Evaluation of skeletal muscle microcirculation via magnetic resonance intravoxel incoherent motion perfusion imaging in an acute ischemia rabbit model.

IF 2.3 2区 医学 Q2 RADIOLOGY, NUCLEAR MEDICINE & MEDICAL IMAGING
Quantitative Imaging in Medicine and Surgery Pub Date : 2025-09-01 Epub Date: 2025-08-13 DOI:10.21037/qims-2025-711
Guoping Song, Xinyu Song, Jienan Wang, Xiance Zhao, Junkang Shen
{"title":"Evaluation of skeletal muscle microcirculation via magnetic resonance intravoxel incoherent motion perfusion imaging in an acute ischemia rabbit model.","authors":"Guoping Song, Xinyu Song, Jienan Wang, Xiance Zhao, Junkang Shen","doi":"10.21037/qims-2025-711","DOIUrl":null,"url":null,"abstract":"<p><strong>Background: </strong>Acute limb ischemia (ALI) necessitates prompt intervention to prevent severe complications such as amputation. Current clinical assessments lack reliable quantitative methods for gauging skeletal muscle ischemia severity. Intravoxel incoherent motion (IVIM) perfusion imaging is a noninvasive approach for quantifying microvascular perfusion. We aimed to assess microcirculation alterations in rabbit vastus lateralis muscle following acute ischemia using IVIM.</p><p><strong>Methods: </strong>Acute ischemia models were established in 25 New Zealand white rabbits through arterial ligation of their right hind legs. Magnetic resonance imaging (MRI) examinations of the vastus lateralis muscle were conducted hourly postsurgery for a duration of 7 hours. The scan sequences included IVIM, adenosine triphosphate (APT), T1-weighted imaging (T1WI), T2-weighted imaging with fat suppression (T2WI-FS), T2 mapping, and diffusion-weighted imaging (DWI). The correlations between MRI results, ischemic time, and pathological changes were analyzed.</p><p><strong>Results: </strong>The perfusion fraction (f) of ischemic muscle significantly decreased from 6.19%±1.13% at 1 hour to 2.50%±0.64% at 7 hours (control: 7.19%±1.03%), representing a strong negative correlation with ischemic duration (r=-0.790). The true diffusion coefficient (D) remained relatively stable [(1.41-1.46)×10<sup>-3</sup> mm<sup>2</sup>/s] but was slightly elevated compared to controls. The pseudo-diffusion coefficient (D*) showed a sharp increase at 5 hours [(74.01±5.79)×10<sup>-3</sup> mm<sup>2</sup>/s]; control: [(61.28±9.31)×10<sup>-3</sup> mm<sup>2</sup>/s], followed by a drop at 6 hours [(59.44±15.77)×10<sup>-3</sup> mm<sup>2</sup>/s], suggesting sudden structural changes, which were confirmed by histopathology. T2WI-FS and DWI showed increased signal intensity in ischemic muscle, with the T2 relaxation times being significantly elevated (P<0.001) and positively correlated with ischemic duration (r=0.807). Apparent diffusion coefficient (ADC) values also increased with time (r=0.623). The amide proton transfer effect was enhanced in ischemic skeletal muscle throughout the 2-7-hour post-ischemic period (ischemic: 2.26%±0.39% at the 7th hour <i>vs</i>. control: 1.77%±0.33%; P<0.05).</p><p><strong>Conclusions: </strong>MRI effectively visualizes and detects skeletal muscle ischemia, with IVIM-derived f values providing a quantitative measure of microcirculatory impairment. D* potentially serves as a biomarker for identifying irreversible muscle fiber damage and may be a valuable tool for the quantitative assessment of ischemic injury to skeletal muscle.</p>","PeriodicalId":54267,"journal":{"name":"Quantitative Imaging in Medicine and Surgery","volume":"15 9","pages":"8064-8078"},"PeriodicalIF":2.3000,"publicationDate":"2025-09-01","publicationTypes":"Journal Article","fieldsOfStudy":null,"isOpenAccess":false,"openAccessPdf":"https://www.ncbi.nlm.nih.gov/pmc/articles/PMC12397635/pdf/","citationCount":"0","resultStr":null,"platform":"Semanticscholar","paperid":null,"PeriodicalName":"Quantitative Imaging in Medicine and Surgery","FirstCategoryId":"3","ListUrlMain":"https://doi.org/10.21037/qims-2025-711","RegionNum":2,"RegionCategory":"医学","ArticlePicture":[],"TitleCN":null,"AbstractTextCN":null,"PMCID":null,"EPubDate":"2025/8/13 0:00:00","PubModel":"Epub","JCR":"Q2","JCRName":"RADIOLOGY, NUCLEAR MEDICINE & MEDICAL IMAGING","Score":null,"Total":0}
引用次数: 0

Abstract

Background: Acute limb ischemia (ALI) necessitates prompt intervention to prevent severe complications such as amputation. Current clinical assessments lack reliable quantitative methods for gauging skeletal muscle ischemia severity. Intravoxel incoherent motion (IVIM) perfusion imaging is a noninvasive approach for quantifying microvascular perfusion. We aimed to assess microcirculation alterations in rabbit vastus lateralis muscle following acute ischemia using IVIM.

