Recovery of ocular motility after surgical intervention in orbital roof fracture-induced cranial nerve injuries.

Surgical neurology international Pub Date : 2025-07-18 eCollection Date: 2025-01-01 DOI:10.25259/SNI_271_2025
Bob Irfan Syahputra, Farid Yudoyono, Sevline Estethia Ompusunggu, Helza Efriani, Dhany Febriantara, Ary Setio Hartanto
{"title":"Recovery of ocular motility after surgical intervention in orbital roof fracture-induced cranial nerve injuries.","authors":"Bob Irfan Syahputra, Farid Yudoyono, Sevline Estethia Ompusunggu, Helza Efriani, Dhany Febriantara, Ary Setio Hartanto","doi":"10.25259/SNI_271_2025","DOIUrl":null,"url":null,"abstract":"<p><strong>Background: </strong>Orbital roof fractures can lead to cranial nerve injuries, particularly affecting the oculomotor nerve (cranial nerve [CN] III) and abducens nerve (CN VI), resulting in impaired ocular motility. This case report discusses a patient with an orbital roof fracture causing CN III and CN VI paresis, who subsequently underwent surgical intervention and experienced significant improvement in ocular function.</p><p><strong>Case description: </strong>A 25-year-old male experienced a depressed orbital roof fracture resulting from a motorcycle accident. Postaccident, he reported double vision accompanied by restricted eye movement. Surgical intervention was performed to reconstruct the bone fragments compressing the ocular muscles. Postoperative day (POD) 1, the patient exhibited improved eye movement, and the double vision had resolved. POD 6 complete recovery.</p><p><strong>Conclusion: </strong>Timely and effective surgical intervention for orbital roof fractures involving cranial nerves can lead to significant improvements in ocular function, including resolution of diplopia and restoration of eye movement. This case underscores the importance of prompt evaluation and management of orbital injuries to prevent permanent neurological deficits.</p>","PeriodicalId":94217,"journal":{"name":"Surgical neurology international","volume":"16 ","pages":"296"},"PeriodicalIF":0.0000,"publicationDate":"2025-07-18","publicationTypes":"Journal Article","fieldsOfStudy":null,"isOpenAccess":false,"openAccessPdf":"https://www.ncbi.nlm.nih.gov/pmc/articles/PMC12361657/pdf/","citationCount":"0","resultStr":null,"platform":"Semanticscholar","paperid":null,"PeriodicalName":"Surgical neurology international","FirstCategoryId":"1085","ListUrlMain":"https://doi.org/10.25259/SNI_271_2025","RegionNum":0,"RegionCategory":null,"ArticlePicture":[],"TitleCN":null,"AbstractTextCN":null,"PMCID":null,"EPubDate":"2025/1/1 0:00:00","PubModel":"eCollection","JCR":"","JCRName":"","Score":null,"Total":0}
引用次数: 0

Abstract

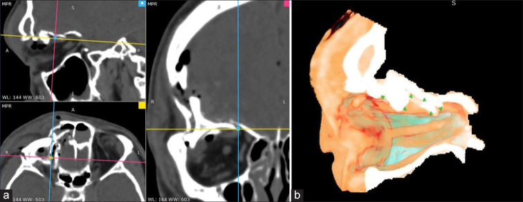
Background: Orbital roof fractures can lead to cranial nerve injuries, particularly affecting the oculomotor nerve (cranial nerve [CN] III) and abducens nerve (CN VI), resulting in impaired ocular motility. This case report discusses a patient with an orbital roof fracture causing CN III and CN VI paresis, who subsequently underwent surgical intervention and experienced significant improvement in ocular function.

Case description: A 25-year-old male experienced a depressed orbital roof fracture resulting from a motorcycle accident. Postaccident, he reported double vision accompanied by restricted eye movement. Surgical intervention was performed to reconstruct the bone fragments compressing the ocular muscles. Postoperative day (POD) 1, the patient exhibited improved eye movement, and the double vision had resolved. POD 6 complete recovery.

Conclusion: Timely and effective surgical intervention for orbital roof fractures involving cranial nerves can lead to significant improvements in ocular function, including resolution of diplopia and restoration of eye movement. This case underscores the importance of prompt evaluation and management of orbital injuries to prevent permanent neurological deficits.

Abstract Image

Abstract Image

Abstract Image

眶顶骨折致颅神经损伤术后眼运动的恢复。
背景:眶顶骨折可导致脑神经损伤,尤其影响动眼神经(颅神经[CN] III)和展外神经(CN VI),导致眼球运动受损。本病例报告讨论了一例眶顶骨折导致CN III和CN VI轻瘫的患者,该患者随后接受了手术治疗,眼功能得到了显著改善。病例描述:一名25岁男性因摩托车事故导致眶顶凹陷骨折。事故后,他出现重影并伴有眼球运动受限。手术干预重建压迫眼肌的骨碎片。术后第1天,患者眼动改善,复视消失。POD 6完全恢复。结论:对累及脑神经的眶顶骨折进行及时有效的手术干预,可显著改善复视和眼球运动功能。本病例强调了及时评估和处理眼眶损伤以防止永久性神经功能缺损的重要性。
本文章由计算机程序翻译,如有差异,请以英文原文为准。
求助全文
约1分钟内获得全文 求助全文
来源期刊
自引率
0.00%
发文量
0
×
引用
GB/T 7714-2015
复制
MLA
复制
APA
复制
导出至
BibTeX EndNote RefMan NoteFirst NoteExpress
×
提示
您的信息不完整,为了账户安全,请先补充。
现在去补充
×
提示
您因"违规操作"
具体请查看互助需知
我知道了
×
提示
确定
请完成安全验证×
copy
已复制链接
快去分享给好友吧!
我知道了
右上角分享
点击右上角分享
0
联系我们:info@booksci.cn Book学术提供免费学术资源搜索服务,方便国内外学者检索中英文文献。致力于提供最便捷和优质的服务体验。 Copyright © 2023 布克学术 All rights reserved.
京ICP备2023020795号-1
ghs 京公网安备 11010802042870号
Book学术文献互助
Book学术文献互助群
群 号:604180095
Book学术官方微信