Gallbladder Volvulus: A Rare Entity with "Beak Sign" and "Whirl Sign".

IF 1.3 4区 医学 Q4 RADIOLOGY, NUCLEAR MEDICINE & MEDICAL IMAGING
Journal of the Belgian Society of Radiology Pub Date : 2025-08-21 eCollection Date: 2025-01-01 DOI:10.5334/jbsr.4030
Margaux Vlasselaer, Martina Pezzullo, Gabriel Liberale
{"title":"Gallbladder Volvulus: A Rare Entity with \"Beak Sign\" and \"Whirl Sign\".","authors":"Margaux Vlasselaer, Martina Pezzullo, Gabriel Liberale","doi":"10.5334/jbsr.4030","DOIUrl":null,"url":null,"abstract":"<p><p><i>Teaching point:</i> Gallbladder volvulus is a rare but serious diagnosis that needs urgent surgical treatment to avoid morbidity and mortality related to gallbladder ischemia and should be suspected in elderly female patients with acute right upper quadrant pain with imaging features including enlarged, abnormally positioned gallbladder and specific key findings on CT including \"whirl sign\" representing twisting of the cystic pedicle and \"beak sign\" at the gallbladder neck.</p>","PeriodicalId":55987,"journal":{"name":"Journal of the Belgian Society of Radiology","volume":"109 1","pages":"35"},"PeriodicalIF":1.3000,"publicationDate":"2025-08-21","publicationTypes":"Journal Article","fieldsOfStudy":null,"isOpenAccess":false,"openAccessPdf":"https://www.ncbi.nlm.nih.gov/pmc/articles/PMC12372679/pdf/","citationCount":"0","resultStr":null,"platform":"Semanticscholar","paperid":null,"PeriodicalName":"Journal of the Belgian Society of Radiology","FirstCategoryId":"3","ListUrlMain":"https://doi.org/10.5334/jbsr.4030","RegionNum":4,"RegionCategory":"医学","ArticlePicture":[],"TitleCN":null,"AbstractTextCN":null,"PMCID":null,"EPubDate":"2025/1/1 0:00:00","PubModel":"eCollection","JCR":"Q4","JCRName":"RADIOLOGY, NUCLEAR MEDICINE & MEDICAL IMAGING","Score":null,"Total":0}
引用次数: 0

Abstract

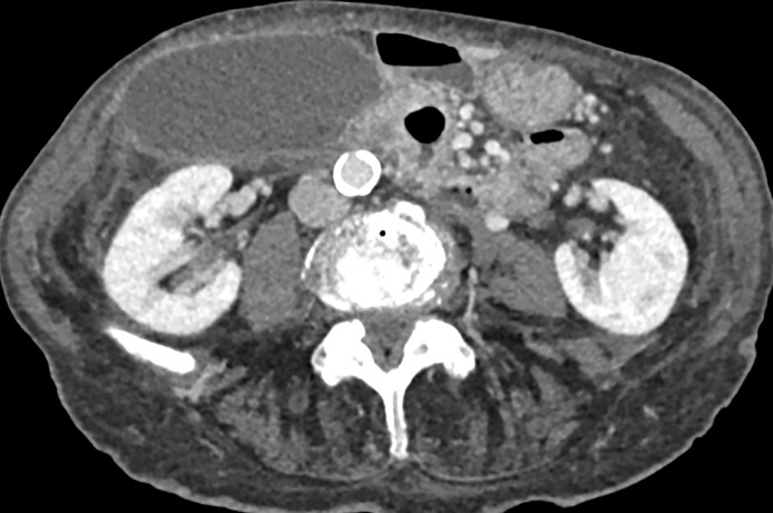
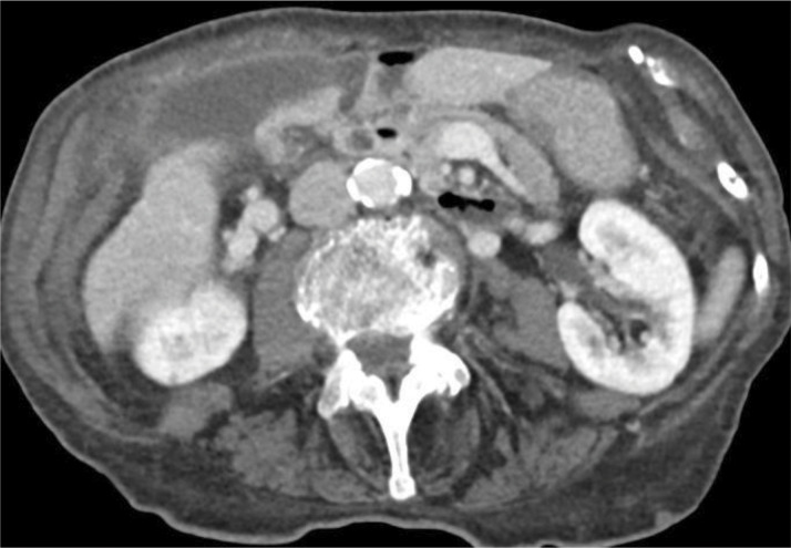
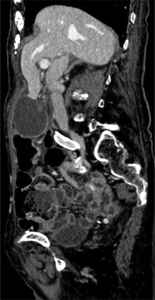
Teaching point: Gallbladder volvulus is a rare but serious diagnosis that needs urgent surgical treatment to avoid morbidity and mortality related to gallbladder ischemia and should be suspected in elderly female patients with acute right upper quadrant pain with imaging features including enlarged, abnormally positioned gallbladder and specific key findings on CT including "whirl sign" representing twisting of the cystic pedicle and "beak sign" at the gallbladder neck.

Abstract Image

Abstract Image

Abstract Image

胆囊扭转:具有“喙状征”和“漩涡状征”的罕见现象。
教学要点:胆囊扭转是一种罕见但严重的诊断,需要紧急手术治疗,以避免胆囊缺血相关的发病率和死亡率。在老年女性急性右上象限疼痛患者中,应怀疑其影像学特征为胆囊肿大,位置异常,CT特异性关键表现为胆囊蒂扭曲的“漩涡征”和胆囊颈部的“喙状征”。
本文章由计算机程序翻译,如有差异,请以英文原文为准。
求助全文
约1分钟内获得全文 求助全文
来源期刊
Journal of the Belgian Society of Radiology
Journal of the Belgian Society of Radiology Medicine-Radiology, Nuclear Medicine and Imaging
CiteScore
0.70
自引率
5.00%
发文量
96
期刊介绍: The purpose of the Journal of the Belgian Society of Radiology is the publication of articles dealing with diagnostic and interventional radiology, related imaging techniques, allied sciences, and continuing education.
×
引用
GB/T 7714-2015
复制
MLA
复制
APA
复制
导出至
BibTeX EndNote RefMan NoteFirst NoteExpress
×
提示
您的信息不完整,为了账户安全,请先补充。
现在去补充
×
提示
您因"违规操作"
具体请查看互助需知
我知道了
×
提示
确定
请完成安全验证×
copy
已复制链接
快去分享给好友吧!
我知道了
右上角分享
点击右上角分享
0
联系我们:info@booksci.cn Book学术提供免费学术资源搜索服务,方便国内外学者检索中英文文献。致力于提供最便捷和优质的服务体验。 Copyright © 2023 布克学术 All rights reserved.
京ICP备2023020795号-1
ghs 京公网安备 11010802042870号
Book学术文献互助
Book学术文献互助群
群 号:604180095
Book学术官方微信