A Novel Mutation of the NOTCH3 Gene in A Young Patient Presenting with an Acute Stroke: Cerebral Autosomal Dominant Arteriopathy with Subcortical Infarcts and Leukoencephalopathy (CADASIL).

Q3 Medicine
European journal of case reports in internal medicine Pub Date : 2025-08-12 eCollection Date: 2025-01-01 DOI:10.12890/2025_005297
Inas Ragab, Meave Higgins, Antonio F Caballero-Bermejo, Karl Boyle, Kai Covin, Leena Abdelmoti
{"title":"A Novel Mutation of the NOTCH3 Gene in A Young Patient Presenting with an Acute Stroke: Cerebral Autosomal Dominant Arteriopathy with Subcortical Infarcts and Leukoencephalopathy (CADASIL).","authors":"Inas Ragab, Meave Higgins, Antonio F Caballero-Bermejo, Karl Boyle, Kai Covin, Leena Abdelmoti","doi":"10.12890/2025_005297","DOIUrl":null,"url":null,"abstract":"<p><p>This report provides a detailed analysis of a singular case involving cerebral autosomal dominant arteriopathy with subcortical infarcts and leukoencephalopathy (CADASIL) in a male patient who suffered a stroke. Our investigation delves into the clinical manifestations, genetic foundations, diagnostic complexities, and prognosis associated with CADASIL. As a notable contributor to stroke occurrence in young patients, CADASIL's impact on morbidity and mortality is influenced by stroke-related complications and cognitive decline. Notably, our report highlights a novel genetic variant (C.3025T>C; p.Cys1009Arg) in the <i>NOTCH3</i> gene linked to CADASIL, shedding light on its underlying pathogenesis. Furthermore, our patient exhibited unexpected white matter changes, challenging conventional age-related norms. These findings underscore the essential role of genetic testing and emphasize the potential diversity in CADASIL's clinical presentation. Further exploration is imperative to enhance our understanding of CADASIL and refine diagnostic strategies, thereby facilitating improved patient prognosis and management.</p><p><strong>Learning points: </strong>Cerebral autosomal dominant arteriopathy with subcortical infarcts and leukoencephalopathy (CADASIL) is a significant cause of stroke in young patients, with stroke-related complications and cognitive impairment contributing to morbidity and mortality.Increasing awareness of CADASIL's clinical presentation and the availability of genetic testing has led to a rise in reported cases.CADASIL is caused by mutations in the <i>NOTCH3</i> gene, primarily involving missense substitutions and leading to cysteine residue alterations.There have been many pathogenic variants reported around the world and some families might exhibit private pathogenic variants.</p>","PeriodicalId":11908,"journal":{"name":"European journal of case reports in internal medicine","volume":"12 9","pages":"005297"},"PeriodicalIF":0.0000,"publicationDate":"2025-08-12","publicationTypes":"Journal Article","fieldsOfStudy":null,"isOpenAccess":false,"openAccessPdf":"https://www.ncbi.nlm.nih.gov/pmc/articles/PMC12416776/pdf/","citationCount":"0","resultStr":null,"platform":"Semanticscholar","paperid":null,"PeriodicalName":"European journal of case reports in internal medicine","FirstCategoryId":"1085","ListUrlMain":"https://doi.org/10.12890/2025_005297","RegionNum":0,"RegionCategory":null,"ArticlePicture":[],"TitleCN":null,"AbstractTextCN":null,"PMCID":null,"EPubDate":"2025/1/1 0:00:00","PubModel":"eCollection","JCR":"Q3","JCRName":"Medicine","Score":null,"Total":0}
引用次数: 0

Abstract

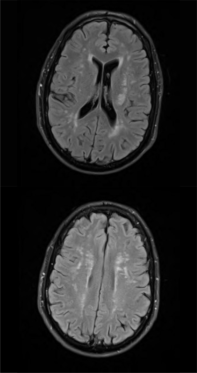
This report provides a detailed analysis of a singular case involving cerebral autosomal dominant arteriopathy with subcortical infarcts and leukoencephalopathy (CADASIL) in a male patient who suffered a stroke. Our investigation delves into the clinical manifestations, genetic foundations, diagnostic complexities, and prognosis associated with CADASIL. As a notable contributor to stroke occurrence in young patients, CADASIL's impact on morbidity and mortality is influenced by stroke-related complications and cognitive decline. Notably, our report highlights a novel genetic variant (C.3025T>C; p.Cys1009Arg) in the NOTCH3 gene linked to CADASIL, shedding light on its underlying pathogenesis. Furthermore, our patient exhibited unexpected white matter changes, challenging conventional age-related norms. These findings underscore the essential role of genetic testing and emphasize the potential diversity in CADASIL's clinical presentation. Further exploration is imperative to enhance our understanding of CADASIL and refine diagnostic strategies, thereby facilitating improved patient prognosis and management.

