Feasibility of outpatient middle meningeal artery embolization for chronic subdural hematoma.

Surgical neurology international Pub Date : 2025-07-04 eCollection Date: 2025-01-01 DOI:10.25259/SNI_395_2025
David Barkyoumb, Kishore Balasubramanian, Sufyan Ibrahim, Muhammad Waqas, Heather Graham, Hakeem J Shakir
{"title":"Feasibility of outpatient middle meningeal artery embolization for chronic subdural hematoma.","authors":"David Barkyoumb, Kishore Balasubramanian, Sufyan Ibrahim, Muhammad Waqas, Heather Graham, Hakeem J Shakir","doi":"10.25259/SNI_395_2025","DOIUrl":null,"url":null,"abstract":"<p><strong>Background: </strong>Middle meningeal artery embolization (MMAe) has emerged as a safe and efficacious treatment for chronic subdural hematoma (cSDH). Performing this procedure on an outpatient basis has the opportunity to accelerate recovery and provide economic advantages. However, data supporting such protocols remain limited. This study aims to substantiate the feasibility of outpatient MMAe by describing its success at our institution.</p><p><strong>Methods: </strong>A single-center retrospective cohort analysis of all patients undergoing outpatient MMAe for cSDH was conducted between August 2023 and March 2025. Primary outcomes included procedural complication rates, postprocedural emergency department (ED) return rates, and 30-day readmission rates. Secondary outcomes included hematoma recurrence or expansion, degree of symptom resolution, and radiographic outcomes.</p><p><strong>Results: </strong>64 patients were included in the analysis, with a median age of 76 years (interquartile range [IQR]: 68-80). The majority of embolizations (77%) served as primary treatment. The median hematoma depth was 11 mm (IQR 7-15), with bilateral hematomas present in 42% of cases. No intra-procedural complications occurred; however, two patients suffered minor postprocedural complications. The 30-day readmission rate was 5% (<i>n</i> = 3), with no readmissions within 48 h. 17% of patients (<i>n</i> = 11) returned to the ED - the median time from embolization to ED presentation was 12 days (IQR 4-17 days). Among 52 patients (81%) with long-term follow-up, 4% suffered hematoma recurrence requiring surgical drainage, 58% achieved complete resolution of symptoms, and 29% showed improvement in symptoms.</p><p><strong>Conclusion: </strong>The study suggests that outpatient MMAe can be both safe and feasible for select patients with cSDH.</p>","PeriodicalId":94217,"journal":{"name":"Surgical neurology international","volume":"16 ","pages":"277"},"PeriodicalIF":0.0000,"publicationDate":"2025-07-04","publicationTypes":"Journal Article","fieldsOfStudy":null,"isOpenAccess":false,"openAccessPdf":"https://www.ncbi.nlm.nih.gov/pmc/articles/PMC12361709/pdf/","citationCount":"0","resultStr":null,"platform":"Semanticscholar","paperid":null,"PeriodicalName":"Surgical neurology international","FirstCategoryId":"1085","ListUrlMain":"https://doi.org/10.25259/SNI_395_2025","RegionNum":0,"RegionCategory":null,"ArticlePicture":[],"TitleCN":null,"AbstractTextCN":null,"PMCID":null,"EPubDate":"2025/1/1 0:00:00","PubModel":"eCollection","JCR":"","JCRName":"","Score":null,"Total":0}
引用次数: 0

Abstract

Background: Middle meningeal artery embolization (MMAe) has emerged as a safe and efficacious treatment for chronic subdural hematoma (cSDH). Performing this procedure on an outpatient basis has the opportunity to accelerate recovery and provide economic advantages. However, data supporting such protocols remain limited. This study aims to substantiate the feasibility of outpatient MMAe by describing its success at our institution.

Methods: A single-center retrospective cohort analysis of all patients undergoing outpatient MMAe for cSDH was conducted between August 2023 and March 2025. Primary outcomes included procedural complication rates, postprocedural emergency department (ED) return rates, and 30-day readmission rates. Secondary outcomes included hematoma recurrence or expansion, degree of symptom resolution, and radiographic outcomes.

