Primary dermal melanoma: a rare subtype of cutaneous melanoma.

IF 0.7 Q4 ONCOLOGY
Melanoma Management Pub Date : 2025-12-01 Epub Date: 2025-08-29 DOI:10.1080/20450885.2025.2550234
Erol Benlier, Fatih Akyar, Kübra Afşaroğlu Zöhra
{"title":"Primary dermal melanoma: a rare subtype of cutaneous melanoma.","authors":"Erol Benlier, Fatih Akyar, Kübra Afşaroğlu Zöhra","doi":"10.1080/20450885.2025.2550234","DOIUrl":null,"url":null,"abstract":"<p><p>Primary dermal melanoma (PDM) is a rare subtype of cutaneous melanoma, with involvement of the dermis/subcutaneous tissue or both, but no involvement of the epidermis. PDM could not be distinguished histologically from metastasis of primary cutaneous melanoma. PDM has a longer life expectancy compared to cutaneous metastatic melanoma. Therefore, it is important to recognize PDM and make a correct diagnosis. We present a case of primary dermal melanoma on the left leg of a 38-year-old woman.</p>","PeriodicalId":44562,"journal":{"name":"Melanoma Management","volume":"12 1","pages":"2550234"},"PeriodicalIF":0.7000,"publicationDate":"2025-12-01","publicationTypes":"Journal Article","fieldsOfStudy":null,"isOpenAccess":false,"openAccessPdf":"https://www.ncbi.nlm.nih.gov/pmc/articles/PMC12407635/pdf/","citationCount":"0","resultStr":null,"platform":"Semanticscholar","paperid":null,"PeriodicalName":"Melanoma Management","FirstCategoryId":"1085","ListUrlMain":"https://doi.org/10.1080/20450885.2025.2550234","RegionNum":0,"RegionCategory":null,"ArticlePicture":[],"TitleCN":null,"AbstractTextCN":null,"PMCID":null,"EPubDate":"2025/8/29 0:00:00","PubModel":"Epub","JCR":"Q4","JCRName":"ONCOLOGY","Score":null,"Total":0}
引用次数: 0

Abstract

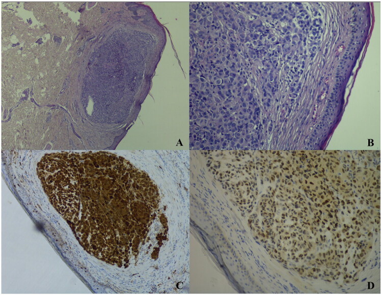
Primary dermal melanoma (PDM) is a rare subtype of cutaneous melanoma, with involvement of the dermis/subcutaneous tissue or both, but no involvement of the epidermis. PDM could not be distinguished histologically from metastasis of primary cutaneous melanoma. PDM has a longer life expectancy compared to cutaneous metastatic melanoma. Therefore, it is important to recognize PDM and make a correct diagnosis. We present a case of primary dermal melanoma on the left leg of a 38-year-old woman.

Abstract Image

Abstract Image

原发性皮肤黑色素瘤:一种罕见的皮肤黑色素瘤亚型。
原发性真皮黑色素瘤(PDM)是一种罕见的皮肤黑色素瘤亚型,累及真皮/皮下组织或两者,但不累及表皮。组织学上不能区分PDM与原发性皮肤黑色素瘤的转移。与皮肤转移性黑色素瘤相比,PDM的预期寿命更长。因此,认识PDM并做出正确的诊断是非常重要的。我们提出一个病例原发性皮肤黑色素瘤的左腿上的一个38岁的妇女。
本文章由计算机程序翻译,如有差异,请以英文原文为准。
求助全文
约1分钟内获得全文 求助全文
来源期刊
CiteScore
5.10
自引率
0.00%
发文量
4
审稿时长
13 weeks
期刊介绍: Skin cancer is on the rise. According to the World Health Organization, 132,000 melanoma skin cancers occur globally each year. While early-stage melanoma is usually relatively easy to treat, once disease spreads prognosis worsens considerably. Therefore, research into combating advanced-stage melanoma is a high priority. New and emerging therapies, such as monoclonal antibodies, B-RAF and KIT inhibitors, antiangiogenic agents and novel chemotherapy approaches hold promise for prolonging survival, but the search for a cure is ongoing. Melanoma Management publishes high-quality peer-reviewed articles on all aspects of melanoma, from prevention to diagnosis and from treatment of early-stage disease to late-stage melanoma and metastasis. The journal presents the latest research findings in melanoma research and treatment, together with authoritative reviews, cutting-edge editorials and perspectives that highlight hot topics and controversy in the field. Independent drug evaluations assess newly approved medications and their role in clinical practice. Key topics covered include: Risk factors, prevention and sun safety education Diagnosis, staging and grading Surgical excision of melanoma lesions Sentinel lymph node biopsy Biological therapies, including immunotherapy and vaccination Novel chemotherapy options Treatment of metastasis Prevention of recurrence Patient care and quality of life.
×
引用
GB/T 7714-2015
复制
MLA
复制
APA
复制
导出至
BibTeX EndNote RefMan NoteFirst NoteExpress
×
提示
您的信息不完整,为了账户安全,请先补充。
现在去补充
×
提示
您因"违规操作"
具体请查看互助需知
我知道了
×
提示
确定
请完成安全验证×
copy
已复制链接
快去分享给好友吧!
我知道了
右上角分享
点击右上角分享
0
联系我们:info@booksci.cn Book学术提供免费学术资源搜索服务,方便国内外学者检索中英文文献。致力于提供最便捷和优质的服务体验。 Copyright © 2023 布克学术 All rights reserved.
京ICP备2023020795号-1
ghs 京公网安备 11010802042870号
Book学术文献互助
Book学术文献互助群
群 号:604180095
Book学术官方微信