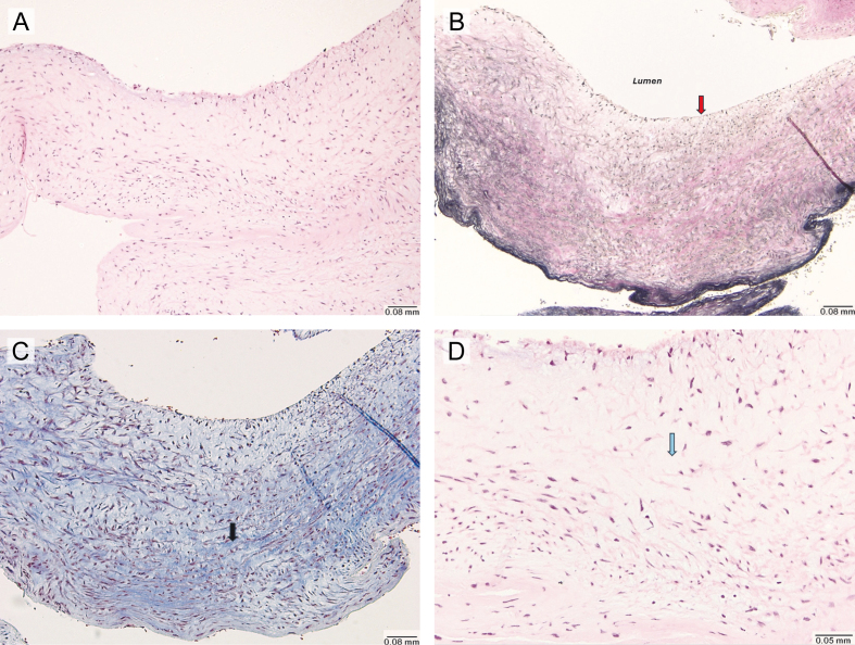
Histopathologic evidence of intimal hyperplasia in carotid artery webs associated with stroke.

Q3 Medicine
Free neuropathology Pub Date : 2025-08-26 eCollection Date: 2025-01-01 DOI:10.17879/freeneuropathology-2025-7139
Farhan Khan, Alisa Nobee, Skylar Lewis, John E Donahue, Shadi Yaghi
{"title":"Histopathologic evidence of intimal hyperplasia in carotid artery webs associated with stroke.","authors":"Farhan Khan, Alisa Nobee, Skylar Lewis, John E Donahue, Shadi Yaghi","doi":"10.17879/freeneuropathology-2025-7139","DOIUrl":null,"url":null,"abstract":"<p><p><b>Background:</b> Carotid artery webs (CWs) are an underrecognized cause of ischemic stroke, particularly in younger patients who lack conventional vascular risk factors. CWs are thought to represent an intimal variant of fibromuscular dysplasia (FMD); however, histopathologic data supporting this hypothesis remain limited. We report a case series of three patients with CW-related ischemic stroke who underwent carotid endarterectomy (CEA), allowing for histological analysis of the resected specimens. <b>Methods:</b> We retrospectively reviewed patients admitted to a Comprehensive Stroke Center between January 2015 and April 2025 with ischemic stroke or transient ischemic attack attributed to an ipsilateral carotid web who subsequently underwent carotid endarterectomy. Clinical data, imaging findings, and histopathologic features were analyzed. All cases met criteria for embolic stroke of undetermined source (ESUS) prior to surgery. <b>Results:</b> Three patients with CW-related stroke underwent carotid endarterectomy following recurrent events or high embolic risk. In two cases, superimposed thrombi led to initial misdiagnoses such as soft plaque or dissection. Histopathologic analysis consistently demonstrated fibrovascular tissue with intimal fibroid hyperplasia and myxoid degeneration, without lipid-rich plaques or inflammatory infiltrates. No patients experienced recurrent stroke or TIA by the time of their last documented follow-up. <b>Conclusions:</b> CWs represent a distinct non-atherosclerotic pathology characterized by intimal hyperplasia and myxoid degeneration. Superimposed thrombus may complicate diagnosis, often mimicking plaque or dissection. Advanced imaging, including MR vessel wall imaging and intravascular optical coherence tomography (OCT), can aid in accurate identification. Carotid revascularization may be effective in selected patients, particularly those with recurrence or ESUS. Prospective studies are needed to inform standardized diagnostic and therapeutic strategies.</p>","PeriodicalId":73056,"journal":{"name":"Free neuropathology","volume":"6 ","pages":"16"},"PeriodicalIF":0.0000,"publicationDate":"2025-08-26","publicationTypes":"Journal Article","fieldsOfStudy":null,"isOpenAccess":false,"openAccessPdf":"https://www.ncbi.nlm.nih.gov/pmc/articles/PMC12379831/pdf/","citationCount":"0","resultStr":null,"platform":"Semanticscholar","paperid":null,"PeriodicalName":"Free neuropathology","FirstCategoryId":"1085","ListUrlMain":"https://doi.org/10.17879/freeneuropathology-2025-7139","RegionNum":0,"RegionCategory":null,"ArticlePicture":[],"TitleCN":null,"AbstractTextCN":null,"PMCID":null,"EPubDate":"2025/1/1 0:00:00","PubModel":"eCollection","JCR":"Q3","JCRName":"Medicine","Score":null,"Total":0}
引用次数: 0

