Exploring Left Atrial Appendage Thrombi in Large Vessel Occlusion Stroke by Cardiac CT: Thrombus Features, LAA Characteristics and the Impact of Direct Oral Anticoagulation.

IF 3 Q2 CLINICAL NEUROLOGY
Karim Mostafa, Sarah Krutmann, Cosima Wünsche, Naomi Larsen, Alexander Seiler, Hatim Seoudy, Domagoj Schunk, Olav Jansen, Patrick Langguth
{"title":"Exploring Left Atrial Appendage Thrombi in Large Vessel Occlusion Stroke by Cardiac CT: Thrombus Features, LAA Characteristics and the Impact of Direct Oral Anticoagulation.","authors":"Karim Mostafa, Sarah Krutmann, Cosima Wünsche, Naomi Larsen, Alexander Seiler, Hatim Seoudy, Domagoj Schunk, Olav Jansen, Patrick Langguth","doi":"10.3390/neurolint17080127","DOIUrl":null,"url":null,"abstract":"<p><p><b>Background:</b> Large vessel occlusion (LVO) strokes account for a significant proportion of ischemic strokes and are often cardioembolic in origin, particularly following atrial fibrillation (AF) with thrombus formation in the left atrial appendage (LAA). Although direct oral anticoagulation (DOAC) therapy reduces stroke risk in AF, anatomical and flow-related factors may still allow thrombi to form and persist, revealing the limitations of anticoagulation in high-risk patients. Examining structural and hemodynamic factors contributing to thrombus persistence is essential for optimizing patient management. <b>Methods:</b> We retrospectively analyzed 169 AF patients with LVO stroke who underwent cardiac CT (cCT) during acute stroke assessment. Patients were categorized based on the presence or absence of persistent LAA thrombi and further stratified by DOAC status. LAA volume, blood stasis and left ventricular (LV) diameter were measured. Thrombi were assessed using Hounsfield Unit (HU) analysis to evaluate potential differences in thrombus composition. Logistic regression analysis was performed to identify independent predictors of thrombus persistence with adjustment for DOAC therapy. <b>Results:</b> Persistent LAA thrombi were identified in 23 patients (13.6%). Patients with thrombi had significantly higher rates of stasis (<i>p</i> = 0.004), larger left ventricular diameters (<i>p</i> = 0.0019) and higher LAA volumes (<i>p</i> = 0.004). When adjusted for DOAC therapy, larger LAA volume (OR 1.05, <i>p</i> = 0.011), presence of LAA stasis (OR 6.14, <i>p</i> = 0.013) and increased LV diameter (OR 1.06, <i>p</i> = 0.006) were independent predictors of thrombus persistence. Thrombus size and HU values did not differ significantly between DOAC and non-DOAC groups. Notably, 30.4% of patients with persistent thrombi were on adequate DOAC therapy. <b>Conclusions:</b> LAA volume, stasis and LV enlargement predict thrombus persistence in the LAA of AF patients with LVO stroke, even under adequate DOAC therapy. These findings highlight the potential need for alternative antithrombotic strategies, including interventional LAA occlusion, and warrant further investigation into individualized stroke prevention in high-risk AF populations.</p>","PeriodicalId":19130,"journal":{"name":"Neurology International","volume":"17 8","pages":""},"PeriodicalIF":3.0000,"publicationDate":"2025-08-11","publicationTypes":"Journal Article","fieldsOfStudy":null,"isOpenAccess":false,"openAccessPdf":"https://www.ncbi.nlm.nih.gov/pmc/articles/PMC12388839/pdf/","citationCount":"0","resultStr":null,"platform":"Semanticscholar","paperid":null,"PeriodicalName":"Neurology International","FirstCategoryId":"1085","ListUrlMain":"https://doi.org/10.3390/neurolint17080127","RegionNum":0,"RegionCategory":null,"ArticlePicture":[],"TitleCN":null,"AbstractTextCN":null,"PMCID":null,"EPubDate":"","PubModel":"","JCR":"Q2","JCRName":"CLINICAL NEUROLOGY","Score":null,"Total":0}
引用次数: 0

