External validation of precisebreast, a digital prognostic test for predicting breast cancer recurrence, in an early-stage cohort from the Netherlands.

IF 5.6 1区 医学 Q1 Medicine
Pieter J Westenend, Claudia Meurs, Gerardo Fernandez, Marcel Prastawa, Abishek Sainath Madduri, Aaron Feliz, Juan Carlos Mejias, Alexander Shtabsky, Xiaozhu Zhang, Brandon Veremis, Rebecca DeAngel, Michael J Donovan
{"title":"External validation of precisebreast, a digital prognostic test for predicting breast cancer recurrence, in an early-stage cohort from the Netherlands.","authors":"Pieter J Westenend, Claudia Meurs, Gerardo Fernandez, Marcel Prastawa, Abishek Sainath Madduri, Aaron Feliz, Juan Carlos Mejias, Alexander Shtabsky, Xiaozhu Zhang, Brandon Veremis, Rebecca DeAngel, Michael J Donovan","doi":"10.1186/s13058-025-02104-8","DOIUrl":null,"url":null,"abstract":"<p><strong>Background: </strong>Current clinical guidelines recommend gene expression profiling to guide treatment in early-stage breast cancer. PreciseBreast (PDxBR) is a digital prognostic tool that integrates artificial intelligence (AI)-derived features from hematoxylin and eosin (H&E) slides with clinicopathologic data to predict recurrence risk. This study externally validated PDxBR in an independent cohort and compared its performance to other risk models.</p><p><strong>Methods: </strong>We retrospectively analyzed PDxBR in a cohort of 739 patients with early-stage hormone receptor-positive, HER2-negative breast cancer (median follow-up of 8.8 years). For each case, one H&E-stained slide was digitized and analyzed to generate recurrence risk scores using the full PDxBR model, as well as image-only and clinical-only variants. A subset of patients who underwent MammaPrint testing was also evaluated. Model performance was assessed by AUC/C-index, hazard ratios, sensitivity, specificity, and negative and positive predictive values (NPV and PPV, respectively).</p><p><strong>Results: </strong>PDxBR showed prognostic accuracy in this external cohort (AUC/C-index 0.71, 95% CI: 0.66-0.75). Applying the PDxBR threshold (≥ 58 versus < 58) yielded a hazard ratio of 3.05 (95% CI: 2.1-4.4, p < 0.001), sensitivity 0.70, specificity 0.59, NPV 0.90, and PPV 0.27. PDxBR outperformed the modified Adjuvant! Online clinical model (MINDACT model, p < 0.00001) and effectively reclassified grade 2 tumors into distinct risk groups.</p><p><strong>Conclusions: </strong>PDxBR demonstrated robust prognostic performance in an independent cohort, supporting its potential as a scalable, reproducible alternative to genomic assays for individualized risk stratification in early-stage breast cancer.</p>","PeriodicalId":49227,"journal":{"name":"Breast Cancer Research","volume":"27 1","pages":"152"},"PeriodicalIF":5.6000,"publicationDate":"2025-08-20","publicationTypes":"Journal Article","fieldsOfStudy":null,"isOpenAccess":false,"openAccessPdf":"https://www.ncbi.nlm.nih.gov/pmc/articles/PMC12369158/pdf/","citationCount":"0","resultStr":null,"platform":"Semanticscholar","paperid":null,"PeriodicalName":"Breast Cancer Research","FirstCategoryId":"3","ListUrlMain":"https://doi.org/10.1186/s13058-025-02104-8","RegionNum":1,"RegionCategory":"医学","ArticlePicture":[],"TitleCN":null,"AbstractTextCN":null,"PMCID":null,"EPubDate":"","PubModel":"","JCR":"Q1","JCRName":"Medicine","Score":null,"Total":0}
引用次数: 0

Abstract

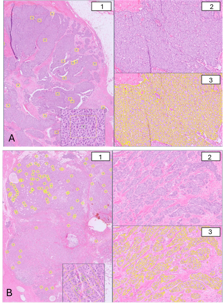
Background: Current clinical guidelines recommend gene expression profiling to guide treatment in early-stage breast cancer. PreciseBreast (PDxBR) is a digital prognostic tool that integrates artificial intelligence (AI)-derived features from hematoxylin and eosin (H&E) slides with clinicopathologic data to predict recurrence risk. This study externally validated PDxBR in an independent cohort and compared its performance to other risk models.

