Corticotropin-Releasing Hormone in Melanoma and Nonmelanoma Skin Cancer.

IF 2 Q3 DERMATOLOGY
Journal of Skin Cancer Pub Date : 2025-08-30 eCollection Date: 2025-01-01 DOI:10.1155/jskc/9788886
Marcel Mueller, Susanne Melchers, Iris Mueller, Jochen Utikal, Julia Krug, Astrid Schmieder
{"title":"Corticotropin-Releasing Hormone in Melanoma and Nonmelanoma Skin Cancer.","authors":"Marcel Mueller, Susanne Melchers, Iris Mueller, Jochen Utikal, Julia Krug, Astrid Schmieder","doi":"10.1155/jskc/9788886","DOIUrl":null,"url":null,"abstract":"<p><p><b>Background:</b> Corticotropin-releasing hormone (CRH) regulates immunological and cellular processes. Recently, CRH is expressed in skin cancers, where its expression appears to correlate with the degree of malignancy. <b>Objective:</b> This study correlates CRH expression in melanoma metastases with patient survival and compares the intensity of CRH expression in melanoma to that in less aggressive skin cancer entities. <b>Methods:</b> Tissue microarrays with cores from 94 melanomas and 40 melanocytic nevi and 51 slides from 41 basal cell carcinomas (BCCs) and 10 squamous cell carcinomas (SCCs) were immunohistochemically stained for CRH. The intensity of CRH expression in melanoma metastases was stratified by sex and correlated with patient survival. Furthermore, proliferation and apoptosis were assessed in CRH-stimulated A431 cells using enzyme-linked immunosorbent assays and an apoptosis detection kit. <b>Results:</b> The intensity of CRH expression was higher in primary melanomas than in melanocytic nevi. Higher CRH expression was also found in melanoma metastases from women compared to men. However, higher CRH expression was correlated with reduced overall survival only in men. Compared to melanoma, BCCs and SCCs showed weaker CRH expression, which was in line with the finding that in vitro, CRH stimulation of the A431 cells reduced their proliferative activity. <b>Conclusion:</b> CRH does not necessarily correlate with the degree of malignancy, as semimalignant cancers such as BCC show higher levels of CRH expression than SCCs. In melanoma, CRH expression in metastases may be an important prognostic factor for overall survival in men, which needs further evaluation.</p>","PeriodicalId":17172,"journal":{"name":"Journal of Skin Cancer","volume":"2025 ","pages":"9788886"},"PeriodicalIF":2.0000,"publicationDate":"2025-08-30","publicationTypes":"Journal Article","fieldsOfStudy":null,"isOpenAccess":false,"openAccessPdf":"https://www.ncbi.nlm.nih.gov/pmc/articles/PMC12413944/pdf/","citationCount":"0","resultStr":null,"platform":"Semanticscholar","paperid":null,"PeriodicalName":"Journal of Skin Cancer","FirstCategoryId":"1085","ListUrlMain":"https://doi.org/10.1155/jskc/9788886","RegionNum":0,"RegionCategory":null,"ArticlePicture":[],"TitleCN":null,"AbstractTextCN":null,"PMCID":null,"EPubDate":"2025/1/1 0:00:00","PubModel":"eCollection","JCR":"Q3","JCRName":"DERMATOLOGY","Score":null,"Total":0}
引用次数: 0

