Heterotopic pregnancy: a case report about triplets.

IF 0.5 Q4 RADIOLOGY, NUCLEAR MEDICINE & MEDICAL IMAGING
BJR Case Reports Pub Date : 2025-07-28 eCollection Date: 2025-09-01 DOI:10.1093/bjrcr/uaaf040
Sara Cherkaoui, Lina Belkouchi, Badra Idrissi, Siham El Haddad, Nazik Allali, Latifa Chat
{"title":"Heterotopic pregnancy: a case report about triplets.","authors":"Sara Cherkaoui, Lina Belkouchi, Badra Idrissi, Siham El Haddad, Nazik Allali, Latifa Chat","doi":"10.1093/bjrcr/uaaf040","DOIUrl":null,"url":null,"abstract":"<p><p>Heterotopic pregnancy refers to the concomitant presence of an intrauterine pregnancy and an ectopic pregnancy (EP). It is rare and more frequently found in women who have undergone medically assisted procreation. An abdominal location of the ectopic gestational sac is even less common, accounting for 1.4% of all ectopic pregnancies, conferring a high risk of morbidity and mortality. Diagnosis can sometimes be difficult, and pelvic ultrasound alone may not be sufficient. Additional pelvic MRI may be useful to confirm the diagnosis with certainty. Heterotopic pregnancy requires urgent management and is mainly treated surgically, although there are certain situations where medical treatment may be indicated. We report the case of a 29-year-old patient admitted with pelvic pain and mild metrorrhagia, with an elevated beta-hCG level suggesting the diagnosis of an EP, which was confirmed by ultrasound and MRI, revealing the presence of 3 foetuses: 1 was developing in the abdominal cavity while the other 2 were normally present in the uterine cavity.</p>","PeriodicalId":45216,"journal":{"name":"BJR Case Reports","volume":"11 5","pages":"uaaf040"},"PeriodicalIF":0.5000,"publicationDate":"2025-07-28","publicationTypes":"Journal Article","fieldsOfStudy":null,"isOpenAccess":false,"openAccessPdf":"https://www.ncbi.nlm.nih.gov/pmc/articles/PMC12410920/pdf/","citationCount":"0","resultStr":null,"platform":"Semanticscholar","paperid":null,"PeriodicalName":"BJR Case Reports","FirstCategoryId":"1085","ListUrlMain":"https://doi.org/10.1093/bjrcr/uaaf040","RegionNum":0,"RegionCategory":null,"ArticlePicture":[],"TitleCN":null,"AbstractTextCN":null,"PMCID":null,"EPubDate":"2025/9/1 0:00:00","PubModel":"eCollection","JCR":"Q4","JCRName":"RADIOLOGY, NUCLEAR MEDICINE & MEDICAL IMAGING","Score":null,"Total":0}
引用次数: 0

Abstract

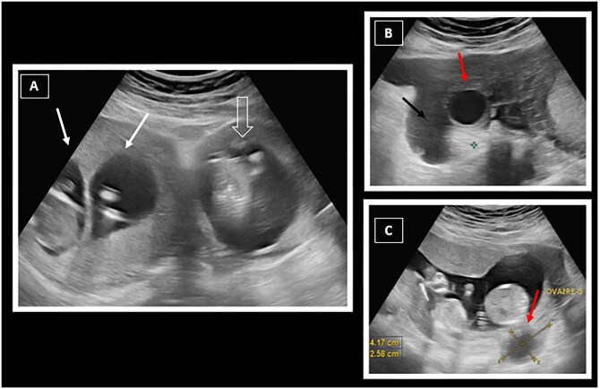
Heterotopic pregnancy refers to the concomitant presence of an intrauterine pregnancy and an ectopic pregnancy (EP). It is rare and more frequently found in women who have undergone medically assisted procreation. An abdominal location of the ectopic gestational sac is even less common, accounting for 1.4% of all ectopic pregnancies, conferring a high risk of morbidity and mortality. Diagnosis can sometimes be difficult, and pelvic ultrasound alone may not be sufficient. Additional pelvic MRI may be useful to confirm the diagnosis with certainty. Heterotopic pregnancy requires urgent management and is mainly treated surgically, although there are certain situations where medical treatment may be indicated. We report the case of a 29-year-old patient admitted with pelvic pain and mild metrorrhagia, with an elevated beta-hCG level suggesting the diagnosis of an EP, which was confirmed by ultrasound and MRI, revealing the presence of 3 foetuses: 1 was developing in the abdominal cavity while the other 2 were normally present in the uterine cavity.

Abstract Image

Abstract Image

Abstract Image

异位妊娠:三胞胎一例报告。
异位妊娠是指同时存在宫内妊娠和异位妊娠(EP)。这是罕见的,在接受医疗辅助生育的妇女中更常见。异位妊娠囊位于腹部更不常见,占所有异位妊娠的1.4%,具有很高的发病率和死亡率。诊断有时是困难的,单独的盆腔超声可能是不够的。额外的骨盆MRI可能有助于确定诊断。异位妊娠需要紧急处理,主要是手术治疗,尽管在某些情况下可能需要药物治疗。我们报告一例29岁的患者,因盆腔疼痛和轻微的子宫出血而入院,经超声和MRI证实,β - hcg水平升高提示EP的诊断,显示有3个胎儿:1个在腹腔内发育,另外2个在子宫内正常存在。
本文章由计算机程序翻译,如有差异,请以英文原文为准。
求助全文
约1分钟内获得全文 求助全文
来源期刊
BJR Case Reports
BJR Case Reports RADIOLOGY, NUCLEAR MEDICINE & MEDICAL IMAGING-
自引率
0.00%
发文量
77
审稿时长
11 weeks
×
引用
GB/T 7714-2015
复制
MLA
复制
APA
复制
导出至
BibTeX EndNote RefMan NoteFirst NoteExpress
×
提示
您的信息不完整,为了账户安全,请先补充。
现在去补充
×
提示
您因"违规操作"
具体请查看互助需知
我知道了
×
提示
确定
请完成安全验证×
copy
已复制链接
快去分享给好友吧!
我知道了
右上角分享
点击右上角分享
0
联系我们:info@booksci.cn Book学术提供免费学术资源搜索服务,方便国内外学者检索中英文文献。致力于提供最便捷和优质的服务体验。 Copyright © 2023 布克学术 All rights reserved.
京ICP备2023020795号-1
ghs 京公网安备 11010802042870号
Book学术文献互助
Book学术文献互助群
群 号:604180095
Book学术官方微信