Splenic Infarctions in Acute Epstein-Barr Virus Infection: A Rare but Possibly Underdiagnosed Complication in Adults.

Q3 Medicine
European journal of case reports in internal medicine Pub Date : 2025-09-01 eCollection Date: 2025-01-01 DOI:10.12890/2025_005497
Carlos Tarrazo, Alba Barragán Mateos
{"title":"Splenic Infarctions in Acute Epstein-Barr Virus Infection: A Rare but Possibly Underdiagnosed Complication in Adults.","authors":"Carlos Tarrazo, Alba Barragán Mateos","doi":"10.12890/2025_005497","DOIUrl":null,"url":null,"abstract":"<p><strong>Background: </strong>Although splenomegaly is a common finding in Epstein-Barr virus (EBV) infection, splenic infarction is rarely reported and may be under-recognised, especially in adults. Neurological complications such as aseptic meningitis are also uncommon but documented. The simultaneous occurrence of both complications in the context of primary EBV infection is exceptional.</p><p><strong>Case description: </strong>We describe the case of a 56-year-old previously healthy man who presented with fever and abdominal pain. Abdominal computed tomography (CT) revealed splenomegaly and multiple wedge-shaped splenic infarcts. During admission, the patient developed transient disorientation, and cerebrospinal fluid analysis was consistent with aseptic meningitis. Serological and molecular testing confirmed acute EBV infection in blood, pharyngeal swab and cerebrospinal fluid. No underlying prothrombotic condition was identified. The patient recovered completely with supportive care, without the need for antiviral treatment or anticoagulation.</p><p><strong>Conclusions: </strong>Splenic infarction is a rare but possibly underestimated complication of primary EBV infection, particularly in adults. Awareness of this association can help avoid unnecessary investigations or treatments. In selected patients, conservative management without anticoagulation may be appropriate.</p><p><strong>Learning points: </strong>Splenic infarctions are a rare but potentially severe complication of primary Epstein-Barr virus infection.EBV-related mononucleosis in adults may present with atypical features, including neurological involvement such as aseptic meningitis.Awareness of these complications may facilitate earlier diagnosis and appropriate supportive management.</p>","PeriodicalId":11908,"journal":{"name":"European journal of case reports in internal medicine","volume":"12 9","pages":"005497"},"PeriodicalIF":0.0000,"publicationDate":"2025-09-01","publicationTypes":"Journal Article","fieldsOfStudy":null,"isOpenAccess":false,"openAccessPdf":"https://www.ncbi.nlm.nih.gov/pmc/articles/PMC12416794/pdf/","citationCount":"0","resultStr":null,"platform":"Semanticscholar","paperid":null,"PeriodicalName":"European journal of case reports in internal medicine","FirstCategoryId":"1085","ListUrlMain":"https://doi.org/10.12890/2025_005497","RegionNum":0,"RegionCategory":null,"ArticlePicture":[],"TitleCN":null,"AbstractTextCN":null,"PMCID":null,"EPubDate":"2025/1/1 0:00:00","PubModel":"eCollection","JCR":"Q3","JCRName":"Medicine","Score":null,"Total":0}
引用次数: 0

Abstract

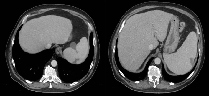
Background: Although splenomegaly is a common finding in Epstein-Barr virus (EBV) infection, splenic infarction is rarely reported and may be under-recognised, especially in adults. Neurological complications such as aseptic meningitis are also uncommon but documented. The simultaneous occurrence of both complications in the context of primary EBV infection is exceptional.

Case description: We describe the case of a 56-year-old previously healthy man who presented with fever and abdominal pain. Abdominal computed tomography (CT) revealed splenomegaly and multiple wedge-shaped splenic infarcts. During admission, the patient developed transient disorientation, and cerebrospinal fluid analysis was consistent with aseptic meningitis. Serological and molecular testing confirmed acute EBV infection in blood, pharyngeal swab and cerebrospinal fluid. No underlying prothrombotic condition was identified. The patient recovered completely with supportive care, without the need for antiviral treatment or anticoagulation.