Abstract

Background: Carotid artery webs (CWs) are an underrecognized cause of ischemic stroke, particularly in younger patients who lack conventional vascular risk factors. CWs are thought to represent an intimal variant of fibromuscular dysplasia (FMD); however, histopathologic data supporting this hypothesis remain limited. We report a case series of three patients with CW-related ischemic stroke who underwent carotid endarterectomy (CEA), allowing for histological analysis of the resected specimens. Methods: We retrospectively reviewed patients admitted to a Comprehensive Stroke Center between January 2015 and April 2025 with ischemic stroke or transient ischemic attack attributed to an ipsilateral carotid web who subsequently underwent carotid endarterectomy. Clinical data, imaging findings, and histopathologic features were analyzed. All cases met criteria for embolic stroke of undetermined source (ESUS) prior to surgery. Results: Three patients with CW-related stroke underwent carotid endarterectomy following recurrent events or high embolic risk. In two cases, superimposed thrombi led to initial misdiagnoses such as soft plaque or dissection. Histopathologic analysis consistently demonstrated fibrovascular tissue with intimal fibroid hyperplasia and myxoid degeneration, without lipid-rich plaques or inflammatory infiltrates. No patients experienced recurrent stroke or TIA by the time of their last documented follow-up. Conclusions: CWs represent a distinct non-atherosclerotic pathology characterized by intimal hyperplasia and myxoid degeneration. Superimposed thrombus may complicate diagnosis, often mimicking plaque or dissection. Advanced imaging, including MR vessel wall imaging and intravascular optical coherence tomography (OCT), can aid in accurate identification. Carotid revascularization may be effective in selected patients, particularly those with recurrence or ESUS. Prospective studies are needed to inform standardized diagnostic and therapeutic strategies.

Abstract Image

Abstract Image

Abstract Image

颈动脉网内膜增生与脑卒中相关的组织病理学证据。
背景:颈动脉网(CWs)是缺血性卒中的一个未被充分认识的原因,特别是在缺乏常规血管危险因素的年轻患者中。CWs被认为是纤维肌肉发育不良(FMD)的一种内膜变异;然而,支持这一假设的组织病理学数据仍然有限。我们报告了3例接受颈动脉内膜切除术(CEA)的脑卒中相关缺血性中风患者,并对切除标本进行组织学分析。方法:我们回顾性分析了2015年1月至2025年4月间在综合卒中中心收治的因同侧颈动脉网引起的缺血性卒中或短暂性缺血性发作患者,这些患者随后接受了颈动脉内膜切除术。分析临床资料、影像学表现和组织病理学特征。所有病例术前均符合来源不明的栓塞性卒中(ESUS)标准。结果:3例脑卒中患者因复发或栓塞风险高而行颈动脉内膜切除术。在两个病例中,叠加的血栓导致最初的误诊,如软斑块或夹层。组织病理学分析一致显示纤维血管组织伴有内膜肌瘤增生和粘液样变性,无富含脂质斑块或炎症浸润。在最后一次有记录的随访中,没有患者复发性卒中或TIA。结论:CWs是一种独特的非动脉粥样硬化病理,以内膜增生和粘液样变性为特征。叠加血栓可使诊断复杂化,常表现为斑块或夹层。先进的成像,包括MR血管壁成像和血管内光学相干断层扫描(OCT),可以帮助准确识别。颈动脉血运重建术可能对某些患者有效,特别是复发或ESUS患者。需要前瞻性研究来为标准化的诊断和治疗策略提供信息。
本文章由计算机程序翻译,如有差异,请以英文原文为准。
求助全文
约1分钟内获得全文 求助全文
来源期刊
CiteScore
2.80
自引率
0.00%
发文量
0
审稿时长
3 weeks
×
引用
GB/T 7714-2015
复制
MLA
复制
APA
复制
导出至
BibTeX EndNote RefMan NoteFirst NoteExpress
×
提示
您的信息不完整,为了账户安全,请先补充。
现在去补充
×
提示
您因"违规操作"
具体请查看互助需知
我知道了
×
提示
确定
请完成安全验证×
copy
已复制链接
快去分享给好友吧!
我知道了
右上角分享
点击右上角分享
0
联系我们:info@booksci.cn Book学术提供免费学术资源搜索服务,方便国内外学者检索中英文文献。致力于提供最便捷和优质的服务体验。 Copyright © 2023 布克学术 All rights reserved.
京ICP备2023020795号-1
ghs 京公网安备 11010802042870号
Book学术文献互助
Book学术文献互助群
群 号:604180095
Book学术官方微信