Methods: We retrospectively analyzed PDxBR in a cohort of 739 patients with early-stage hormone receptor-positive, HER2-negative breast cancer (median follow-up of 8.8 years). For each case, one H&E-stained slide was digitized and analyzed to generate recurrence risk scores using the full PDxBR model, as well as image-only and clinical-only variants. A subset of patients who underwent MammaPrint testing was also evaluated. Model performance was assessed by AUC/C-index, hazard ratios, sensitivity, specificity, and negative and positive predictive values (NPV and PPV, respectively).

Results: PDxBR showed prognostic accuracy in this external cohort (AUC/C-index 0.71, 95% CI: 0.66-0.75). Applying the PDxBR threshold (≥ 58 versus < 58) yielded a hazard ratio of 3.05 (95% CI: 2.1-4.4, p < 0.001), sensitivity 0.70, specificity 0.59, NPV 0.90, and PPV 0.27. PDxBR outperformed the modified Adjuvant! Online clinical model (MINDACT model, p < 0.00001) and effectively reclassified grade 2 tumors into distinct risk groups.

Conclusions: PDxBR demonstrated robust prognostic performance in an independent cohort, supporting its potential as a scalable, reproducible alternative to genomic assays for individualized risk stratification in early-stage breast cancer.

Abstract Image

Abstract Image

Abstract Image

precisebreast是一种用于预测乳腺癌复发的数字预后测试,在荷兰的早期队列中进行了外部验证。
背景:目前的临床指南推荐基因表达谱来指导早期乳腺癌的治疗。PreciseBreast (PDxBR)是一种数字预后工具,它将人工智能(AI)衍生的苏木精和伊红(H&E)载玻片特征与临床病理数据相结合,以预测复发风险。本研究在独立队列中对PDxBR进行了外部验证,并将其性能与其他风险模型进行了比较。方法:我们回顾性分析了739例早期激素受体阳性、her2阴性乳腺癌患者的PDxBR(中位随访时间为8.8年)。对于每个病例,将一张h&e染色的载玻片数字化并分析,使用完整的PDxBR模型以及仅图像和仅临床的变体生成复发风险评分。接受MammaPrint检测的患者子集也进行了评估。通过AUC/ c指数、风险比、敏感性、特异性和阴性和阳性预测值(分别为NPV和PPV)评估模型的性能。结果:PDxBR在该外部队列中显示预后准确性(AUC/C-index 0.71, 95% CI: 0.66-0.75)。应用PDxBR阈值(≥58 vs .结论:PDxBR在独立队列中表现出稳健的预后表现,支持其作为早期乳腺癌个体化风险分层基因组分析的可扩展、可重复替代方案的潜力。
本文章由计算机程序翻译,如有差异,请以英文原文为准。
求助全文
约1分钟内获得全文 求助全文
来源期刊
CiteScore
12.00
自引率
0.00%
发文量
76
审稿时长
12 weeks
期刊介绍: Breast Cancer Research, an international, peer-reviewed online journal, publishes original research, reviews, editorials, and reports. It features open-access research articles of exceptional interest across all areas of biology and medicine relevant to breast cancer. This includes normal mammary gland biology, with a special emphasis on the genetic, biochemical, and cellular basis of breast cancer. In addition to basic research, the journal covers preclinical, translational, and clinical studies with a biological basis, including Phase I and Phase II trials.
×
引用
GB/T 7714-2015
复制
MLA
复制
APA
复制
导出至
BibTeX EndNote RefMan NoteFirst NoteExpress
×
提示
您的信息不完整,为了账户安全,请先补充。
现在去补充
×
提示
您因"违规操作"
具体请查看互助需知
我知道了
×
提示
确定
请完成安全验证×
copy
已复制链接
快去分享给好友吧!
我知道了
右上角分享
点击右上角分享
0
联系我们:info@booksci.cn Book学术提供免费学术资源搜索服务,方便国内外学者检索中英文文献。致力于提供最便捷和优质的服务体验。 Copyright © 2023 布克学术 All rights reserved.
京ICP备2023020795号-1
ghs 京公网安备 11010802042870号
Book学术文献互助
Book学术文献互助群
群 号:604180095
Book学术官方微信