Conclusions: Splenic infarction is a rare but possibly underestimated complication of primary EBV infection, particularly in adults. Awareness of this association can help avoid unnecessary investigations or treatments. In selected patients, conservative management without anticoagulation may be appropriate.

Learning points: Splenic infarctions are a rare but potentially severe complication of primary Epstein-Barr virus infection.EBV-related mononucleosis in adults may present with atypical features, including neurological involvement such as aseptic meningitis.Awareness of these complications may facilitate earlier diagnosis and appropriate supportive management.

Abstract Image

急性eb病毒感染的脾梗死:一种罕见但可能未被诊断的成人并发症。
背景:虽然脾肿大是eb病毒(EBV)感染的常见表现,但脾梗死很少报道,可能未被充分认识,特别是在成人中。神经系统并发症如无菌性脑膜炎也不常见,但有文献记载。在原发性EBV感染的情况下,同时发生这两种并发症是例外的。病例描述:我们描述了一个56岁以前健康的男人谁提出发烧和腹痛的情况。腹部CT显示脾肿大及多发楔状脾梗死。入院时,患者出现短暂性定向障碍,脑脊液分析符合无菌性脑膜炎。血清学和分子检测证实血液、咽拭子和脑脊液中有急性EBV感染。未发现潜在的血栓性疾病。患者在支持治疗下完全康复,不需要抗病毒治疗或抗凝治疗。结论:脾梗死是一种罕见但可能被低估的原发性EBV感染并发症,特别是在成人中。意识到这种关联有助于避免不必要的调查或治疗。在选定的患者中,不加抗凝的保守治疗可能是合适的。学习要点:脾梗死是原发性eb病毒感染的一种罕见但潜在的严重并发症。成人eb病毒相关单核细胞增多症可能表现为非典型特征,包括神经系统受累,如无菌性脑膜炎。对这些并发症的认识有助于早期诊断和适当的支持性管理。
本文章由计算机程序翻译,如有差异,请以英文原文为准。
求助全文
约1分钟内获得全文 求助全文
来源期刊
CiteScore
2.10
自引率
0.00%
发文量
166
审稿时长
8 weeks
期刊介绍: The European Journal of Case Reports in Internal Medicine is an official journal of the European Federation of Internal Medicine (EFIM), representing 35 national societies from 33 European countries. The Journal''s mission is to promote the best medical practice and innovation in the field of acute and general medicine. It also provides a forum for internal medicine doctors where they can share new approaches with the aim of improving diagnostic and clinical skills in this field. EJCRIM welcomes high-quality case reports describing unusual or complex cases that an internist may encounter in everyday practice. The cases should either demonstrate the appropriateness of a diagnostic/therapeutic approach, describe a new procedure or maneuver, or show unusual manifestations of a disease or unexpected reactions. The Journal only accepts and publishes those case reports whose learning points provide new insight and/or contribute to advancing medical knowledge both in terms of diagnostics and therapeutic approaches. Case reports of medical errors, therefore, are also welcome as long as they provide innovative measures on how to prevent them in the current practice (Instructive Errors). The Journal may also consider brief and reasoned reports on issues relevant to the practice of Internal Medicine, as well as Abstracts submitted to the scientific meetings of acknowledged medical societies.
×
引用
GB/T 7714-2015
复制
MLA
复制
APA
复制
导出至
BibTeX EndNote RefMan NoteFirst NoteExpress
×
提示
您的信息不完整,为了账户安全,请先补充。
现在去补充
×
提示
您因"违规操作"
具体请查看互助需知
我知道了
×
提示
确定
请完成安全验证×
copy
已复制链接
快去分享给好友吧!
我知道了
右上角分享
点击右上角分享
0
联系我们:info@booksci.cn Book学术提供免费学术资源搜索服务,方便国内外学者检索中英文文献。致力于提供最便捷和优质的服务体验。 Copyright © 2023 布克学术 All rights reserved.
京ICP备2023020795号-1
ghs 京公网安备 11010802042870号
Book学术文献互助
Book学术文献互助群
群 号:604180095
Book学术官方微信