A case of ruptured distal anterior inferior cerebellar artery aneurysm treated by intra-aneurysmal embolization.

Surgical neurology international Pub Date : 2025-07-11 eCollection Date: 2025-01-01 DOI:10.25259/SNI_400_2025
Takao Sasaki, Hidefumi Tabata, Hana Tobishima, Takahiro Morita, Kosuke Katayama, Atsushi Saito
{"title":"A case of ruptured distal anterior inferior cerebellar artery aneurysm treated by intra-aneurysmal embolization.","authors":"Takao Sasaki, Hidefumi Tabata, Hana Tobishima, Takahiro Morita, Kosuke Katayama, Atsushi Saito","doi":"10.25259/SNI_400_2025","DOIUrl":null,"url":null,"abstract":"<p><strong>Background: </strong>Endovascular treatment for true anterior inferior cerebellar artery (AICA) aneurysm is challenging for preserving the AICA trunk. Ischemic tolerance of the sacrifice of AICA is controversial. We report a rare case of ruptured distal AICA aneurysm treated by intra-aneurysmal embolization preserving the AICA trunk.</p><p><strong>Case description: </strong>A 77-year-old woman presented with a sudden headache and computed tomography showed a subarachnoid hemorrhage predominant in the left cerebellopontine angle. Cerebral angiography revealed a saccular aneurysm in the anterior pontine segment of the left AICA. Coil embolization underwent preserving the parent artery. There is no recanalization of the aneurysm at 26 months postoperatively. In this case, hemodynamic stress was suggested to be involved in the development of the aneurysm.</p><p><strong>Conclusion: </strong>For the patients in the old or at high risk of ischemia, intra-aneurysmal embolization should be tried as the first-line treatment.</p>","PeriodicalId":94217,"journal":{"name":"Surgical neurology international","volume":"16 ","pages":"284"},"PeriodicalIF":0.0000,"publicationDate":"2025-07-11","publicationTypes":"Journal Article","fieldsOfStudy":null,"isOpenAccess":false,"openAccessPdf":"https://www.ncbi.nlm.nih.gov/pmc/articles/PMC12361650/pdf/","citationCount":"0","resultStr":null,"platform":"Semanticscholar","paperid":null,"PeriodicalName":"Surgical neurology international","FirstCategoryId":"1085","ListUrlMain":"https://doi.org/10.25259/SNI_400_2025","RegionNum":0,"RegionCategory":null,"ArticlePicture":[],"TitleCN":null,"AbstractTextCN":null,"PMCID":null,"EPubDate":"2025/1/1 0:00:00","PubModel":"eCollection","JCR":"","JCRName":"","Score":null,"Total":0}
引用次数: 0

Abstract

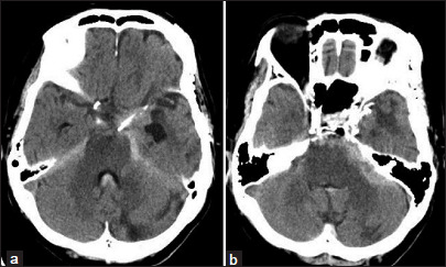
Background: Endovascular treatment for true anterior inferior cerebellar artery (AICA) aneurysm is challenging for preserving the AICA trunk. Ischemic tolerance of the sacrifice of AICA is controversial. We report a rare case of ruptured distal AICA aneurysm treated by intra-aneurysmal embolization preserving the AICA trunk.

Case description: A 77-year-old woman presented with a sudden headache and computed tomography showed a subarachnoid hemorrhage predominant in the left cerebellopontine angle. Cerebral angiography revealed a saccular aneurysm in the anterior pontine segment of the left AICA. Coil embolization underwent preserving the parent artery. There is no recanalization of the aneurysm at 26 months postoperatively. In this case, hemodynamic stress was suggested to be involved in the development of the aneurysm.

Conclusion: For the patients in the old or at high risk of ischemia, intra-aneurysmal embolization should be tried as the first-line treatment.

Abstract Image

Abstract Image

Abstract Image

动脉瘤内栓塞治疗小脑前下远端动脉瘤破裂1例。
背景:对小脑前下动脉(AICA)动脉瘤进行血管内治疗对保留AICA干具有挑战性。AICA牺牲的缺血耐受性存在争议。我们报告一例罕见的远端动脉瘤破裂的病例,动脉瘤内栓塞术保留了动脉瘤主干。病例描述:一名77岁女性突发头痛,计算机断层扫描显示蛛网膜下腔出血,主要发生在左脑桥小脑角。脑血管造影显示一囊状动脉瘤在左心房前段的桥状动脉瘤。采用线圈栓塞术保存母动脉。术后26个月动脉瘤未再通。在这种情况下,血流动力学应力被认为参与了动脉瘤的发展。结论:对于高龄或缺血高危患者,应尝试动脉瘤内栓塞作为一线治疗。
本文章由计算机程序翻译,如有差异,请以英文原文为准。
求助全文
约1分钟内获得全文 求助全文
来源期刊
自引率
0.00%
发文量
0
×
引用
GB/T 7714-2015
复制
MLA
复制
APA
复制
导出至
BibTeX EndNote RefMan NoteFirst NoteExpress
×
提示
您的信息不完整,为了账户安全,请先补充。
现在去补充
×
提示
您因"违规操作"
具体请查看互助需知
我知道了
×
提示
确定
请完成安全验证×
copy
已复制链接
快去分享给好友吧!
我知道了
右上角分享
点击右上角分享
0
联系我们:info@booksci.cn Book学术提供免费学术资源搜索服务,方便国内外学者检索中英文文献。致力于提供最便捷和优质的服务体验。 Copyright © 2023 布克学术 All rights reserved.
京ICP备2023020795号-1
ghs 京公网安备 11010802042870号
Book学术文献互助
Book学术文献互助群
群 号:604180095
Book学术官方微信