Mutant huntingtin exon 1 protein detected in mouse brain with neoepitope antibody: effects of CAG repeat expansion, MutS Homolog 3 silencing and aggregation.

IF 4.5 Q1 CLINICAL NEUROLOGY
Brain communications Pub Date : 2025-08-29 eCollection Date: 2025-01-01 DOI:10.1093/braincomms/fcaf314
Ellen Sapp, Adel Boudi, Andrew Iwanowicz, Jillian Belgrad, Rachael Miller, Riannon Robertson, Daniel O'Reilly, Ken Yamada, Yunping Deng, Marion Joni, Xueyi Li, Kimberly Kegel-Gleason, Anastasia Khvorova, Anton Reiner, Neil Aronin, Marian DiFiglia
{"title":"Mutant huntingtin exon 1 protein detected in mouse brain with neoepitope antibody: effects of CAG repeat expansion, MutS Homolog 3 silencing and aggregation.","authors":"Ellen Sapp, Adel Boudi, Andrew Iwanowicz, Jillian Belgrad, Rachael Miller, Riannon Robertson, Daniel O'Reilly, Ken Yamada, Yunping Deng, Marion Joni, Xueyi Li, Kimberly Kegel-Gleason, Anastasia Khvorova, Anton Reiner, Neil Aronin, Marian DiFiglia","doi":"10.1093/braincomms/fcaf314","DOIUrl":null,"url":null,"abstract":"<p><p><i>HTT1a</i> was identified in human and mouse Huntington's disease brain as the pathogenic exon 1 mRNA generated from aberrant splicing between exon 1 and 2 of <i>HTT</i> that contributes to aggregate formation and neuronal dysfunction. Detection of the huntingtin exon 1 protein (HTT1a) has been accomplished with Meso Scale Discovery, Homogeneous Time Resolved Fluorescence and immunoprecipitation assays in Huntington's disease knock-in mice, but direct detection in homogenates by gel electrophoresis and western blot assay has been lacking. Subcellular fractions prepared from mouse and human Huntington's disease brain were separated by gel electrophoresis and probed by western blot with neoepitope monoclonal antibodies 1B12 and 11G2 directed to the C-terminal eight residues of HTT1a. In caudate putamen of an allelic series of 6-month-old Huntington's disease knock-in mice (Q50, Q80, Q111, Q140 and Q175), HTT1a migration was inversely correlated with CAG repeat length and appeared as a sodium dodecyl sulphate soluble high molecular mass smear in Q111, Q140 and Q175 mice but weakly in Q80 and not in wild-type mice or Q50 indicating a CAG repeat size threshold for detecting HTT1a. HTT1a immunoreactivity diminished if 1B12 and 11G2 antibodies were preincubated with an eight amino acid peptide containing the C-terminus of HTT1a but not with an unrelated peptide sequence. Migration of HTT1a and its high molecular mass smear changed with age in caudate putamen of Q111, Q175 and YAC128 mice. Reducing levels of MutS Homolog 3 (MSH3) protein >84% in Q111 mice caudate putamen with small interfering RNA to <i>MSH3</i>, a modifier of CAG repeat expansion, significantly reduced levels of the high molecular mass smear suggesting that the effects of curbing CAG repeat expansion on HTT1a were quantifiable. A prominent 56-60 kDa doublet detected by 1B12 and 11G2 antibodies in lysates from human Huntington's disease brain was not blocked by preincubation with C-terminal HTT1a blocking peptide and also appeared in brains of Parkinson's disease patients. 1B12 and 11G2 antibodies did not immunoprecipitate huntingtin (HTT) proteins from either Huntington's disease mouse or human brain lysates using conditions that pulled down full-length HTT with anti-HTT antibody 2B7. Altogether, these data show that 11G2 and 1B12 antibodies can be used in western blot assays to track and quantify immunoreactive HTT1a levels, solubility and subcellular localization in Huntington's disease mouse brain.</p>","PeriodicalId":93915,"journal":{"name":"Brain communications","volume":"7 5","pages":"fcaf314"},"PeriodicalIF":4.5000,"publicationDate":"2025-08-29","publicationTypes":"Journal Article","fieldsOfStudy":null,"isOpenAccess":false,"openAccessPdf":"https://www.ncbi.nlm.nih.gov/pmc/articles/PMC12416564/pdf/","citationCount":"0","resultStr":null,"platform":"Semanticscholar","paperid":null,"PeriodicalName":"Brain communications","FirstCategoryId":"1085","ListUrlMain":"https://doi.org/10.1093/braincomms/fcaf314","RegionNum":0,"RegionCategory":null,"ArticlePicture":[],"TitleCN":null,"AbstractTextCN":null,"PMCID":null,"EPubDate":"2025/1/1 0:00:00","PubModel":"eCollection","JCR":"Q1","JCRName":"CLINICAL NEUROLOGY","Score":null,"Total":0}
引用次数: 0

