A Comparison of Notch Width Index Differences When Measured on Axial and Coronal MRI.

IF 2.5 3区 医学 Q2 ORTHOPEDICS
Orthopaedic Journal of Sports Medicine Pub Date : 2025-08-26 eCollection Date: 2025-08-01 DOI:10.1177/23259671251366425
Jonathan McKeeman, Ryan DeLeon, Neil Jain, Daniel Heckman
{"title":"A Comparison of Notch Width Index Differences When Measured on Axial and Coronal MRI.","authors":"Jonathan McKeeman, Ryan DeLeon, Neil Jain, Daniel Heckman","doi":"10.1177/23259671251366425","DOIUrl":null,"url":null,"abstract":"<p><strong>Background: </strong>There are several known risk factors for ACL injury including knee valgus moment, smaller notch width index (NWI), female sex, increased tibial slope, and meniscal deficiency. Among these, the NWI has typically been determined using either coronal or axial magnetic resonance imaging (MRI) cuts; however, it is unknown whether these measurements differ in each plane.</p><p><strong>Purpose: </strong>To compare axial versus coronal NWI measurements in ACL-injured patients to establish a benchmark for calculation.</p><p><strong>Study design: </strong>Cross-sectional study; Level of evidence, 3.</p><p><strong>Methods: </strong>Patients ≥14 years of age with a confirmed ACL injury on MRI were included for review. Two orthopaedic resident physicians measured the NWI using both axial and coronal cuts using previously described measurement criteria as well as a modification utilizing the MRI cuts with the widest bicondylar width. The NWI was computed and a <i>t</i> test was performed to compare the axial and coronal measurements. Interobserver reliability was assessed using 2-way mixed intraclass correlation coefficients (ICCs).</p><p><strong>Results: </strong>A total of 64 patients with ACL injuries were included. Modified axial and coronal NWIs for the cohort were a mean ± SD of 0.27 ± 0.02 and 0.23 ± 0.02, respectively. Modified axial NWIs were greater than coronal NWIs (<i>P</i> < .001). Standard axial and coronal NWIs for the cohort were 0.29 ± 0.03 and 0.25 ± 0.03, respectively. Standard axial NWIs were greater than coronal NWIs (<i>P</i> < .001). Modified axial and coronal NWIs for male and female patients were not different (<i>P</i> = .61 and <i>P</i> = .14, respectively). Axial notch width measurements were greater than coronal notch widths for both modified and standard measurements (<i>P</i> < .001). Axial intercondylar distances were not different from coronal intercondylar distances for both standard and modified measurements (<i>P</i> = .06 and <i>P</i> = .22, respectively). The ICCs for modified coronal and axial NWIs were 0.88 and 0.97, respectively. The ICCs for standard coronal and axial NWIs were 0.99 and 0.99, respectively.</p><p><strong>Conclusion: </strong>NWIs were greater when measured on an axial MRI compared with the coronal plane for both measurement methods. This was because notch widths were measured wider in this plane since intercondylar distances were not statistically different.</p>","PeriodicalId":19646,"journal":{"name":"Orthopaedic Journal of Sports Medicine","volume":"13 8","pages":"23259671251366425"},"PeriodicalIF":2.5000,"publicationDate":"2025-08-26","publicationTypes":"Journal Article","fieldsOfStudy":null,"isOpenAccess":false,"openAccessPdf":"https://www.ncbi.nlm.nih.gov/pmc/articles/PMC12381494/pdf/","citationCount":"0","resultStr":null,"platform":"Semanticscholar","paperid":null,"PeriodicalName":"Orthopaedic Journal of Sports Medicine","FirstCategoryId":"3","ListUrlMain":"https://doi.org/10.1177/23259671251366425","RegionNum":3,"RegionCategory":"医学","ArticlePicture":[],"TitleCN":null,"AbstractTextCN":null,"PMCID":null,"EPubDate":"2025/8/1 0:00:00","PubModel":"eCollection","JCR":"Q2","JCRName":"ORTHOPEDICS","Score":null,"Total":0}
引用次数: 0

Abstract

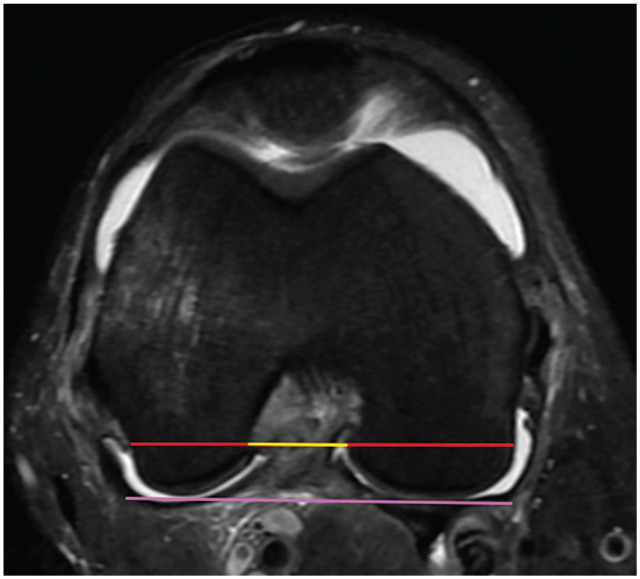
Background: There are several known risk factors for ACL injury including knee valgus moment, smaller notch width index (NWI), female sex, increased tibial slope, and meniscal deficiency. Among these, the NWI has typically been determined using either coronal or axial magnetic resonance imaging (MRI) cuts; however, it is unknown whether these measurements differ in each plane.

