Periprosthetic Humeral Shaft Fracture about Total Elbow Arthroplasties Managed with Medial and Lateral Femoral Strut Allografts and Implant Retention: A Case Report.

Elise Ketelaar, Mike McDonald, James Dietz
{"title":"Periprosthetic Humeral Shaft Fracture about Total Elbow Arthroplasties Managed with Medial and Lateral Femoral Strut Allografts and Implant Retention: A Case Report.","authors":"Elise Ketelaar, Mike McDonald, James Dietz","doi":"10.13107/jocr.2025.v15.i09.6084","DOIUrl":null,"url":null,"abstract":"<p><strong>Introduction: </strong>Expanding indications for total elbow arthroplasty in recent years have led to increased occurrence of complications, such as periprosthetic elbow fracture, which can occur in up to 12% of cases. Several management options for periprosthetic elbow fracture have been suggested in literature; however, there is currently no accepted guideline for treatment.</p><p><strong>Case report: </strong>We present two cases of periprosthetic humerus fractures without implant loosening multiple years after the index procedures. They were treated with open reduction internal fixation (ORIF) utilizing a plate with medial and lateral cortical strut femoral allografting with implant retention.</p><p><strong>Conclusion: </strong>Two cases of periprosthetic humerus fractures about total elbow arthroplasties were successfully treated with ORIF with medial and lateral cortical strut augmentation. Treatment for periprosthetic elbow fractures should be tailored to each patient based on factors, such as stability of implant, bone stock, and patient goals.</p>","PeriodicalId":16647,"journal":{"name":"Journal of Orthopaedic Case Reports","volume":"15 9","pages":"240-244"},"PeriodicalIF":0.0000,"publicationDate":"2025-09-01","publicationTypes":"Journal Article","fieldsOfStudy":null,"isOpenAccess":false,"openAccessPdf":"https://www.ncbi.nlm.nih.gov/pmc/articles/PMC12422655/pdf/","citationCount":"0","resultStr":null,"platform":"Semanticscholar","paperid":null,"PeriodicalName":"Journal of Orthopaedic Case Reports","FirstCategoryId":"1085","ListUrlMain":"https://doi.org/10.13107/jocr.2025.v15.i09.6084","RegionNum":0,"RegionCategory":null,"ArticlePicture":[],"TitleCN":null,"AbstractTextCN":null,"PMCID":null,"EPubDate":"","PubModel":"","JCR":"","JCRName":"","Score":null,"Total":0}
引用次数: 0

Abstract

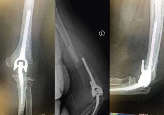
Introduction: Expanding indications for total elbow arthroplasty in recent years have led to increased occurrence of complications, such as periprosthetic elbow fracture, which can occur in up to 12% of cases. Several management options for periprosthetic elbow fracture have been suggested in literature; however, there is currently no accepted guideline for treatment.

Case report: We present two cases of periprosthetic humerus fractures without implant loosening multiple years after the index procedures. They were treated with open reduction internal fixation (ORIF) utilizing a plate with medial and lateral cortical strut femoral allografting with implant retention.

Conclusion: Two cases of periprosthetic humerus fractures about total elbow arthroplasties were successfully treated with ORIF with medial and lateral cortical strut augmentation. Treatment for periprosthetic elbow fractures should be tailored to each patient based on factors, such as stability of implant, bone stock, and patient goals.

Abstract Image

Abstract Image

Abstract Image

全肘关节置换术后肱骨假体周围骨折采用股骨内外侧异体支架和假体保留:1例报告。
导语:近年来全肘关节置换术适应症的扩大导致并发症的发生增加,如假体周围肘关节骨折,其发生率高达12%。文献中提出了几种治疗肘关节假体周围骨折的方法;然而,目前尚无公认的治疗指南。病例报告:我们报告了两例肱骨假体周围骨折,在手术后多年没有植入物松动。他们接受切开复位内固定(ORIF)治疗,利用钢板与内侧和外侧皮质支撑股骨异体植骨并保留植入物。结论:采用ORIF +内外侧皮质支撑增强术治疗全肘关节置换术后肱骨假体周围骨折2例。肘关节假体周围骨折的治疗应根据不同的因素,如植入物的稳定性、骨库存和患者的目标,为每位患者量身定制。
本文章由计算机程序翻译,如有差异,请以英文原文为准。
求助全文
约1分钟内获得全文 求助全文
来源期刊
自引率
0.00%
发文量
128
审稿时长
30 weeks
×
引用
GB/T 7714-2015
复制
MLA
复制
APA
复制
导出至
BibTeX EndNote RefMan NoteFirst NoteExpress
×
提示
您的信息不完整,为了账户安全,请先补充。
现在去补充
×
提示
您因"违规操作"
具体请查看互助需知
我知道了
×
提示
确定
请完成安全验证×
copy
已复制链接
快去分享给好友吧!
我知道了
右上角分享
点击右上角分享
0
联系我们:info@booksci.cn Book学术提供免费学术资源搜索服务,方便国内外学者检索中英文文献。致力于提供最便捷和优质的服务体验。 Copyright © 2023 布克学术 All rights reserved.
京ICP备2023020795号-1
ghs 京公网安备 11010802042870号
Book学术文献互助
Book学术文献互助群
群 号:604180095
Book学术官方微信