Learning points: Cerebral autosomal dominant arteriopathy with subcortical infarcts and leukoencephalopathy (CADASIL) is a significant cause of stroke in young patients, with stroke-related complications and cognitive impairment contributing to morbidity and mortality.Increasing awareness of CADASIL's clinical presentation and the availability of genetic testing has led to a rise in reported cases.CADASIL is caused by mutations in the NOTCH3 gene, primarily involving missense substitutions and leading to cysteine residue alterations.There have been many pathogenic variants reported around the world and some families might exhibit private pathogenic variants.

Abstract Image

急性中风年轻患者NOTCH3基因的新突变:大脑常染色体显性动脉病变伴皮层下梗死和白质脑病(CADASIL)。
本报告提供了一个详细的分析,涉及大脑常染色体显性动脉病变伴皮层下梗死和白质脑病(CADASIL)的单一病例在男性患者谁遭受中风。我们的研究深入探讨了与CADASIL相关的临床表现、遗传基础、诊断复杂性和预后。作为年轻患者脑卒中发生的重要因素,CADASIL对发病率和死亡率的影响受脑卒中相关并发症和认知能力下降的影响。值得注意的是,我们的报告强调了与CADASIL相关的NOTCH3基因中的一个新的遗传变异(C. 3025t >C; p.Cys1009Arg),揭示了其潜在的发病机制。此外,我们的患者表现出意想不到的白质变化,挑战了传统的与年龄相关的规范。这些发现强调了基因检测的重要作用,并强调了CADASIL临床表现的潜在多样性。进一步的探索对于提高我们对CADASIL的认识和完善诊断策略,从而促进改善患者的预后和管理是必要的。学习要点:大脑常染色体显性动脉病变合并皮质下梗死和白质脑病(CADASIL)是年轻患者中风的一个重要原因,卒中相关并发症和认知障碍导致发病率和死亡率。对CADASIL临床表现的认识和基因检测的可用性的提高导致了报告病例的增加。CADASIL是由NOTCH3基因突变引起的,主要涉及错义替换并导致半胱氨酸残基改变。世界范围内已经报道了许多致病变异,一些家庭可能表现出私人致病变异。
本文章由计算机程序翻译,如有差异,请以英文原文为准。
求助全文
约1分钟内获得全文 求助全文
来源期刊
CiteScore
2.10
自引率
0.00%
发文量
166
审稿时长
8 weeks
期刊介绍: The European Journal of Case Reports in Internal Medicine is an official journal of the European Federation of Internal Medicine (EFIM), representing 35 national societies from 33 European countries. The Journal''s mission is to promote the best medical practice and innovation in the field of acute and general medicine. It also provides a forum for internal medicine doctors where they can share new approaches with the aim of improving diagnostic and clinical skills in this field. EJCRIM welcomes high-quality case reports describing unusual or complex cases that an internist may encounter in everyday practice. The cases should either demonstrate the appropriateness of a diagnostic/therapeutic approach, describe a new procedure or maneuver, or show unusual manifestations of a disease or unexpected reactions. The Journal only accepts and publishes those case reports whose learning points provide new insight and/or contribute to advancing medical knowledge both in terms of diagnostics and therapeutic approaches. Case reports of medical errors, therefore, are also welcome as long as they provide innovative measures on how to prevent them in the current practice (Instructive Errors). The Journal may also consider brief and reasoned reports on issues relevant to the practice of Internal Medicine, as well as Abstracts submitted to the scientific meetings of acknowledged medical societies.
×
引用
GB/T 7714-2015
复制
MLA
复制
APA
复制
导出至
BibTeX EndNote RefMan NoteFirst NoteExpress
×
提示
您的信息不完整,为了账户安全,请先补充。
现在去补充
×
提示
您因"违规操作"
具体请查看互助需知
我知道了
×
提示
确定
请完成安全验证×
copy
已复制链接
快去分享给好友吧!
我知道了
右上角分享
点击右上角分享
0
联系我们:info@booksci.cn Book学术提供免费学术资源搜索服务,方便国内外学者检索中英文文献。致力于提供最便捷和优质的服务体验。 Copyright © 2023 布克学术 All rights reserved.
京ICP备2023020795号-1
ghs 京公网安备 11010802042870号
Book学术文献互助
Book学术文献互助群
群 号:604180095
Book学术官方微信