Abstract

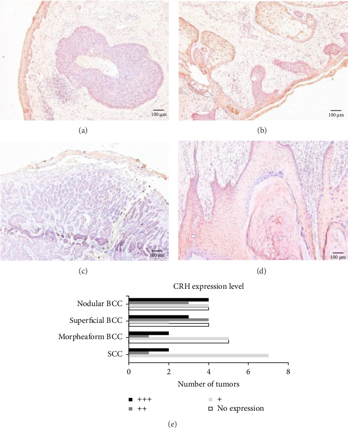
Background: Corticotropin-releasing hormone (CRH) regulates immunological and cellular processes. Recently, CRH is expressed in skin cancers, where its expression appears to correlate with the degree of malignancy. Objective: This study correlates CRH expression in melanoma metastases with patient survival and compares the intensity of CRH expression in melanoma to that in less aggressive skin cancer entities. Methods: Tissue microarrays with cores from 94 melanomas and 40 melanocytic nevi and 51 slides from 41 basal cell carcinomas (BCCs) and 10 squamous cell carcinomas (SCCs) were immunohistochemically stained for CRH. The intensity of CRH expression in melanoma metastases was stratified by sex and correlated with patient survival. Furthermore, proliferation and apoptosis were assessed in CRH-stimulated A431 cells using enzyme-linked immunosorbent assays and an apoptosis detection kit. Results: The intensity of CRH expression was higher in primary melanomas than in melanocytic nevi. Higher CRH expression was also found in melanoma metastases from women compared to men. However, higher CRH expression was correlated with reduced overall survival only in men. Compared to melanoma, BCCs and SCCs showed weaker CRH expression, which was in line with the finding that in vitro, CRH stimulation of the A431 cells reduced their proliferative activity. Conclusion: CRH does not necessarily correlate with the degree of malignancy, as semimalignant cancers such as BCC show higher levels of CRH expression than SCCs. In melanoma, CRH expression in metastases may be an important prognostic factor for overall survival in men, which needs further evaluation.

Abstract Image

Abstract Image

Abstract Image

促肾上腺皮质激素释放激素在黑色素瘤和非黑色素瘤皮肤癌中的作用。
背景:促肾上腺皮质激素释放激素(CRH)调节免疫和细胞过程。最近,CRH在皮肤癌中表达,其表达似乎与恶性程度相关。目的:本研究将黑色素瘤转移中CRH的表达与患者生存相关,并比较黑色素瘤与侵袭性较低的皮肤癌实体中CRH的表达强度。方法:对94例黑素瘤和40例黑素细胞痣的组织芯片和41例基底细胞癌(bcc)和10例鳞状细胞癌(SCCs)的51例载玻片进行CRH免疫组织化学染色。CRH在黑色素瘤转移中的表达强度按性别分层,并与患者生存率相关。此外,采用酶联免疫吸附法和细胞凋亡检测试剂盒评估crh刺激的A431细胞的增殖和凋亡。结果:CRH在原发性黑色素瘤中的表达强度高于黑素细胞痣。与男性相比,女性黑色素瘤转移中CRH的表达也更高。然而,只有在男性中,较高的CRH表达与总生存率降低相关。与黑色素瘤相比,bcc和SCCs的CRH表达较弱,这与体外CRH刺激A431细胞降低其增殖活性的发现一致。结论:CRH与恶性程度并不一定相关,因为半恶性肿瘤如BCC的CRH表达水平高于SCCs。在黑色素瘤中,转移瘤中的CRH表达可能是男性总生存率的重要预后因素,需要进一步评估。
本文章由计算机程序翻译,如有差异,请以英文原文为准。
求助全文
约1分钟内获得全文 求助全文
来源期刊
Journal of Skin Cancer
Journal of Skin Cancer DERMATOLOGY-
CiteScore
2.30
自引率
18.20%
发文量
12
审稿时长
21 weeks
期刊介绍: Journal of Skin Cancer is a peer-reviewed, Open Access journal that publishes clinical and translational research on the detection, diagnosis, prevention, and treatment of skin malignancies. The journal encourages the submission of original research articles, review articles, and clinical studies related to pathology, prognostic indicators and biomarkers, novel therapies, as well as drug sensitivity and resistance.
×
引用
GB/T 7714-2015
复制
MLA
复制
APA
复制
导出至
BibTeX EndNote RefMan NoteFirst NoteExpress
×
提示
您的信息不完整,为了账户安全,请先补充。
现在去补充
×
提示
您因"违规操作"
具体请查看互助需知
我知道了
×
提示
确定
请完成安全验证×
copy
已复制链接
快去分享给好友吧!
我知道了
右上角分享
点击右上角分享
0
联系我们:info@booksci.cn Book学术提供免费学术资源搜索服务,方便国内外学者检索中英文文献。致力于提供最便捷和优质的服务体验。 Copyright © 2023 布克学术 All rights reserved.
京ICP备2023020795号-1
ghs 京公网安备 11010802042870号
Book学术文献互助
Book学术文献互助群
群 号:604180095
Book学术官方微信