IgG4-Related Disease Inflamatory Pseudotumor Affecting the Sternoclavicular Joint: A Clinical Challenge.

IF 1.5 Q4 IMMUNOLOGY
Case Reports in Immunology Pub Date : 2025-08-28 eCollection Date: 2025-01-01 DOI:10.1155/crii/6543528
Orivaldo Alves Barbosa, Talita Guimarães Andrade, Sergio Saldanha Freire Simões, Andre Luis Coutinho de Araújo Macedo, Dower Frota Barroso, João Paulo Uchoa Fontenele, José Walter Correia
{"title":"IgG4-Related Disease Inflamatory Pseudotumor Affecting the Sternoclavicular Joint: A Clinical Challenge.","authors":"Orivaldo Alves Barbosa, Talita Guimarães Andrade, Sergio Saldanha Freire Simões, Andre Luis Coutinho de Araújo Macedo, Dower Frota Barroso, João Paulo Uchoa Fontenele, José Walter Correia","doi":"10.1155/crii/6543528","DOIUrl":null,"url":null,"abstract":"<p><p>IgG4-related disease (IgG4-RD) is a rare, progressive, and immune-mediated fibroinflammatory disorder that primarily affects middle-aged men and is more prevalent in Asian populations. Although extensively studied, its pathophysiology remains incompletely understood. This case report describes a 44-year-old male presenting with multiple abscesses and progressive inflammatory symptoms, ultimately diagnosed with IgG4-RD with musculoskeletal involvement. Imaging and histopathological evaluation confirmed osteolytic lesions and significant IgG4-positive plasma cell infiltration. Soft tissue tumors in IgG4-RD are exceptionally rare, further emphasizing the uniqueness of this case. The patient showed clinical improvement with corticosteroid therapy. This case highlights the importance of considering IgG4-RD in the differential diagnosis of soft tissue and bone lesions and underscores the need for a multidisciplinary diagnostic approach.</p>","PeriodicalId":42865,"journal":{"name":"Case Reports in Immunology","volume":"2025 ","pages":"6543528"},"PeriodicalIF":1.5000,"publicationDate":"2025-08-28","publicationTypes":"Journal Article","fieldsOfStudy":null,"isOpenAccess":false,"openAccessPdf":"https://www.ncbi.nlm.nih.gov/pmc/articles/PMC12411044/pdf/","citationCount":"0","resultStr":null,"platform":"Semanticscholar","paperid":null,"PeriodicalName":"Case Reports in Immunology","FirstCategoryId":"1085","ListUrlMain":"https://doi.org/10.1155/crii/6543528","RegionNum":0,"RegionCategory":null,"ArticlePicture":[],"TitleCN":null,"AbstractTextCN":null,"PMCID":null,"EPubDate":"2025/1/1 0:00:00","PubModel":"eCollection","JCR":"Q4","JCRName":"IMMUNOLOGY","Score":null,"Total":0}
引用次数: 0

Abstract

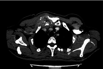
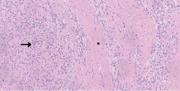
IgG4-related disease (IgG4-RD) is a rare, progressive, and immune-mediated fibroinflammatory disorder that primarily affects middle-aged men and is more prevalent in Asian populations. Although extensively studied, its pathophysiology remains incompletely understood. This case report describes a 44-year-old male presenting with multiple abscesses and progressive inflammatory symptoms, ultimately diagnosed with IgG4-RD with musculoskeletal involvement. Imaging and histopathological evaluation confirmed osteolytic lesions and significant IgG4-positive plasma cell infiltration. Soft tissue tumors in IgG4-RD are exceptionally rare, further emphasizing the uniqueness of this case. The patient showed clinical improvement with corticosteroid therapy. This case highlights the importance of considering IgG4-RD in the differential diagnosis of soft tissue and bone lesions and underscores the need for a multidisciplinary diagnostic approach.

Abstract Image

Abstract Image

Abstract Image

影响胸锁关节的igg4相关疾病炎性假瘤:一个临床挑战
igg4相关疾病(IgG4-RD)是一种罕见的进行性免疫介导的纤维炎性疾病,主要影响中年男性,在亚洲人群中更为普遍。尽管对其进行了广泛的研究,但其病理生理机制仍不完全清楚。本病例报告描述了一名44岁男性,表现为多发脓肿和进行性炎症症状,最终诊断为IgG4-RD并累及肌肉骨骼。影像学和组织病理学检查证实溶骨病变和显著的igg4阳性浆细胞浸润。IgG4-RD中的软组织肿瘤极为罕见,进一步强调了本病例的独特性。患者经皮质类固醇治疗后,临床表现有所改善。本病例强调了在软组织和骨骼病变鉴别诊断中考虑IgG4-RD的重要性,并强调了多学科诊断方法的必要性。
本文章由计算机程序翻译,如有差异,请以英文原文为准。
求助全文
约1分钟内获得全文 求助全文
来源期刊
CiteScore
1.90
自引率
0.00%
发文量
14
审稿时长
15 weeks
期刊介绍: Case Reports in Immunology is a peer-reviewed, Open Access journal that publishes case reports and case series related to allergies, immunodeficiencies, autoimmune diseases, immune disorders, cancer immunology and transplantation immunology.
×
引用
GB/T 7714-2015
复制
MLA
复制
APA
复制
导出至
BibTeX EndNote RefMan NoteFirst NoteExpress
×
提示
您的信息不完整,为了账户安全,请先补充。
现在去补充
×
提示
您因"违规操作"
具体请查看互助需知
我知道了
×
提示
确定
请完成安全验证×
copy
已复制链接
快去分享给好友吧!
我知道了
右上角分享
点击右上角分享
0
联系我们:info@booksci.cn Book学术提供免费学术资源搜索服务,方便国内外学者检索中英文文献。致力于提供最便捷和优质的服务体验。 Copyright © 2023 布克学术 All rights reserved.
京ICP备2023020795号-1
ghs 京公网安备 11010802042870号
Book学术文献互助
Book学术文献互助群
群 号:604180095
Book学术官方微信