strong>We present two unique cases of PPFs following cemented mobile-bearing Oxford UKA in elderly South Asian women. The first case involves a 63-year-old woman who sustained a high-energy supracondylar femoral PPF (Unified Classification System Type C) 9 months post-UKA. Despite the severity of the injury, radiographs confirmed the femoral component remained well-fixed with no evidence of polyethylene insert dislocation. She was treated successfully with retrograde intramedullary nailing, achieving full fracture union and 130° of knee flexion by 6 months postoperatively. The second case involves a 60-year-old woman who sustained a proximal third tibial PPF (Type C) two and a half months after UKA. Again, both components remained secure without signs of loosening. She was treated with locking plate fixation, resulting in complete union and full independent ambulation by 6 months. Both patients remained clinically well at 2.5 years of follow-up, with intact UKA components and no functional limitations.</p><p><strong>Conclusion: </strong>These cases underscore that even severe, high-energy PPFs around UKA can be effectively managed with standard anatomical fixation techniques without necessitating implant revision. The report advances clinical knowledge by demonstrating the structural resilience of well-fixed mobile-bearing UKA components in the setting of traumatic fracture. It is of particular interest to orthopaedic surgeons specializing in arthroplasty and trauma, but also has broader implications for surgical planning, patient counseling, and post-operative expectations.</p>","PeriodicalId":16647,"journal":{"name":"Journal of Orthopaedic Case Reports","volume":"15 9","pages":"164-169"},"PeriodicalIF":0.0000,"publicationDate":"2025-09-01","publicationTypes":"Journal Article","fieldsOfStudy":null,"isOpenAccess":false,"openAccessPdf":"https://www.ncbi.nlm.nih.gov/pmc/articles/PMC12422644/pdf/","citationCount":"0","resultStr":null,"platform":"Semanticscholar","paperid":null,"PeriodicalName":"Journal of Orthopaedic Case Reports","FirstCategoryId":"1085","ListUrlMain":"https://doi.org/10.13107/jocr.2025.v15.i09.6054","RegionNum":0,"RegionCategory":null,"ArticlePicture":[],"TitleCN":null,"AbstractTextCN":null,"PMCID":null,"EPubDate":"","PubModel":"","JCR":"","JCRName":"","Score":null,"Total":0}
引用次数: 0

Abstract

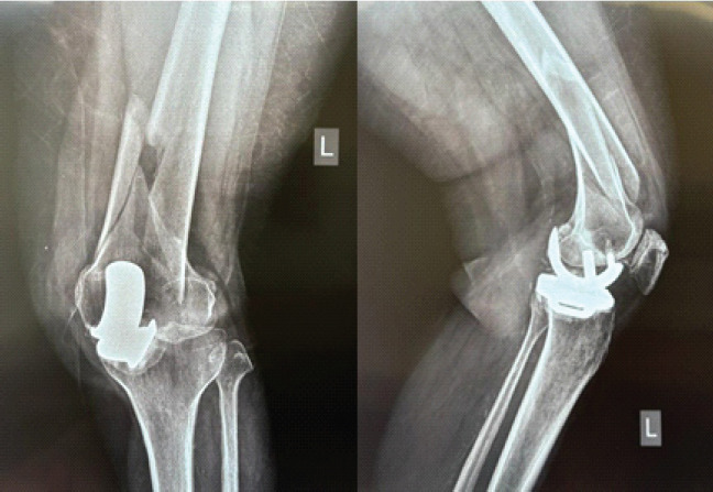
Introduction: Periprosthetic fractures (PPFs) are well-documented complications after total knee arthroplasty but are exceedingly rare following unicompartmental knee arthroplasty (UKA). Given UKA's design preserves native bone stock and maintains near-normal joint biomechanics, PPFs around well-fixed UKA components are infrequently encountered and poorly described in the literature. To the best of our knowledge, there are very few detailed reports of supracondylar femoral or proximal tibial PPFs following mobile-bearing UKA. This case series is important because it highlights not only the rarity of these injuries but also their successful management without compromising the integrity of the prosthetic components.

