Effect of Different Footwear on the Knee Joint: Biomechanical Analysis and Acute T2 Relaxation Time Changes After Walking in Minimalistic and Neutral Footwear.

IF 2.5 3区 医学 Q2 ORTHOPEDICS
Orthopaedic Journal of Sports Medicine Pub Date : 2025-08-29 eCollection Date: 2025-08-01 DOI:10.1177/23259671251346985
Jan Malus, Victor Casula, Jan Urbaczka, Dominik Vilimek, Miika Nieminen, Joe Hamill, Veronika Horka, Marketa Rygelova, Jaroslav Uchytil
{"title":"Effect of Different Footwear on the Knee Joint: Biomechanical Analysis and Acute T2 Relaxation Time Changes After Walking in Minimalistic and Neutral Footwear.","authors":"Jan Malus, Victor Casula, Jan Urbaczka, Dominik Vilimek, Miika Nieminen, Joe Hamill, Veronika Horka, Marketa Rygelova, Jaroslav Uchytil","doi":"10.1177/23259671251346985","DOIUrl":null,"url":null,"abstract":"<p><strong>Background: </strong>Walking in minimalistic footwear (MF) increases mechanical loading on the knee joint, exposing it to acute stresses that may heighten the risk of early onset of knee osteoarthritis. This type of footwear can modify walking patterns in the lower limbs, further intensifying joint stress and contributing to the deterioration of articular surfaces.</p><p><strong>Purpose: </strong>First, to evaluate the differences in kinetic variables associated with the early onset of knee osteoarthritis between MF and neutral footwear (NF) during walking; second, to determine the extent of acute cartilage loading in the knee joint, particularly footwear after 45 minutes of walking in an urban environment, using magnetic resonance imaging (T2 relaxation times [T2RTs] and percentage change of loading) in weightbearing zones.</p><p><strong>Study design: </strong>Controlled laboratory study.</p><p><strong>Methods: </strong>Knee forces and knee moments were obtained during walking trials of 20 healthy participants using statistical parametric mapping. The analysis focused on alterations across specific intervals of the stance phase, expressed as percentages of the gait cycle. T2RT values of cartilage were quantified using a 1.5 T magnetic resonance imaging at baseline and immediately after 45 minutes of walking in each condition.</p><p><strong>Results: </strong>Significant differences were observed in knee force during the stance phase: (1) in the sagittal plane, greater values were between 2% and 9% and between 90% and 100%, and lower values were between 18% and 40% and between 62% and 85% in MF; (2) the frontal plane showed lower values between 7% and 14% and 98% in MF, and greater values were between 7% and 14% and 98% in MF; and (3) the transversal plane showed greater values between 0% and 9% and between 54% and 78%, and lower values were between 25% and 40% and between 81% and 100% in MF. Knee adduction moment showed significantly lower values between 0% and 8%, 32% and 90%, and >92% and 100%. Knee flexion moment showed significantly lower values between 3% and 5%, 25% and 69%, and >7% and 19% in MF. The main effect of loading in NF of cartilage showed significantly lower T2RT values in all superficial femur parts and significantly greater T2RT values in deep central tibia. MF showed significantly lower T2RT values in the superficial anterior-posterior femur in the medial cartilage compartment.</p><p><strong>Conclusion: </strong>Increased knee moments in all planes reflect the effect of an acute change to particular footwear. NF reveals a greater response to loading in weightbearing knee cartilage zones. The superficial layers appeared to be more sensitive to loading after 45 minutes of walking.</p>","PeriodicalId":19646,"journal":{"name":"Orthopaedic Journal of Sports Medicine","volume":"13 8","pages":"23259671251346985"},"PeriodicalIF":2.5000,"publicationDate":"2025-08-29","publicationTypes":"Journal Article","fieldsOfStudy":null,"isOpenAccess":false,"openAccessPdf":"https://www.ncbi.nlm.nih.gov/pmc/articles/PMC12397610/pdf/","citationCount":"0","resultStr":null,"platform":"Semanticscholar","paperid":null,"PeriodicalName":"Orthopaedic Journal of Sports Medicine","FirstCategoryId":"3","ListUrlMain":"https://doi.org/10.1177/23259671251346985","RegionNum":3,"RegionCategory":"医学","ArticlePicture":[],"TitleCN":null,"AbstractTextCN":null,"PMCID":null,"EPubDate":"2025/8/1 0:00:00","PubModel":"eCollection","JCR":"Q2","JCRName":"ORTHOPEDICS","Score":null,"Total":0}
引用次数: 0

Abstract

Background: Walking in minimalistic footwear (MF) increases mechanical loading on the knee joint, exposing it to acute stresses that may heighten the risk of early onset of knee osteoarthritis. This type of footwear can modify walking patterns in the lower limbs, further intensifying joint stress and contributing to the deterioration of articular surfaces.

Purpose: First, to evaluate the differences in kinetic variables associated with the early onset of knee osteoarthritis between MF and neutral footwear (NF) during walking; second, to determine the extent of acute cartilage loading in the knee joint, particularly footwear after 45 minutes of walking in an urban environment, using magnetic resonance imaging (T2 relaxation times [T2RTs] and percentage change of loading) in weightbearing zones.

Study design: Controlled laboratory study.

Methods: Knee forces and knee moments were obtained during walking trials of 20 healthy participants using statistical parametric mapping. The analysis focused on alterations across specific intervals of the stance phase, expressed as percentages of the gait cycle. T2RT values of cartilage were quantified using a 1.5 T magnetic resonance imaging at baseline and immediately after 45 minutes of walking in each condition.

