A Rare Case of Septic Arthritis of the Knee Associated with Pathological Neck of Femur Fracture Caused by Serratia Marcescens - A Case Report.

Adnan Asif, J S R G Saran, N K Arun Kumar
{"title":"A Rare Case of Septic Arthritis of the Knee Associated with Pathological Neck of Femur Fracture Caused by Serratia Marcescens - A Case Report.","authors":"Adnan Asif, J S R G Saran, N K Arun Kumar","doi":"10.13107/jocr.2025.v15.i09.6006","DOIUrl":null,"url":null,"abstract":"<p><strong>Introduction: </strong>Septic arthritis is an acute condition of the joints that warrants an emergency procedure of joint arthrotomy with debridement, IV antibiotics postoperatively and commonly affects big joints, which include the hip, knee, and shoulder. Serratia marcescens causing septic arthritis is quite rare and is mainly seen in immunocompromised individuals, and very limited literature is present pertaining to the same.</p><p><strong>Case report: </strong>A 65-year-old male patient presented to the hospital with sudden inability to bear weight on his right lower limb, inability to flex the knee, which was associated with swelling of the knee, and the limb was externally rotated for 3 days. A fracture of the right neck of the femur was identified on X-ray of the pelvis with bilateral hips. There was no history of trauma. He is a known case of chronic kidney disease for 3 years and is also a known hypertensive and type 2 diabetes mellitus for 15 years, and is currently undergoing dialysis thrice per week. The affected knee was aspirated and was found to have S. marcescens infection, localized there itself; blood culture and intraoperative hip aspirate were negative for the same organism. He underwent right knee arthrotomy with synovectomy and was started on IV antibiotics based on the culture and sensitivity report.</p><p><strong>Conclusion: </strong>Septic arthritis of the knee joint, along with pathological fracture of the neck of the femur in immunocompromised patients, has to be addressed and given special focus for diagnosis and treatment. Swelling of the knee with inability to flex and acute pain is a sign of septic knee and joint aspiration and antibiotic cover is the mainstay of the treatment, but in cases of acute septic knee, it will require knee arthrotomy with synovectomy and joint debridement.</p>","PeriodicalId":16647,"journal":{"name":"Journal of Orthopaedic Case Reports","volume":"15 9","pages":"37-42"},"PeriodicalIF":0.0000,"publicationDate":"2025-09-01","publicationTypes":"Journal Article","fieldsOfStudy":null,"isOpenAccess":false,"openAccessPdf":"https://www.ncbi.nlm.nih.gov/pmc/articles/PMC12422638/pdf/","citationCount":"0","resultStr":null,"platform":"Semanticscholar","paperid":null,"PeriodicalName":"Journal of Orthopaedic Case Reports","FirstCategoryId":"1085","ListUrlMain":"https://doi.org/10.13107/jocr.2025.v15.i09.6006","RegionNum":0,"RegionCategory":null,"ArticlePicture":[],"TitleCN":null,"AbstractTextCN":null,"PMCID":null,"EPubDate":"","PubModel":"","JCR":"","JCRName":"","Score":null,"Total":0}
引用次数: 0

Abstract

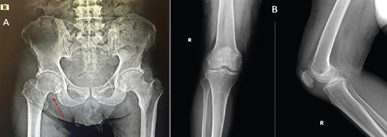
Introduction: Septic arthritis is an acute condition of the joints that warrants an emergency procedure of joint arthrotomy with debridement, IV antibiotics postoperatively and commonly affects big joints, which include the hip, knee, and shoulder. Serratia marcescens causing septic arthritis is quite rare and is mainly seen in immunocompromised individuals, and very limited literature is present pertaining to the same.

Case report: A 65-year-old male patient presented to the hospital with sudden inability to bear weight on his right lower limb, inability to flex the knee, which was associated with swelling of the knee, and the limb was externally rotated for 3 days. A fracture of the right neck of the femur was identified on X-ray of the pelvis with bilateral hips. There was no history of trauma. He is a known case of chronic kidney disease for 3 years and is also a known hypertensive and type 2 diabetes mellitus for 15 years, and is currently undergoing dialysis thrice per week. The affected knee was aspirated and was found to have S. marcescens infection, localized there itself; blood culture and intraoperative hip aspirate were negative for the same organism. He underwent right knee arthrotomy with synovectomy and was started on IV antibiotics based on the culture and sensitivity report.

Conclusion: Septic arthritis of the knee joint, along with pathological fracture of the neck of the femur in immunocompromised patients, has to be addressed and given special focus for diagnosis and treatment. Swelling of the knee with inability to flex and acute pain is a sign of septic knee and joint aspiration and antibiotic cover is the mainstay of the treatment, but in cases of acute septic knee, it will require knee arthrotomy with synovectomy and joint debridement.

Abstract Image

Abstract Image

Abstract Image

脓毒性膝关节炎合并骨性沙雷氏菌所致病理性股骨颈骨折1例。
简介:脓毒性关节炎是一种急性关节疾病,需要紧急进行关节切开术并清创,术后静脉注射抗生素,通常影响大关节,包括髋关节、膝关节和肩部。粘质沙雷氏菌引起脓毒性关节炎是相当罕见的,主要见于免疫功能低下的个体,目前文献非常有限。病例报告:65岁男性患者,右下肢突然不能承重,膝关节不能屈曲,伴有膝关节肿胀,肢体外旋3天。骨盆及双侧髋关节x光片显示股骨右颈骨折。没有外伤史。他是一个已知的慢性肾脏疾病3年的病例,也是一个已知的高血压和2型糖尿病15年,目前正在接受每周透析3次。抽吸患膝,发现粘质葡萄球菌感染,局部存在;血培养和术中髋关节抽吸均为阴性。他接受了右膝关节切开术和滑膜切除术,并根据培养和敏感性报告开始静脉注射抗生素。结论:在免疫功能低下患者中,感染性膝关节关节炎和病理性股骨颈骨折应引起重视,并给予特别的诊断和治疗。膝关节肿胀,不能弯曲和急性疼痛是脓毒性膝关节和关节吸入性的标志,抗生素覆盖是治疗的主要方法,但在急性脓毒性膝关节的情况下,需要膝关节切开术,滑膜切除术和关节清创。
本文章由计算机程序翻译,如有差异,请以英文原文为准。
求助全文
约1分钟内获得全文 求助全文
来源期刊
自引率
0.00%
发文量
128
审稿时长
30 weeks
×
引用
GB/T 7714-2015
复制
MLA
复制
APA
复制
导出至
BibTeX EndNote RefMan NoteFirst NoteExpress
×
提示
您的信息不完整,为了账户安全,请先补充。
现在去补充
×
提示
您因"违规操作"
具体请查看互助需知
我知道了
×
提示
确定
请完成安全验证×
copy
已复制链接
快去分享给好友吧!
我知道了
右上角分享
点击右上角分享
0
联系我们:info@booksci.cn Book学术提供免费学术资源搜索服务,方便国内外学者检索中英文文献。致力于提供最便捷和优质的服务体验。 Copyright © 2023 布克学术 All rights reserved.
京ICP备2023020795号-1
ghs 京公网安备 11010802042870号
Book学术文献互助
Book学术文献互助群
群 号:604180095
Book学术官方微信