Methods: Acute ischemia models were established in 25 New Zealand white rabbits through arterial ligation of their right hind legs. Magnetic resonance imaging (MRI) examinations of the vastus lateralis muscle were conducted hourly postsurgery for a duration of 7 hours. The scan sequences included IVIM, adenosine triphosphate (APT), T1-weighted imaging (T1WI), T2-weighted imaging with fat suppression (T2WI-FS), T2 mapping, and diffusion-weighted imaging (DWI). The correlations between MRI results, ischemic time, and pathological changes were analyzed.

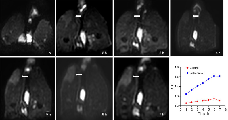
Results: The perfusion fraction (f) of ischemic muscle significantly decreased from 6.19%±1.13% at 1 hour to 2.50%±0.64% at 7 hours (control: 7.19%±1.03%), representing a strong negative correlation with ischemic duration (r=-0.790). The true diffusion coefficient (D) remained relatively stable [(1.41-1.46)×10-3 mm2/s] but was slightly elevated compared to controls. The pseudo-diffusion coefficient (D*) showed a sharp increase at 5 hours [(74.01±5.79)×10-3 mm2/s]; control: [(61.28±9.31)×10-3 mm2/s], followed by a drop at 6 hours [(59.44±15.77)×10-3 mm2/s], suggesting sudden structural changes, which were confirmed by histopathology. T2WI-FS and DWI showed increased signal intensity in ischemic muscle, with the T2 relaxation times being significantly elevated (P<0.001) and positively correlated with ischemic duration (r=0.807). Apparent diffusion coefficient (ADC) values also increased with time (r=0.623). The amide proton transfer effect was enhanced in ischemic skeletal muscle throughout the 2-7-hour post-ischemic period (ischemic: 2.26%±0.39% at the 7th hour vs. control: 1.77%±0.33%; P<0.05).

Conclusions: MRI effectively visualizes and detects skeletal muscle ischemia, with IVIM-derived f values providing a quantitative measure of microcirculatory impairment. D* potentially serves as a biomarker for identifying irreversible muscle fiber damage and may be a valuable tool for the quantitative assessment of ischemic injury to skeletal muscle.

Abstract Image

Abstract Image

Abstract Image

磁共振体内非相干运动灌注成像评价兔急性缺血模型骨骼肌微循环。
背景:急性肢体缺血(ALI)需要及时干预,以防止严重并发症,如截肢。目前的临床评估缺乏可靠的定量方法来衡量骨骼肌缺血严重程度。体素内非相干运动(IVIM)灌注成像是一种量化微血管灌注的无创方法。我们的目的是评估兔股外侧肌急性缺血后微循环的变化。方法:25只新西兰大白兔右后腿动脉结扎建立急性缺血模型。术后每小时进行一次股外侧肌磁共振成像(MRI)检查,持续7小时。扫描序列包括IVIM、三磷酸腺苷(APT)、t1加权成像(T1WI)、T2加权脂肪抑制成像(T2WI-FS)、T2作图和弥散加权成像(DWI)。分析MRI结果与缺血时间、病理改变的相关性。结果:缺血肌肉的灌注分数(f)由1小时时的6.19%±1.13%显著下降至7小时时的2.50%±0.64%(对照组:7.19%±1.03%),与缺血持续时间呈强负相关(r=-0.790)。真实扩散系数(D)保持相对稳定[(1.41-1.46)×10-3 mm2/s],但与对照组相比略有升高。伪扩散系数(D*)在5 h时急剧增大[(74.01±5.79)×10-3 mm2/s];对照组:[(61.28±9.31)×10-3 mm2/s], 6小时后下降[(59.44±15.77)×10-3 mm2/s],提示突发性结构改变,经组织病理学证实。T2WI-FS和DWI显示缺血肌肉信号强度增加,T2松弛时间明显升高(Pvs)。控制:1.77%±0.33%;结论:MRI可以有效地显示和检测骨骼肌缺血,ivim衍生的f值提供了微循环损伤的定量测量。D*可能作为识别不可逆肌纤维损伤的生物标志物,可能是定量评估骨骼肌缺血性损伤的有价值的工具。
本文章由计算机程序翻译,如有差异,请以英文原文为准。
求助全文
约1分钟内获得全文 求助全文
来源期刊
Quantitative Imaging in Medicine and Surgery
Quantitative Imaging in Medicine and Surgery Medicine-Radiology, Nuclear Medicine and Imaging
CiteScore
4.20
自引率
17.90%
发文量
252
期刊介绍: Information not localized
×
引用
GB/T 7714-2015
复制
MLA
复制
APA
复制
导出至
BibTeX EndNote RefMan NoteFirst NoteExpress
×
提示
您的信息不完整,为了账户安全,请先补充。
现在去补充
×
提示
您因"违规操作"
具体请查看互助需知
我知道了
×
提示
确定
请完成安全验证×
copy
已复制链接
快去分享给好友吧!
我知道了
右上角分享
点击右上角分享
0
联系我们:info@booksci.cn Book学术提供免费学术资源搜索服务,方便国内外学者检索中英文文献。致力于提供最便捷和优质的服务体验。 Copyright © 2023 布克学术 All rights reserved.
京ICP备2023020795号-1
ghs 京公网安备 11010802042870号
Book学术文献互助
Book学术文献互助群
群 号:604180095
Book学术官方微信