Purpose: To compare axial versus coronal NWI measurements in ACL-injured patients to establish a benchmark for calculation.

Study design: Cross-sectional study; Level of evidence, 3.

Methods: Patients ≥14 years of age with a confirmed ACL injury on MRI were included for review. Two orthopaedic resident physicians measured the NWI using both axial and coronal cuts using previously described measurement criteria as well as a modification utilizing the MRI cuts with the widest bicondylar width. The NWI was computed and a t test was performed to compare the axial and coronal measurements. Interobserver reliability was assessed using 2-way mixed intraclass correlation coefficients (ICCs).

Results: A total of 64 patients with ACL injuries were included. Modified axial and coronal NWIs for the cohort were a mean ± SD of 0.27 ± 0.02 and 0.23 ± 0.02, respectively. Modified axial NWIs were greater than coronal NWIs (P < .001). Standard axial and coronal NWIs for the cohort were 0.29 ± 0.03 and 0.25 ± 0.03, respectively. Standard axial NWIs were greater than coronal NWIs (P < .001). Modified axial and coronal NWIs for male and female patients were not different (P = .61 and P = .14, respectively). Axial notch width measurements were greater than coronal notch widths for both modified and standard measurements (P < .001). Axial intercondylar distances were not different from coronal intercondylar distances for both standard and modified measurements (P = .06 and P = .22, respectively). The ICCs for modified coronal and axial NWIs were 0.88 and 0.97, respectively. The ICCs for standard coronal and axial NWIs were 0.99 and 0.99, respectively.

Conclusion: NWIs were greater when measured on an axial MRI compared with the coronal plane for both measurement methods. This was because notch widths were measured wider in this plane since intercondylar distances were not statistically different.

Abstract Image

Abstract Image

Abstract Image

轴位与冠状位MRI缺口宽度指数差异的比较。
背景:有几个已知的危险因素,包括膝关节外翻力矩,较小的缺口宽度指数(NWI),女性,胫骨斜度增加,半月板缺陷。其中,NWI通常使用冠状或轴向磁共振成像(MRI)切割来确定;然而,目前尚不清楚这些测量是否在每个平面上有所不同。目的:比较acl损伤患者的轴位与冠状位NWI测量,以建立计算基准。研究设计:横断面研究;证据水平,3。方法:纳入年龄≥14岁且MRI证实前交叉韧带损伤的患者。两名骨科住院医师使用先前描述的测量标准使用轴向和冠状切口测量NWI,并使用最宽双髁宽度的MRI切口进行修改。计算NWI,并进行t检验比较轴向和冠状测量。采用双向混合类内相关系数(ICCs)评估观察者间的信度。结果:共纳入64例前交叉韧带损伤患者。该队列的改良轴位和冠状位nwi的平均±SD分别为0.27±0.02和0.23±0.02。改良轴向NWIs大于冠状NWIs (P < 0.001)。该队列的标准轴位和冠状位nwi分别为0.29±0.03和0.25±0.03。标准轴位NWIs大于冠状位NWIs (P < 0.001)。改良的轴状和冠状nwi在男性和女性患者中没有差异(P = 0.61和P = 0.14)。改良和标准的轴向缺口宽度测量值均大于冠状缺口宽度测量值(P < 0.001)。轴向髁间距离与冠状髁间距离在标准测量和改进测量中均无差异(P = 0.06和P = 0.22)。改良冠状和轴向NWIs的ICCs分别为0.88和0.97。标准冠状和轴向NWIs的ICCs分别为0.99和0.99。结论:两种测量方法在轴向MRI上测量的nwi均大于冠状面。这是因为在这个平面上测量的缺口宽度更宽,因为髁间距离没有统计学差异。
本文章由计算机程序翻译,如有差异,请以英文原文为准。
求助全文
约1分钟内获得全文 求助全文
来源期刊
Orthopaedic Journal of Sports Medicine
Orthopaedic Journal of Sports Medicine Medicine-Orthopedics and Sports Medicine
CiteScore
4.30
自引率
7.70%
发文量
876
审稿时长
12 weeks
期刊介绍: The Orthopaedic Journal of Sports Medicine (OJSM), developed by the American Orthopaedic Society for Sports Medicine (AOSSM), is a global, peer-reviewed, open access journal that combines the interests of researchers and clinical practitioners across orthopaedic sports medicine, arthroscopy, and knee arthroplasty. Topics include original research in the areas of: -Orthopaedic Sports Medicine, including surgical and nonsurgical treatment of orthopaedic sports injuries -Arthroscopic Surgery (Shoulder/Elbow/Wrist/Hip/Knee/Ankle/Foot) -Relevant translational research -Sports traumatology/epidemiology -Knee and shoulder arthroplasty The OJSM also publishes relevant systematic reviews and meta-analyses. This journal is a member of the Committee on Publication Ethics (COPE).
×
引用
GB/T 7714-2015
复制
MLA
复制
APA
复制
导出至
BibTeX EndNote RefMan NoteFirst NoteExpress
×
提示
您的信息不完整,为了账户安全,请先补充。
现在去补充
×
提示
您因"违规操作"
具体请查看互助需知
我知道了
×
提示
确定
请完成安全验证×
copy
已复制链接
快去分享给好友吧!
我知道了
右上角分享
点击右上角分享
0
联系我们:info@booksci.cn Book学术提供免费学术资源搜索服务,方便国内外学者检索中英文文献。致力于提供最便捷和优质的服务体验。 Copyright © 2023 布克学术 All rights reserved.
京ICP备2023020795号-1
ghs 京公网安备 11010802042870号
Book学术文献互助
Book学术文献互助群
群 号:604180095
Book学术官方微信