Vertical Gaze Palsy in Medial Thalamic Infarction Associated with Vein of Galen Malformation: A Case Report.

Asian journal of neurosurgery Pub Date : 2025-05-21 eCollection Date: 2025-09-01 DOI:10.1055/s-0045-1809325
Leve Joseph Sebastian, Biswamohan Mishra, Deepti Vibha, Manoj Kumar Nayak
{"title":"Vertical Gaze Palsy in Medial Thalamic Infarction Associated with Vein of Galen Malformation: A Case Report.","authors":"Leve Joseph Sebastian, Biswamohan Mishra, Deepti Vibha, Manoj Kumar Nayak","doi":"10.1055/s-0045-1809325","DOIUrl":null,"url":null,"abstract":"<p><p>The thalamus, a gray matter structure, is a crucial relay for various afferent and efferent pathways in the brain. It receives its primary blood supply from the thalamoperforating and thalamogeniculate branches of the posterior cerebral arteries. Damage to the thalamus can lead to classical sensorimotor and amnestic syndromes, as well as neuro-ophthalmological manifestations, including vertical gaze palsy (VGP), pseudo-abducens palsy, skew deviation, cerebral ptosis, and Horner's syndrome. While most cases of VGP are self-limiting, some can persist, significantly affecting daily life. This report describes a case involving a 33-year-old man with a vein of Galen malformation who underwent embolization and subsequently developed VGP in the postoperative period. This complication was attributed to a medial thalamic infarct. Notably, the patient experienced spontaneous resolution of the gaze palsy within 3 months.</p>","PeriodicalId":94300,"journal":{"name":"Asian journal of neurosurgery","volume":"20 3","pages":"656-659"},"PeriodicalIF":0.0000,"publicationDate":"2025-05-21","publicationTypes":"Journal Article","fieldsOfStudy":null,"isOpenAccess":false,"openAccessPdf":"https://www.ncbi.nlm.nih.gov/pmc/articles/PMC12370326/pdf/","citationCount":"0","resultStr":null,"platform":"Semanticscholar","paperid":null,"PeriodicalName":"Asian journal of neurosurgery","FirstCategoryId":"1085","ListUrlMain":"https://doi.org/10.1055/s-0045-1809325","RegionNum":0,"RegionCategory":null,"ArticlePicture":[],"TitleCN":null,"AbstractTextCN":null,"PMCID":null,"EPubDate":"2025/9/1 0:00:00","PubModel":"eCollection","JCR":"","JCRName":"","Score":null,"Total":0}
引用次数: 0

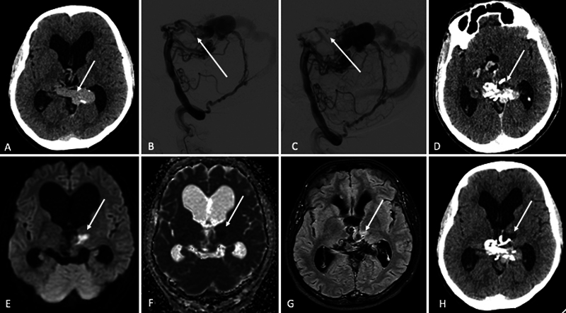
Abstract

The thalamus, a gray matter structure, is a crucial relay for various afferent and efferent pathways in the brain. It receives its primary blood supply from the thalamoperforating and thalamogeniculate branches of the posterior cerebral arteries. Damage to the thalamus can lead to classical sensorimotor and amnestic syndromes, as well as neuro-ophthalmological manifestations, including vertical gaze palsy (VGP), pseudo-abducens palsy, skew deviation, cerebral ptosis, and Horner's syndrome. While most cases of VGP are self-limiting, some can persist, significantly affecting daily life. This report describes a case involving a 33-year-old man with a vein of Galen malformation who underwent embolization and subsequently developed VGP in the postoperative period. This complication was attributed to a medial thalamic infarct. Notably, the patient experienced spontaneous resolution of the gaze palsy within 3 months.

Abstract Image

内侧丘脑梗死伴盖伦静脉畸形的垂直凝视性麻痹1例。
丘脑是一种灰质结构,是大脑中各种传入和传出通路的重要中继。它的主要血液供应来自大脑后动脉的丘脑操作分支和丘脑突分支。丘脑损伤可导致经典的感觉运动综合征和遗忘综合征,以及神经眼科表现,包括垂直凝视麻痹(VGP)、假性外展麻痹、歪斜、脑下垂和霍纳综合征。虽然大多数VGP病例是自限性的,但有些病例会持续存在,严重影响日常生活。本报告描述了一例33岁男性Galen静脉畸形患者,他接受了栓塞治疗,随后在术后发生了VGP。该并发症归因于内侧丘脑梗死。值得注意的是,患者在3个月内出现了凝视麻痹的自发消退。
本文章由计算机程序翻译,如有差异,请以英文原文为准。
求助全文
约1分钟内获得全文 求助全文
来源期刊
自引率
0.00%
发文量
0
×
引用
GB/T 7714-2015
复制
MLA
复制
APA
复制
导出至
BibTeX EndNote RefMan NoteFirst NoteExpress
×
提示
您的信息不完整,为了账户安全,请先补充。
现在去补充
×
提示
您因"违规操作"
具体请查看互助需知
我知道了
×
提示
确定
请完成安全验证×
copy
已复制链接
快去分享给好友吧!
我知道了
右上角分享
点击右上角分享
0
联系我们:info@booksci.cn Book学术提供免费学术资源搜索服务,方便国内外学者检索中英文文献。致力于提供最便捷和优质的服务体验。 Copyright © 2023 布克学术 All rights reserved.
京ICP备2023020795号-1
ghs 京公网安备 11010802042870号
Book学术文献互助
Book学术文献互助群
群 号:604180095
Book学术官方微信