Abstract

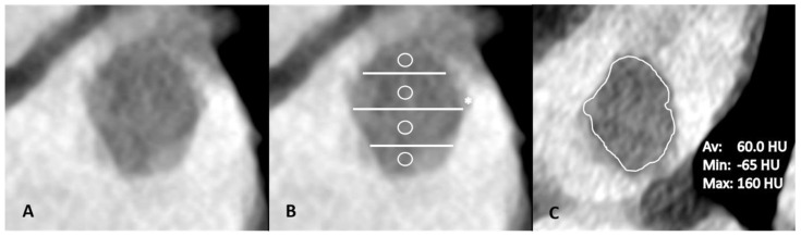
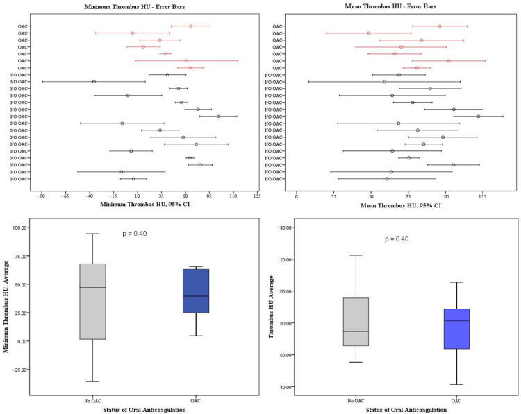
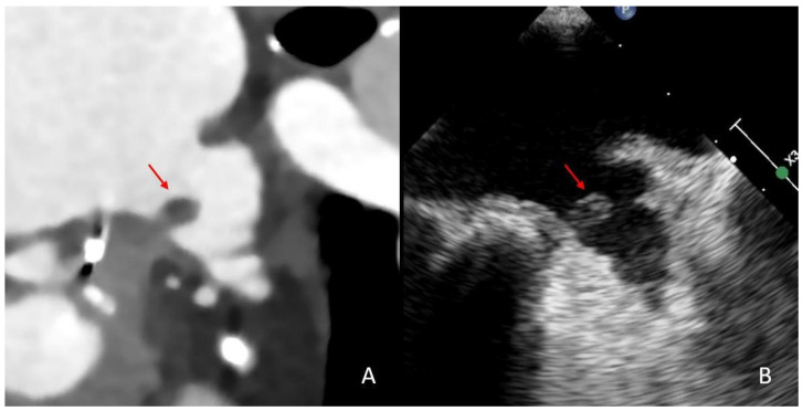
Background: Large vessel occlusion (LVO) strokes account for a significant proportion of ischemic strokes and are often cardioembolic in origin, particularly following atrial fibrillation (AF) with thrombus formation in the left atrial appendage (LAA). Although direct oral anticoagulation (DOAC) therapy reduces stroke risk in AF, anatomical and flow-related factors may still allow thrombi to form and persist, revealing the limitations of anticoagulation in high-risk patients. Examining structural and hemodynamic factors contributing to thrombus persistence is essential for optimizing patient management. Methods: We retrospectively analyzed 169 AF patients with LVO stroke who underwent cardiac CT (cCT) during acute stroke assessment. Patients were categorized based on the presence or absence of persistent LAA thrombi and further stratified by DOAC status. LAA volume, blood stasis and left ventricular (LV) diameter were measured. Thrombi were assessed using Hounsfield Unit (HU) analysis to evaluate potential differences in thrombus composition. Logistic regression analysis was performed to identify independent predictors of thrombus persistence with adjustment for DOAC therapy. Results: Persistent LAA thrombi were identified in 23 patients (13.6%). Patients with thrombi had significantly higher rates of stasis (p = 0.004), larger left ventricular diameters (p = 0.0019) and higher LAA volumes (p = 0.004). When adjusted for DOAC therapy, larger LAA volume (OR 1.05, p = 0.011), presence of LAA stasis (OR 6.14, p = 0.013) and increased LV diameter (OR 1.06, p = 0.006) were independent predictors of thrombus persistence. Thrombus size and HU values did not differ significantly between DOAC and non-DOAC groups. Notably, 30.4% of patients with persistent thrombi were on adequate DOAC therapy. Conclusions: LAA volume, stasis and LV enlargement predict thrombus persistence in the LAA of AF patients with LVO stroke, even under adequate DOAC therapy. These findings highlight the potential need for alternative antithrombotic strategies, including interventional LAA occlusion, and warrant further investigation into individualized stroke prevention in high-risk AF populations.