Abstract

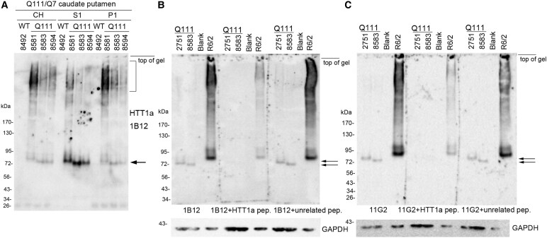
HTT1a was identified in human and mouse Huntington's disease brain as the pathogenic exon 1 mRNA generated from aberrant splicing between exon 1 and 2 of HTT that contributes to aggregate formation and neuronal dysfunction. Detection of the huntingtin exon 1 protein (HTT1a) has been accomplished with Meso Scale Discovery, Homogeneous Time Resolved Fluorescence and immunoprecipitation assays in Huntington's disease knock-in mice, but direct detection in homogenates by gel electrophoresis and western blot assay has been lacking. Subcellular fractions prepared from mouse and human Huntington's disease brain were separated by gel electrophoresis and probed by western blot with neoepitope monoclonal antibodies 1B12 and 11G2 directed to the C-terminal eight residues of HTT1a. In caudate putamen of an allelic series of 6-month-old Huntington's disease knock-in mice (Q50, Q80, Q111, Q140 and Q175), HTT1a migration was inversely correlated with CAG repeat length and appeared as a sodium dodecyl sulphate soluble high molecular mass smear in Q111, Q140 and Q175 mice but weakly in Q80 and not in wild-type mice or Q50 indicating a CAG repeat size threshold for detecting HTT1a. HTT1a immunoreactivity diminished if 1B12 and 11G2 antibodies were preincubated with an eight amino acid peptide containing the C-terminus of HTT1a but not with an unrelated peptide sequence. Migration of HTT1a and its high molecular mass smear changed with age in caudate putamen of Q111, Q175 and YAC128 mice. Reducing levels of MutS Homolog 3 (MSH3) protein >84% in Q111 mice caudate putamen with small interfering RNA to MSH3, a modifier of CAG repeat expansion, significantly reduced levels of the high molecular mass smear suggesting that the effects of curbing CAG repeat expansion on HTT1a were quantifiable. A prominent 56-60 kDa doublet detected by 1B12 and 11G2 antibodies in lysates from human Huntington's disease brain was not blocked by preincubation with C-terminal HTT1a blocking peptide and also appeared in brains of Parkinson's disease patients. 1B12 and 11G2 antibodies did not immunoprecipitate huntingtin (HTT) proteins from either Huntington's disease mouse or human brain lysates using conditions that pulled down full-length HTT with anti-HTT antibody 2B7. Altogether, these data show that 11G2 and 1B12 antibodies can be used in western blot assays to track and quantify immunoreactive HTT1a levels, solubility and subcellular localization in Huntington's disease mouse brain.

Abstract Image

Abstract Image

Abstract Image

用新表位抗体检测小鼠脑内突变huntingtin外显子1蛋白:CAG重复扩增、MutS同源3沉默和聚集的影响
HTT1a在人类和小鼠亨廷顿病脑中被鉴定为致病外显子1 mRNA,由HTT的外显子1和2之间的异常剪接产生,有助于聚集形成和神经元功能障碍。亨廷顿病敲入小鼠的亨廷顿蛋白外显子1蛋白(HTT1a)的检测已经通过中尺度发现、均匀时间分辨荧光和免疫沉淀试验完成,但在匀浆中通过凝胶电泳和western blot方法直接检测尚缺乏。用凝胶电泳分离小鼠和人亨廷顿病脑组织亚细胞组分,并用western blot检测针对HTT1a c端8个残基的新表位单克隆抗体1112和11G2。在6月龄亨廷顿氏病敲入小鼠(Q50、Q80、Q111、Q140和Q175)的尾状壳核等位基因序列中,HTT1a迁移与CAG重复序列长度呈负相关,在Q111、Q140和Q175小鼠中表现为十二烷基硫酸钠可溶性高分子质量片,但在Q80中表现弱,在野生型小鼠或Q50中不存在CAG重复序列大小阈值。如果将1112和11G2抗体与含有HTT1a c -末端的8个氨基酸的肽一起预孵育,而不与不相关的肽序列一起预孵育,则HTT1a的免疫反应性降低。在Q111、Q175和YAC128小鼠尾壳核中,HTT1a的迁移及其高分子质量涂片随年龄的变化而变化。使用对CAG重复扩增修饰因子MSH3的小干扰RNA,在Q111小鼠尾状壳核中降低84%的MutS Homolog 3 (MSH3)蛋白>水平,显著降低了高分子质量片水平,这表明抑制CAG重复扩增对HTT1a的影响是可量化的。1112和11G2抗体在人类亨廷顿氏病脑裂解物中检测到一个突出的56-60 kDa双链,该双链未被c端HTT1a阻断肽预孵育阻断,也出现在帕金森病患者的大脑中。在用抗HTT抗体2B7拉低全长HTT的条件下,1112和11G2抗体都不能免疫沉淀亨廷顿病小鼠或人脑裂解物中的亨廷顿蛋白(HTT)。综上所述,这些数据表明11G2和1112抗体可用于western blot检测,以跟踪和量化亨廷顿氏病小鼠大脑中免疫反应性HTT1a水平、溶解度和亚细胞定位。
本文章由计算机程序翻译,如有差异,请以英文原文为准。
求助全文
约1分钟内获得全文 求助全文
来源期刊
CiteScore
7.00
自引率
0.00%
发文量
0
审稿时长
6 weeks
×
引用
GB/T 7714-2015
复制
MLA
复制
APA
复制
导出至
BibTeX EndNote RefMan NoteFirst NoteExpress
×
提示
您的信息不完整,为了账户安全,请先补充。
现在去补充
×
提示
您因"违规操作"
具体请查看互助需知
我知道了
×
提示
确定
请完成安全验证×
copy
已复制链接
快去分享给好友吧!
我知道了
右上角分享
点击右上角分享
0
联系我们:info@booksci.cn Book学术提供免费学术资源搜索服务,方便国内外学者检索中英文文献。致力于提供最便捷和优质的服务体验。 Copyright © 2023 布克学术 All rights reserved.
京ICP备2023020795号-1
ghs 京公网安备 11010802042870号
Book学术文献互助
Book学术文献互助群
群 号:604180095
Book学术官方微信