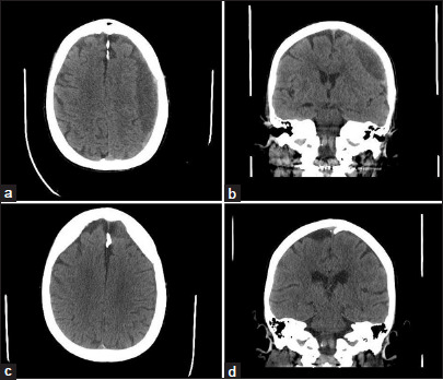
Results: 64 patients were included in the analysis, with a median age of 76 years (interquartile range [IQR]: 68-80). The majority of embolizations (77%) served as primary treatment. The median hematoma depth was 11 mm (IQR 7-15), with bilateral hematomas present in 42% of cases. No intra-procedural complications occurred; however, two patients suffered minor postprocedural complications. The 30-day readmission rate was 5% (n = 3), with no readmissions within 48 h. 17% of patients (n = 11) returned to the ED - the median time from embolization to ED presentation was 12 days (IQR 4-17 days). Among 52 patients (81%) with long-term follow-up, 4% suffered hematoma recurrence requiring surgical drainage, 58% achieved complete resolution of symptoms, and 29% showed improvement in symptoms.

Conclusion: The study suggests that outpatient MMAe can be both safe and feasible for select patients with cSDH.

Abstract Image

Abstract Image

Abstract Image

门诊脑膜中动脉栓塞治疗慢性硬膜下血肿的可行性。
背景:脑膜中动脉栓塞术(MMAe)已成为一种安全有效的治疗慢性硬膜下血肿(cSDH)的方法。在门诊基础上进行这种手术有机会加速恢复并提供经济优势。然而,支持这种协议的数据仍然有限。本研究旨在证实门诊MMAe的可行性,通过描述其在我们机构的成功。方法:对2023年8月至2025年3月期间接受门诊MMAe治疗的所有cSDH患者进行单中心回顾性队列分析。主要结局包括手术并发症发生率、术后急诊科(ED)复诊率和30天再入院率。次要结果包括血肿复发或扩大、症状缓解程度和影像学结果。结果:纳入分析的患者64例,中位年龄76岁(四分位数间距[IQR]: 68-80)。大多数栓塞(77%)作为主要治疗方法。中位血肿深度为11 mm (IQR 7-15), 42%的病例存在双侧血肿。无术中并发症发生;然而,两名患者出现了轻微的术后并发症。30天再入院率为5% (n = 3), 48小时内无再入院。17%的患者(n = 11)返回ED -从栓塞到ED表现的中位时间为12天(IQR 4-17天)。52例患者(81%)长期随访,4%血肿复发需要手术引流,58%症状完全缓解,29%症状改善。结论:本研究提示门诊MMAe对部分cSDH患者是安全可行的。
本文章由计算机程序翻译,如有差异,请以英文原文为准。
求助全文
约1分钟内获得全文 求助全文
来源期刊
自引率
0.00%
发文量
0
×
引用
GB/T 7714-2015
复制
MLA
复制
APA
复制
导出至
BibTeX EndNote RefMan NoteFirst NoteExpress
×
提示
您的信息不完整,为了账户安全,请先补充。
现在去补充
×
提示
您因"违规操作"
具体请查看互助需知
我知道了
×
提示
确定
请完成安全验证×
copy
已复制链接
快去分享给好友吧!
我知道了
右上角分享
点击右上角分享
0
联系我们:info@booksci.cn Book学术提供免费学术资源搜索服务,方便国内外学者检索中英文文献。致力于提供最便捷和优质的服务体验。 Copyright © 2023 布克学术 All rights reserved.
京ICP备2023020795号-1
ghs 京公网安备 11010802042870号
Book学术文献互助
Book学术文献互助群
群 号:604180095
Book学术官方微信