Abstract Image

Abstract Image

Abstract Image

心脏CT探查大血管闭塞性卒中左心耳血栓:血栓特征、LAA特征及直接口服抗凝的影响
背景:大血管闭塞(LVO)卒中在缺血性卒中中占很大比例,并且通常起源于心脏栓塞,特别是在左心房附件(LAA)血栓形成的心房颤动(AF)之后。尽管直接口服抗凝(DOAC)治疗可降低房颤卒中风险,但解剖学和血流相关因素仍可能使血栓形成并持续存在,这揭示了抗凝治疗在高危患者中的局限性。检查导致血栓持续存在的结构和血流动力学因素对于优化患者管理至关重要。方法:我们回顾性分析了169例在急性卒中评估期间接受心脏CT (cCT)检查的AF合并LVO卒中患者。根据是否存在持续性LAA血栓对患者进行分类,并根据DOAC状态进一步分层。测量LAA容积、血瘀、左室直径。使用Hounsfield Unit (HU)分析来评估血栓组成的潜在差异。进行Logistic回归分析以确定经DOAC治疗调整后血栓持续性的独立预测因素。结果:23例(13.6%)患者发现持续性LAA血栓。血栓患者的瘀血率(p = 0.004)、左心室直径(p = 0.0019)和LAA容积(p = 0.004)均显著升高。经DOAC治疗调整后,LAA容量增大(OR 1.05, p = 0.011)、LAA停滞(OR 6.14, p = 0.013)和左室直径增大(OR 1.06, p = 0.006)是血栓持续存在的独立预测因子。血栓大小和HU值在DOAC组和非DOAC组之间无显著差异。值得注意的是,30.4%的持续性血栓患者接受了充分的DOAC治疗。结论:房颤合并左心室卒中患者LAA的体积、停滞和左室增大预测血栓持续性,即使在适当的DOAC治疗下。这些发现强调了替代抗血栓策略的潜在需求,包括介入性LAA闭塞,并值得进一步研究高危房颤人群的个体化卒中预防。
本文章由计算机程序翻译,如有差异,请以英文原文为准。
求助全文
约1分钟内获得全文 求助全文
来源期刊
Neurology International
Neurology International CLINICAL NEUROLOGY-
CiteScore
3.70
自引率
3.30%
发文量
69
审稿时长
11 weeks
×
引用
GB/T 7714-2015
复制
MLA
复制
APA
复制
导出至
BibTeX EndNote RefMan NoteFirst NoteExpress
×
提示
您的信息不完整,为了账户安全,请先补充。
现在去补充
×
提示
您因"违规操作"
具体请查看互助需知
我知道了
×
提示
确定
请完成安全验证×
copy
已复制链接
快去分享给好友吧!
我知道了
右上角分享
点击右上角分享
0
联系我们:info@booksci.cn Book学术提供免费学术资源搜索服务,方便国内外学者检索中英文文献。致力于提供最便捷和优质的服务体验。 Copyright © 2023 布克学术 All rights reserved.
京ICP备2023020795号-1
ghs 京公网安备 11010802042870号
Book学术文献互助
Book学术文献互助群
群 号:604180095
Book学术官方微信