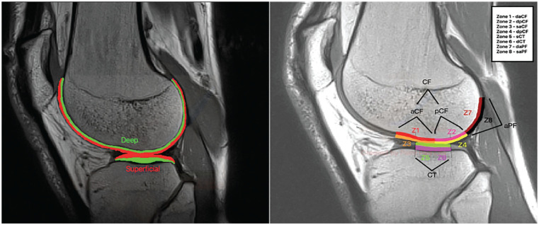
Results: Significant differences were observed in knee force during the stance phase: (1) in the sagittal plane, greater values were between 2% and 9% and between 90% and 100%, and lower values were between 18% and 40% and between 62% and 85% in MF; (2) the frontal plane showed lower values between 7% and 14% and 98% in MF, and greater values were between 7% and 14% and 98% in MF; and (3) the transversal plane showed greater values between 0% and 9% and between 54% and 78%, and lower values were between 25% and 40% and between 81% and 100% in MF. Knee adduction moment showed significantly lower values between 0% and 8%, 32% and 90%, and >92% and 100%. Knee flexion moment showed significantly lower values between 3% and 5%, 25% and 69%, and >7% and 19% in MF. The main effect of loading in NF of cartilage showed significantly lower T2RT values in all superficial femur parts and significantly greater T2RT values in deep central tibia. MF showed significantly lower T2RT values in the superficial anterior-posterior femur in the medial cartilage compartment.

Conclusion: Increased knee moments in all planes reflect the effect of an acute change to particular footwear. NF reveals a greater response to loading in weightbearing knee cartilage zones. The superficial layers appeared to be more sensitive to loading after 45 minutes of walking.

Abstract Image

Abstract Image

Abstract Image

不同鞋类对膝关节的影响:生物力学分析和穿着简约和中性鞋类行走后急性T2松弛时间的变化。
背景:穿着简约的鞋子(MF)走路会增加膝关节的机械负荷,使其暴露在急性压力下,这可能会增加膝骨关节炎早期发病的风险。这种类型的鞋子会改变下肢的行走方式,进一步加剧关节压力,导致关节面恶化。目的:首先,评估步行时MF和中性鞋(NF)与膝骨关节炎早期发病相关的动力学变量的差异;其次,利用磁共振成像(T2松弛时间[T2RTs]和负荷变化百分比)在负重区确定膝关节急性软骨负荷的程度,特别是在城市环境中步行45分钟后的鞋类。研究设计:实验室对照研究。方法:采用统计参数映射法对20名健康受试者进行步行试验时膝关节受力和膝关节力矩进行测量。分析的重点是站姿阶段的特定间隔的变化,以步态周期的百分比表示。在每一种情况下,在基线和步行45分钟后立即使用1.5 T磁共振成像对软骨的T2RT值进行量化。结果:站立阶段膝关节力有显著差异:(1)矢状面较大值在2% ~ 9%和90% ~ 100%之间,MF较小值在18% ~ 40%和62% ~ 85%之间;(2)额平面MF值在7% ~ 14%和98%之间较低,MF值在7% ~ 14%和98%之间较高;(3)横断面MF值在0% ~ 9%和54% ~ 78%之间较高,在25% ~ 40%和81% ~ 100%之间较低。膝关节内收力矩在0% ~ 8%之间,32% ~ 90%之间,>在92% ~ 100%之间显著降低。膝关节屈曲力矩在MF组为3% ~ 5%,25% ~ 69%,7% ~ 19%。软骨NF负荷的主要影响显示,所有股骨浅表部位的T2RT值均显著降低,而胫骨中央深部的T2RT值显著升高。MF显示内侧软骨室股骨浅表前后部的T2RT值明显降低。结论:所有平面的膝关节力矩增加反映了对特定鞋类的急性变化的影响。NF在负重的膝关节软骨区显示出更大的对负荷的反应。步行45分钟后,浅层似乎对负荷更敏感。
本文章由计算机程序翻译,如有差异,请以英文原文为准。
求助全文
约1分钟内获得全文 求助全文
来源期刊
Orthopaedic Journal of Sports Medicine
Orthopaedic Journal of Sports Medicine Medicine-Orthopedics and Sports Medicine
CiteScore
4.30
自引率
7.70%
发文量
876
审稿时长
12 weeks
期刊介绍: The Orthopaedic Journal of Sports Medicine (OJSM), developed by the American Orthopaedic Society for Sports Medicine (AOSSM), is a global, peer-reviewed, open access journal that combines the interests of researchers and clinical practitioners across orthopaedic sports medicine, arthroscopy, and knee arthroplasty. Topics include original research in the areas of: -Orthopaedic Sports Medicine, including surgical and nonsurgical treatment of orthopaedic sports injuries -Arthroscopic Surgery (Shoulder/Elbow/Wrist/Hip/Knee/Ankle/Foot) -Relevant translational research -Sports traumatology/epidemiology -Knee and shoulder arthroplasty The OJSM also publishes relevant systematic reviews and meta-analyses. This journal is a member of the Committee on Publication Ethics (COPE).
×
引用
GB/T 7714-2015
复制
MLA
复制
APA
复制
导出至
BibTeX EndNote RefMan NoteFirst NoteExpress
×
提示
您的信息不完整,为了账户安全,请先补充。
现在去补充
×
提示
您因"违规操作"
具体请查看互助需知
我知道了
×
提示
确定
请完成安全验证×
copy
已复制链接
快去分享给好友吧!
我知道了
右上角分享
点击右上角分享
0
联系我们:info@booksci.cn Book学术提供免费学术资源搜索服务,方便国内外学者检索中英文文献。致力于提供最便捷和优质的服务体验。 Copyright © 2023 布克学术 All rights reserved.
京ICP备2023020795号-1
ghs 京公网安备 11010802042870号
Book学术文献互助
Book学术文献互助群
群 号:604180095
Book学术官方微信