Case report: We present two unique cases of PPFs following cemented mobile-bearing Oxford UKA in elderly South Asian women. The first case involves a 63-year-old woman who sustained a high-energy supracondylar femoral PPF (Unified Classification System Type C) 9 months post-UKA. Despite the severity of the injury, radiographs confirmed the femoral component remained well-fixed with no evidence of polyethylene insert dislocation. She was treated successfully with retrograde intramedullary nailing, achieving full fracture union and 130° of knee flexion by 6 months postoperatively. The second case involves a 60-year-old woman who sustained a proximal third tibial PPF (Type C) two and a half months after UKA. Again, both components remained secure without signs of loosening. She was treated with locking plate fixation, resulting in complete union and full independent ambulation by 6 months. Both patients remained clinically well at 2.5 years of follow-up, with intact UKA components and no functional limitations.

Conclusion: These cases underscore that even severe, high-energy PPFs around UKA can be effectively managed with standard anatomical fixation techniques without necessitating implant revision. The report advances clinical knowledge by demonstrating the structural resilience of well-fixed mobile-bearing UKA components in the setting of traumatic fracture. It is of particular interest to orthopaedic surgeons specializing in arthroplasty and trauma, but also has broader implications for surgical planning, patient counseling, and post-operative expectations.

Abstract Image

Abstract Image

Abstract Image

牛津单室膝关节置换术后罕见的假体周围骨折:股骨髁上和胫骨近端骨折病例系列。
引言:假体周围骨折(PPFs)是全膝关节置换术后的并发症,但在单室膝关节置换术(UKA)后极为罕见。考虑到UKA的设计保留了原生骨,并保持了接近正常的关节生物力学,固定良好的UKA部件周围的ppf很少遇到,文献中描述也很差。据我们所知,很少有关于股骨髁上或胫骨近端PPFs的详细报道。这个病例系列很重要,因为它不仅强调了这些损伤的罕见性,而且还强调了在不损害假体部件完整性的情况下成功管理。病例报告:我们提出了两个独特的病例ppf后胶结移动轴承牛津UKA在老年南亚妇女。第一个病例涉及一名63岁的女性,她在uka后9个月持续发生高能量股骨髁上PPF(统一分类系统C型)。尽管损伤严重,但x线片证实股骨假体仍然固定良好,没有聚乙烯假体脱位的迹象。患者行逆行髓内钉成功治疗,术后6个月骨折完全愈合,膝关节屈曲130°。第二个病例涉及一名60岁妇女,她在UKA后两个半月持续第三胫骨近端PPF (C型)。这两个组成部分再次保持安全,没有松动的迹象。患者接受锁定钢板固定治疗,6个月时完全愈合并能完全独立行走。随访2.5年,两名患者临床表现良好,UKA组件完整,无功能限制。结论:这些病例强调,即使是严重的,高能ppf在UKA周围也可以通过标准的解剖固定技术有效地控制,而无需假体翻修。该报告通过展示在创伤性骨折的情况下,固定良好的可移动承重UKA组件的结构弹性,提高了临床知识。这是骨科医生特别感兴趣的关节成形术和创伤,但也有更广泛的影响手术计划,患者咨询和术后期望。
本文章由计算机程序翻译,如有差异,请以英文原文为准。
求助全文
约1分钟内获得全文 求助全文
来源期刊
自引率
0.00%
发文量
128
审稿时长
30 weeks
×
引用
GB/T 7714-2015
复制
MLA
复制
APA
复制
导出至
BibTeX EndNote RefMan NoteFirst NoteExpress
×
提示
您的信息不完整,为了账户安全,请先补充。
现在去补充
×
提示
您因"违规操作"
具体请查看互助需知
我知道了
×
提示
确定
请完成安全验证×
copy
已复制链接
快去分享给好友吧!
我知道了
右上角分享
点击右上角分享
0
联系我们:info@booksci.cn Book学术提供免费学术资源搜索服务,方便国内外学者检索中英文文献。致力于提供最便捷和优质的服务体验。 Copyright © 2023 布克学术 All rights reserved.
京ICP备2023020795号-1
ghs 京公网安备 11010802042870号
Book学术文献互助
Book学术文献互助群
群 号:604180095
Book学术官方微信