Activated Growth Factor (AGF) as a Superior Biological Therapy for Osteoarthritis: Comparative Efficacy in Modulating Cartilage Degeneration and Inflammation in vivo.

IF 3.4 Q1 MEDICINE, RESEARCH & EXPERIMENTAL
Biologics : Targets & Therapy Pub Date : 2025-08-21 eCollection Date: 2025-01-01 DOI:10.2147/BTT.S541172
Rachmat Hidayat, Zaliha Harun
{"title":"Activated Growth Factor (AGF) as a Superior Biological Therapy for Osteoarthritis: Comparative Efficacy in Modulating Cartilage Degeneration and Inflammation in vivo.","authors":"Rachmat Hidayat, Zaliha Harun","doi":"10.2147/BTT.S541172","DOIUrl":null,"url":null,"abstract":"<p><strong>Purpose: </strong>This study aimed to explore the effect of activated growth factor (AGF) in anabolic-catabolic regulation pathway in an experimental osteoarthritis (OA) rat model. This investigation was predicated on the critical need for a disease-modifying osteoarthritis drug, seeking to determine if AGF could restore chondral homeostasis by reversing the catabolic-dominant state that defines OA pathology. This is the first study to compare AGF with platelet-rich plasma (PRP) and diclofenac sodium in vivo.</p><p><strong>Methods: </strong>Fifty-six male Wistar rats were randomly allocated into seven groups (n = 8 per group); normal control (NC), negative control (OA induced, saline-treated), positive control with platelet-rich plasma (PRP) (OA induced + PRP), positive control diclofenac (OA induced + Diclofenac sodium), AGF 0.1 ng/mL (OA induced + AGF with TGF-β at 0.1 ng/mL), AGF 1 ng/mL (OA induced + AGF with TGF-β at 1 ng/mL), AGF 10 ng/mL (OA induced + AGF with TGF-β at 10 ng/mL). Cartilage anabolic-catabolic status was assessed by measuring matrix metalloproteinases (MMP-1, MMP-13), a-disintegrin and metalloproteinase with thrombospondin motifs-4 (ADAMTS-4), SMAD3, aggrecan, and collagen type II (Col2) expression via ELISA and Western blot. Key inflammatory mediators (TNF-α, IL-1β, NF-κB) and histopathological changes were also evaluated.</p><p><strong>Results: </strong>AGF treatment demonstrated superior efficacy in modulating anabolic-catabolic balance compared to OA controls and PRP. AGF dose-dependently and significantly decreased MMP-1, MMP-13, and ADAMTS-4 levels. Conversely, AGF significantly increased SMAD3 phosphorylation, aggrecan synthesis, and Col2 expression, surpassing the effects of PRP. The 10 ng/mL AGF group showed the most pronounced chondroprotective and anabolic effects, often restoring parameters towards normal levels. Furthermore, AGF significantly reduced TNF-α, IL-1β, and NF-κB levels, and diminished inflammatory cell infiltration, with the 10 ng/mL dose being comparable or superior to Diclofenac in these anti-inflammatory/anti-catabolic effects. PRP showed moderate benefits, generally less than AGF formulations.</p><p><strong>Conclusion: </strong>Platelet-derived AGF, as an advanced mode of PRP, effectively regulates the anabolic-catabolic processes in OA cartilage. It achieved this by significantly inhibiting key catabolic enzymes and pro-inflammatory mediators, while concurrently promoting crucial anabolic signaling pathways and extracellular matrix synthesis. These findings highlight AGF's substantial therapeutic potential as a disease-modifying biological agent for OA.</p>","PeriodicalId":9025,"journal":{"name":"Biologics : Targets & Therapy","volume":"19 ","pages":"463-479"},"PeriodicalIF":3.4000,"publicationDate":"2025-08-21","publicationTypes":"Journal Article","fieldsOfStudy":null,"isOpenAccess":false,"openAccessPdf":"https://www.ncbi.nlm.nih.gov/pmc/articles/PMC12377479/pdf/","citationCount":"0","resultStr":null,"platform":"Semanticscholar","paperid":null,"PeriodicalName":"Biologics : Targets & Therapy","FirstCategoryId":"1085","ListUrlMain":"https://doi.org/10.2147/BTT.S541172","RegionNum":0,"RegionCategory":null,"ArticlePicture":[],"TitleCN":null,"AbstractTextCN":null,"PMCID":null,"EPubDate":"2025/1/1 0:00:00","PubModel":"eCollection","JCR":"Q1","JCRName":"MEDICINE, RESEARCH & EXPERIMENTAL","Score":null,"Total":0}
引用次数: 0

