Mycobacterium Intracellulare Infection of the Metacarpophalangeal Joint in a Patient With Rheumatoid Arthritis: A Case Report.

Case Reports in Rheumatology Pub Date : 2025-08-28 eCollection Date: 2025-01-01 DOI:10.1155/crrh/1818066
Ryosuke Hanaoka
{"title":"<i>Mycobacterium Intracellulare</i> Infection of the Metacarpophalangeal Joint in a Patient With Rheumatoid Arthritis: A Case Report.","authors":"Ryosuke Hanaoka","doi":"10.1155/crrh/1818066","DOIUrl":null,"url":null,"abstract":"<p><p><b>Background:</b> Nontuberculous <i>Mycobacterium</i> (NTM) infections affecting musculoskeletal structures are rare, particularly in patients with well-controlled rheumatoid arthritis (RA). This case is reported to highlight the potential risk of focal tenosynovitis due to <i>Mycobacterium intracellulare</i> following intra-articular glucocorticoid injection. <b>Case presentation:</b> A 79-year-old man with well-controlled RA developed tenosynovitis with bone destruction in the right index finger metacarpophalangeal joint following a single intra-articular injection of triamcinolone acetonide. Despite antibiotic treatment, the condition progressively worsened. Synovectomy revealed <i>Mycobacterium intracellulare</i> infection involving both flexor tendons, joint space, and bone marrow. The patient regularly engaged in gardening activities without protective gloves. <b>Conclusion:</b> This case highlights the importance of considering NTM infection in the differential diagnosis of persistent monoarthritis that worsens after intra-articular glucocorticoid injection, especially in patients with exposure risk factors such as gardening.</p>","PeriodicalId":9622,"journal":{"name":"Case Reports in Rheumatology","volume":"2025 ","pages":"1818066"},"PeriodicalIF":0.0000,"publicationDate":"2025-08-28","publicationTypes":"Journal Article","fieldsOfStudy":null,"isOpenAccess":false,"openAccessPdf":"https://www.ncbi.nlm.nih.gov/pmc/articles/PMC12411057/pdf/","citationCount":"0","resultStr":null,"platform":"Semanticscholar","paperid":null,"PeriodicalName":"Case Reports in Rheumatology","FirstCategoryId":"1085","ListUrlMain":"https://doi.org/10.1155/crrh/1818066","RegionNum":0,"RegionCategory":null,"ArticlePicture":[],"TitleCN":null,"AbstractTextCN":null,"PMCID":null,"EPubDate":"2025/1/1 0:00:00","PubModel":"eCollection","JCR":"","JCRName":"","Score":null,"Total":0}
引用次数: 0

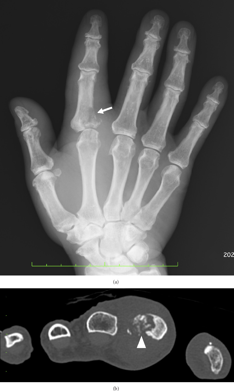
Abstract

Background: Nontuberculous Mycobacterium (NTM) infections affecting musculoskeletal structures are rare, particularly in patients with well-controlled rheumatoid arthritis (RA). This case is reported to highlight the potential risk of focal tenosynovitis due to Mycobacterium intracellulare following intra-articular glucocorticoid injection. Case presentation: A 79-year-old man with well-controlled RA developed tenosynovitis with bone destruction in the right index finger metacarpophalangeal joint following a single intra-articular injection of triamcinolone acetonide. Despite antibiotic treatment, the condition progressively worsened. Synovectomy revealed Mycobacterium intracellulare infection involving both flexor tendons, joint space, and bone marrow. The patient regularly engaged in gardening activities without protective gloves. Conclusion: This case highlights the importance of considering NTM infection in the differential diagnosis of persistent monoarthritis that worsens after intra-articular glucocorticoid injection, especially in patients with exposure risk factors such as gardening.

Abstract Image

Abstract Image

Abstract Image

类风湿性关节炎患者掌指关节细胞内分枝杆菌感染1例。
背景:影响肌肉骨骼结构的非结核性分枝杆菌(NTM)感染是罕见的,特别是在控制良好的类风湿性关节炎(RA)患者中。本病例报告强调了关节内糖皮质激素注射后细胞内分枝杆菌引起局灶性腱鞘炎的潜在风险。病例介绍:79岁男性,控制良好的类风湿性关节炎,在单次关节内注射曲安奈德后,在右手食指掌指关节发生腱鞘炎伴骨破坏。尽管进行了抗生素治疗,病情仍逐渐恶化。滑膜切除术显示细胞内分枝杆菌感染,包括屈肌腱、关节间隙和骨髓。患者定期从事园艺活动时未戴防护手套。结论:本病例强调了在关节内糖皮质激素注射后病情恶化的持续性单关节炎鉴别诊断中考虑NTM感染的重要性,特别是在有园艺等暴露危险因素的患者中。
本文章由计算机程序翻译,如有差异,请以英文原文为准。
求助全文
约1分钟内获得全文 求助全文
来源期刊
自引率
0.00%
发文量
35
审稿时长
12 weeks
×
引用
GB/T 7714-2015
复制
MLA
复制
APA
复制
导出至
BibTeX EndNote RefMan NoteFirst NoteExpress
×
提示
您的信息不完整,为了账户安全,请先补充。
现在去补充
×
提示
您因"违规操作"
具体请查看互助需知
我知道了
×
提示
确定
请完成安全验证×
copy
已复制链接
快去分享给好友吧!
我知道了
右上角分享
点击右上角分享
0
联系我们:info@booksci.cn Book学术提供免费学术资源搜索服务,方便国内外学者检索中英文文献。致力于提供最便捷和优质的服务体验。 Copyright © 2023 布克学术 All rights reserved.
京ICP备2023020795号-1
ghs 京公网安备 11010802042870号
Book学术文献互助
Book学术文献互助群
群 号:604180095
Book学术官方微信
小红书