Serotype 3 pneumococcal pleural empyema: a case report and review of the epidemiology.

IF 1.4 Q3 RESPIRATORY SYSTEM
European Clinical Respiratory Journal Pub Date : 2025-08-27 eCollection Date: 2025-01-01 DOI:10.1080/20018525.2025.2546685
Maja Thoustrup Legardt Johansen, Frederikke Kristensen Lomholt, Jens-Ulrik Stæhr Jensen, Zitta Barrella Harboe
{"title":"Serotype 3 pneumococcal pleural empyema: a case report and review of the epidemiology.","authors":"Maja Thoustrup Legardt Johansen, Frederikke Kristensen Lomholt, Jens-Ulrik Stæhr Jensen, Zitta Barrella Harboe","doi":"10.1080/20018525.2025.2546685","DOIUrl":null,"url":null,"abstract":"<p><p>Serotype 3 pneumococcal infection can cause severe invasive disease, even in immunocompetent adults, and is potentially preventable by vaccination. Invasive pneumococcal disease caused by serotype 3 is currently the most frequent serotype found in adults in Denmark. In this report, we present a 62-year-old immunocompetent man diagnosed with a severe pleural empyema caused by serotype 3, requiring a long course of antibiotics. The patient experienced clinical improvement, and follow-up imaging showed near-complete resolution of lung infiltrates. We also review the epidemiology of serotype 3 invasive pneumococcal disease in adults in Denmark and discuss the challenges related to serotype 3 and effective vaccines.</p>","PeriodicalId":11872,"journal":{"name":"European Clinical Respiratory Journal","volume":"12 1","pages":"2546685"},"PeriodicalIF":1.4000,"publicationDate":"2025-08-27","publicationTypes":"Journal Article","fieldsOfStudy":null,"isOpenAccess":false,"openAccessPdf":"https://www.ncbi.nlm.nih.gov/pmc/articles/PMC12392429/pdf/","citationCount":"0","resultStr":null,"platform":"Semanticscholar","paperid":null,"PeriodicalName":"European Clinical Respiratory Journal","FirstCategoryId":"1085","ListUrlMain":"https://doi.org/10.1080/20018525.2025.2546685","RegionNum":0,"RegionCategory":null,"ArticlePicture":[],"TitleCN":null,"AbstractTextCN":null,"PMCID":null,"EPubDate":"2025/1/1 0:00:00","PubModel":"eCollection","JCR":"Q3","JCRName":"RESPIRATORY SYSTEM","Score":null,"Total":0}
引用次数: 0

