Aneurysmal bone cyst of the talus: a case report of local recurrence treated with adjuvant therapy.

IF 0.5 Q4 RADIOLOGY, NUCLEAR MEDICINE & MEDICAL IMAGING
BJR Case Reports Pub Date : 2025-07-28 eCollection Date: 2025-09-01 DOI:10.1093/bjrcr/uaaf041
Yasutaka Takagi, Hiroshi Yamada, Hidehumi Ebara, Hiroyuki Hayashi, Hiroyuki Inatani, Yuta Nakamura, Koichiro Ae, Aki Nakanami, Tetsutaro Yahata, Hiroyuki Tsuchiya
{"title":"Aneurysmal bone cyst of the talus: a case report of local recurrence treated with adjuvant therapy.","authors":"Yasutaka Takagi, Hiroshi Yamada, Hidehumi Ebara, Hiroyuki Hayashi, Hiroyuki Inatani, Yuta Nakamura, Koichiro Ae, Aki Nakanami, Tetsutaro Yahata, Hiroyuki Tsuchiya","doi":"10.1093/bjrcr/uaaf041","DOIUrl":null,"url":null,"abstract":"<p><p>Aneurysmal bone cyst (ABC) is a locally destructive benign tumour-like condition of the bones with blood-filled cystic cavities. The talus is an extremely rare site for an ABC, with <20 reported cases till 2012 based on a PubMed database search. Aneurysmal bone cyst recurrence in the talus after curettage and bone grafting is extremely rare. To the best of our knowledge, no detailed reports of resection and adjuvant therapy with artificial bone packing of recurrent ABC of the talus have been published. We report a case of ABC in the talus of a 9-year-old boy. As the initial surgery consisted of only lesion resection and artificial bone (beta-tricalcium phosphate [TCP]) packing, local recurrence was diagnosed. Reoperation was performed 5 months after the initial surgery. The recurrent lesion was resected using a curette, and the bone cavity septum was shaved with a high-speed burr. Phenol-ethanol ablation was used as an adjuvant with artificial bone (beta-TCP) packing to prevent recurrence. No local recurrence was observed 36 months after the reoperation. This extremely rare case of resection and adjuvant therapy with artificial bone packing of recurrent ABC of the talus highlights the need for careful observation to assess the progression of ankle joint osteoarthrosis.</p>","PeriodicalId":45216,"journal":{"name":"BJR Case Reports","volume":"11 5","pages":"uaaf041"},"PeriodicalIF":0.5000,"publicationDate":"2025-07-28","publicationTypes":"Journal Article","fieldsOfStudy":null,"isOpenAccess":false,"openAccessPdf":"https://www.ncbi.nlm.nih.gov/pmc/articles/PMC12404704/pdf/","citationCount":"0","resultStr":null,"platform":"Semanticscholar","paperid":null,"PeriodicalName":"BJR Case Reports","FirstCategoryId":"1085","ListUrlMain":"https://doi.org/10.1093/bjrcr/uaaf041","RegionNum":0,"RegionCategory":null,"ArticlePicture":[],"TitleCN":null,"AbstractTextCN":null,"PMCID":null,"EPubDate":"2025/9/1 0:00:00","PubModel":"eCollection","JCR":"Q4","JCRName":"RADIOLOGY, NUCLEAR MEDICINE & MEDICAL IMAGING","Score":null,"Total":0}
引用次数: 0

Abstract

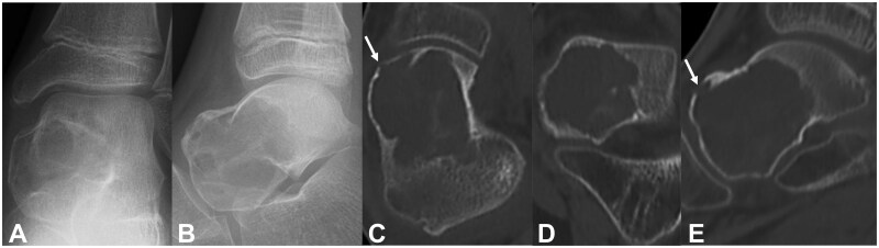
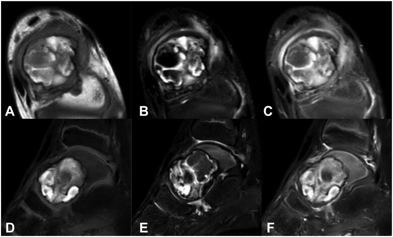
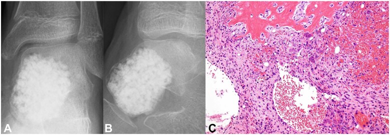
Aneurysmal bone cyst (ABC) is a locally destructive benign tumour-like condition of the bones with blood-filled cystic cavities. The talus is an extremely rare site for an ABC, with <20 reported cases till 2012 based on a PubMed database search. Aneurysmal bone cyst recurrence in the talus after curettage and bone grafting is extremely rare. To the best of our knowledge, no detailed reports of resection and adjuvant therapy with artificial bone packing of recurrent ABC of the talus have been published. We report a case of ABC in the talus of a 9-year-old boy. As the initial surgery consisted of only lesion resection and artificial bone (beta-tricalcium phosphate [TCP]) packing, local recurrence was diagnosed. Reoperation was performed 5 months after the initial surgery. The recurrent lesion was resected using a curette, and the bone cavity septum was shaved with a high-speed burr. Phenol-ethanol ablation was used as an adjuvant with artificial bone (beta-TCP) packing to prevent recurrence. No local recurrence was observed 36 months after the reoperation. This extremely rare case of resection and adjuvant therapy with artificial bone packing of recurrent ABC of the talus highlights the need for careful observation to assess the progression of ankle joint osteoarthrosis.

Abstract Image

Abstract Image

Abstract Image

距骨动脉瘤性骨囊肿:辅助治疗局部复发1例。
动脉瘤性骨囊肿(ABC)是一种局部破坏性的良性肿瘤样骨骼疾病,伴有充满血液的囊性腔。距骨是ABC极为罕见的部位
本文章由计算机程序翻译,如有差异,请以英文原文为准。
求助全文
约1分钟内获得全文 求助全文
来源期刊
BJR Case Reports
BJR Case Reports RADIOLOGY, NUCLEAR MEDICINE & MEDICAL IMAGING-
自引率
0.00%
发文量
77
审稿时长
11 weeks
×
引用
GB/T 7714-2015
复制
MLA
复制
APA
复制
导出至
BibTeX EndNote RefMan NoteFirst NoteExpress
×
提示
您的信息不完整,为了账户安全,请先补充。
现在去补充
×
提示
您因"违规操作"
具体请查看互助需知
我知道了
×
提示
确定
请完成安全验证×
copy
已复制链接
快去分享给好友吧!
我知道了
右上角分享
点击右上角分享
0
联系我们:info@booksci.cn Book学术提供免费学术资源搜索服务,方便国内外学者检索中英文文献。致力于提供最便捷和优质的服务体验。 Copyright © 2023 布克学术 All rights reserved.
京ICP备2023020795号-1
ghs 京公网安备 11010802042870号
Book学术文献互助
Book学术文献互助群
群 号:604180095
Book学术官方微信