Primary Yolk Sac Tumor of the Stomach in a 2-Year-Old Boy: Case Report on a Rare Site for Extragonadal Malignant Germ Cell Tumor.

IF 0.5 Q4 PEDIATRICS
Case Reports in Pediatrics Pub Date : 2025-08-20 eCollection Date: 2025-01-01 DOI:10.1155/crpe/1148505
Saiesh V Reddy, Subhash Yadav, Samreen S Qureshi, Sajid S Qureshi
{"title":"Primary Yolk Sac Tumor of the Stomach in a 2-Year-Old Boy: Case Report on a Rare Site for Extragonadal Malignant Germ Cell Tumor.","authors":"Saiesh V Reddy, Subhash Yadav, Samreen S Qureshi, Sajid S Qureshi","doi":"10.1155/crpe/1148505","DOIUrl":null,"url":null,"abstract":"<p><p>Up to one-third of germ cell tumors are extragonadal neoplasms, with yolk sac tumors (YSTs) being the most common malignant histology. This report describes the successful multimodal management of a primary YST of the stomach in a 2-year-old boy. The child presented with melena, and further evaluation revealed a mass lesion in the cardia of the stomach. A biopsy established a diagnosis of a YST, which correlated with an elevated serum alpha-fetoprotein level. The child received three cycles of chemotherapy consisting of cisplatin, etoposide, and bleomycin (PEB), followed by surgical resection in the form of proximal gastrectomy. After an uneventful recovery from surgery, he received an additional three cycles of PEB and has remained disease-free for 7 years. This case highlights the potential for the occurrence of a relatively rare childhood tumor at an unusual site, which can pose diagnostic challenges. However, careful evaluation and meticulous management can lead to favorable outcomes.</p>","PeriodicalId":9623,"journal":{"name":"Case Reports in Pediatrics","volume":"2025 ","pages":"1148505"},"PeriodicalIF":0.5000,"publicationDate":"2025-08-20","publicationTypes":"Journal Article","fieldsOfStudy":null,"isOpenAccess":false,"openAccessPdf":"https://www.ncbi.nlm.nih.gov/pmc/articles/PMC12390680/pdf/","citationCount":"0","resultStr":null,"platform":"Semanticscholar","paperid":null,"PeriodicalName":"Case Reports in Pediatrics","FirstCategoryId":"1085","ListUrlMain":"https://doi.org/10.1155/crpe/1148505","RegionNum":0,"RegionCategory":null,"ArticlePicture":[],"TitleCN":null,"AbstractTextCN":null,"PMCID":null,"EPubDate":"2025/1/1 0:00:00","PubModel":"eCollection","JCR":"Q4","JCRName":"PEDIATRICS","Score":null,"Total":0}
引用次数: 0

Abstract

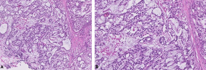
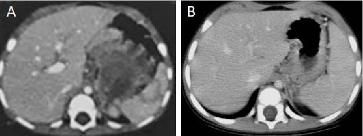
Up to one-third of germ cell tumors are extragonadal neoplasms, with yolk sac tumors (YSTs) being the most common malignant histology. This report describes the successful multimodal management of a primary YST of the stomach in a 2-year-old boy. The child presented with melena, and further evaluation revealed a mass lesion in the cardia of the stomach. A biopsy established a diagnosis of a YST, which correlated with an elevated serum alpha-fetoprotein level. The child received three cycles of chemotherapy consisting of cisplatin, etoposide, and bleomycin (PEB), followed by surgical resection in the form of proximal gastrectomy. After an uneventful recovery from surgery, he received an additional three cycles of PEB and has remained disease-free for 7 years. This case highlights the potential for the occurrence of a relatively rare childhood tumor at an unusual site, which can pose diagnostic challenges. However, careful evaluation and meticulous management can lead to favorable outcomes.

Abstract Image

Abstract Image

Abstract Image

2岁男童原发性胃卵黄囊肿瘤:一罕见的肛门外恶性生殖细胞瘤病例报告。
多达三分之一的生殖细胞肿瘤是肛门外肿瘤,卵黄囊肿瘤(YSTs)是最常见的恶性组织学。本报告描述了一名2岁男孩原发性胃YST的成功多模式治疗。患儿表现为黑黑,进一步检查发现贲门处有肿块。活检诊断为YST,与血清甲胎蛋白水平升高相关。该患儿接受了顺铂、依托泊苷和博来霉素(PEB)组成的三个周期化疗,随后进行了近端胃切除术。手术顺利恢复后,他接受了另外三个周期的PEB治疗,并保持无病7年。这个病例强调了在一个不寻常的部位发生一种相对罕见的儿童肿瘤的可能性,这可能会给诊断带来挑战。然而,仔细的评估和细致的管理可以带来良好的结果。
本文章由计算机程序翻译,如有差异,请以英文原文为准。
求助全文
约1分钟内获得全文 求助全文
来源期刊
自引率
11.10%
发文量
48
审稿时长
13 weeks
×
引用
GB/T 7714-2015
复制
MLA
复制
APA
复制
导出至
BibTeX EndNote RefMan NoteFirst NoteExpress
×
提示
您的信息不完整,为了账户安全,请先补充。
现在去补充
×
提示
您因"违规操作"
具体请查看互助需知
我知道了
×
提示
确定
请完成安全验证×
copy
已复制链接
快去分享给好友吧!
我知道了
右上角分享
点击右上角分享
0
联系我们:info@booksci.cn Book学术提供免费学术资源搜索服务,方便国内外学者检索中英文文献。致力于提供最便捷和优质的服务体验。 Copyright © 2023 布克学术 All rights reserved.
京ICP备2023020795号-1
ghs 京公网安备 11010802042870号
Book学术文献互助
Book学术文献互助群
群 号:604180095
Book学术官方微信