Abstract

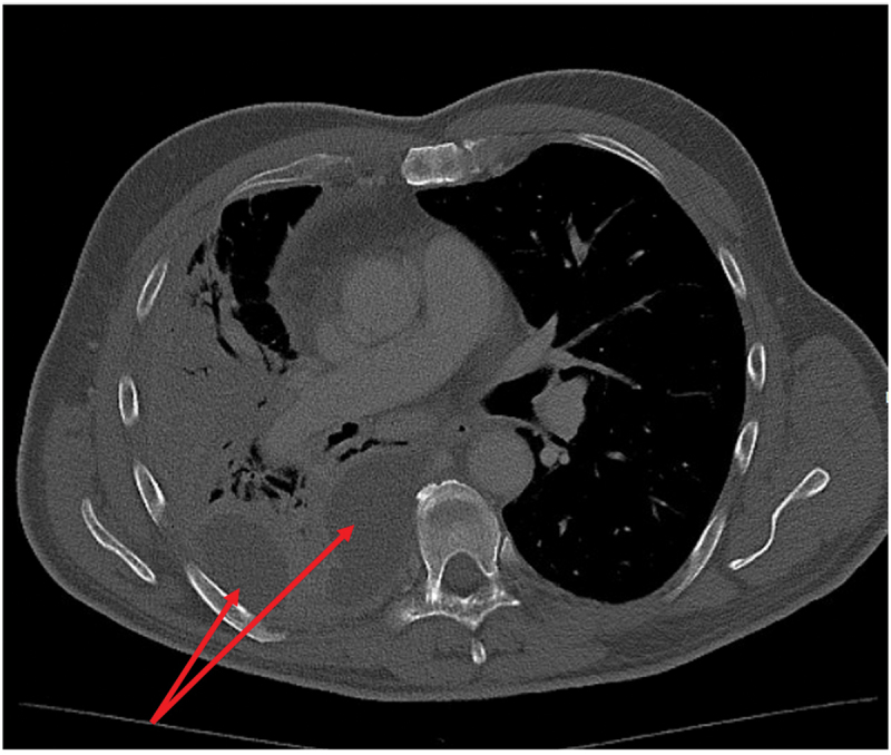
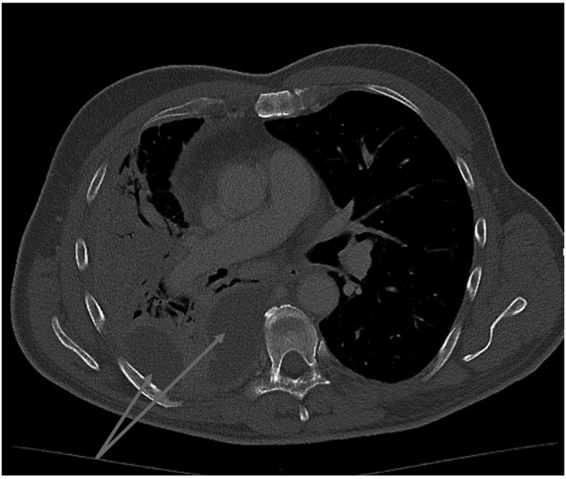
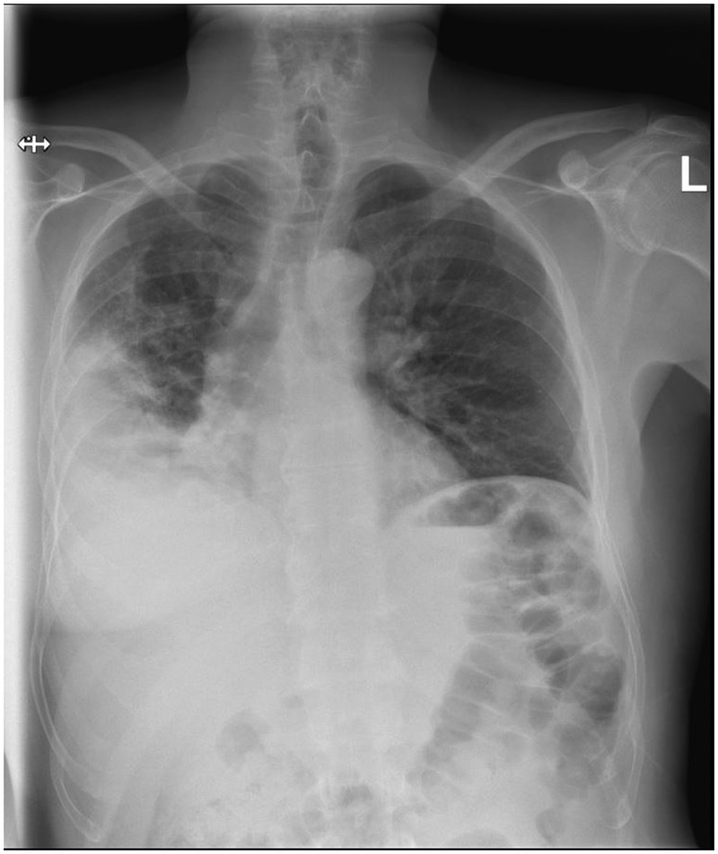
Serotype 3 pneumococcal infection can cause severe invasive disease, even in immunocompetent adults, and is potentially preventable by vaccination. Invasive pneumococcal disease caused by serotype 3 is currently the most frequent serotype found in adults in Denmark. In this report, we present a 62-year-old immunocompetent man diagnosed with a severe pleural empyema caused by serotype 3, requiring a long course of antibiotics. The patient experienced clinical improvement, and follow-up imaging showed near-complete resolution of lung infiltrates. We also review the epidemiology of serotype 3 invasive pneumococcal disease in adults in Denmark and discuss the challenges related to serotype 3 and effective vaccines.

Abstract Image

Abstract Image

Abstract Image

血清3型肺炎球菌性胸膜脓肿1例报告及流行病学回顾。
血清3型肺炎球菌感染可引起严重的侵袭性疾病,即使在免疫能力强的成年人中也是如此,并且有可能通过接种疫苗加以预防。由血清型3引起的侵袭性肺炎球菌病是目前在丹麦成人中发现的最常见的血清型。在这个报告中,我们提出了一个62岁的免疫功能正常的男性诊断为严重的胸膜脓肿引起的血清型3,需要长疗程的抗生素。患者临床改善,随访影像显示肺浸润几乎完全消失。我们还回顾了丹麦成人血清3型侵袭性肺炎球菌疾病的流行病学,并讨论了与血清3型和有效疫苗相关的挑战。
本文章由计算机程序翻译,如有差异,请以英文原文为准。
求助全文
约1分钟内获得全文 求助全文
来源期刊
CiteScore
3.80
自引率
0.00%
发文量
15
审稿时长
16 weeks
×
引用
GB/T 7714-2015
复制
MLA
复制
APA
复制
导出至
BibTeX EndNote RefMan NoteFirst NoteExpress
×
提示
您的信息不完整,为了账户安全,请先补充。
现在去补充
×
提示
您因"违规操作"
具体请查看互助需知
我知道了
×
提示
确定
请完成安全验证×
copy
已复制链接
快去分享给好友吧!
我知道了
右上角分享
点击右上角分享
0
联系我们:info@booksci.cn Book学术提供免费学术资源搜索服务,方便国内外学者检索中英文文献。致力于提供最便捷和优质的服务体验。 Copyright © 2023 布克学术 All rights reserved.
京ICP备2023020795号-1
ghs 京公网安备 11010802042870号
Book学术文献互助
Book学术文献互助群
群 号:604180095
Book学术官方微信