Abstract

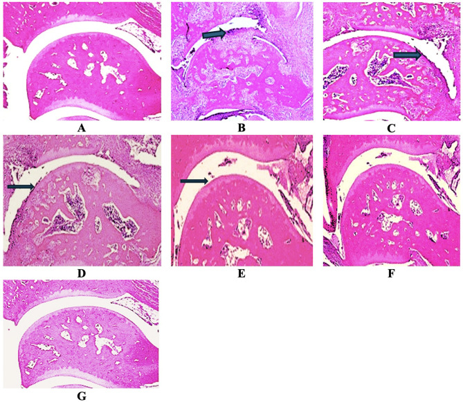
Purpose: This study aimed to explore the effect of activated growth factor (AGF) in anabolic-catabolic regulation pathway in an experimental osteoarthritis (OA) rat model. This investigation was predicated on the critical need for a disease-modifying osteoarthritis drug, seeking to determine if AGF could restore chondral homeostasis by reversing the catabolic-dominant state that defines OA pathology. This is the first study to compare AGF with platelet-rich plasma (PRP) and diclofenac sodium in vivo.

Methods: Fifty-six male Wistar rats were randomly allocated into seven groups (n = 8 per group); normal control (NC), negative control (OA induced, saline-treated), positive control with platelet-rich plasma (PRP) (OA induced + PRP), positive control diclofenac (OA induced + Diclofenac sodium), AGF 0.1 ng/mL (OA induced + AGF with TGF-β at 0.1 ng/mL), AGF 1 ng/mL (OA induced + AGF with TGF-β at 1 ng/mL), AGF 10 ng/mL (OA induced + AGF with TGF-β at 10 ng/mL). Cartilage anabolic-catabolic status was assessed by measuring matrix metalloproteinases (MMP-1, MMP-13), a-disintegrin and metalloproteinase with thrombospondin motifs-4 (ADAMTS-4), SMAD3, aggrecan, and collagen type II (Col2) expression via ELISA and Western blot. Key inflammatory mediators (TNF-α, IL-1β, NF-κB) and histopathological changes were also evaluated.

Results: AGF treatment demonstrated superior efficacy in modulating anabolic-catabolic balance compared to OA controls and PRP. AGF dose-dependently and significantly decreased MMP-1, MMP-13, and ADAMTS-4 levels. Conversely, AGF significantly increased SMAD3 phosphorylation, aggrecan synthesis, and Col2 expression, surpassing the effects of PRP. The 10 ng/mL AGF group showed the most pronounced chondroprotective and anabolic effects, often restoring parameters towards normal levels. Furthermore, AGF significantly reduced TNF-α, IL-1β, and NF-κB levels, and diminished inflammatory cell infiltration, with the 10 ng/mL dose being comparable or superior to Diclofenac in these anti-inflammatory/anti-catabolic effects. PRP showed moderate benefits, generally less than AGF formulations.

Conclusion: Platelet-derived AGF, as an advanced mode of PRP, effectively regulates the anabolic-catabolic processes in OA cartilage. It achieved this by significantly inhibiting key catabolic enzymes and pro-inflammatory mediators, while concurrently promoting crucial anabolic signaling pathways and extracellular matrix synthesis. These findings highlight AGF's substantial therapeutic potential as a disease-modifying biological agent for OA.

Abstract Image

Abstract Image

Abstract Image

活化生长因子(AGF)作为骨关节炎的优越生物疗法:体内调节软骨退变和炎症的比较疗效。
目的:探讨活化生长因子(activated growth factor, AGF)在实验性骨关节炎(OA)大鼠模型中合成代谢-分解代谢调控通路中的作用。这项研究基于对一种疾病改善性骨关节炎药物的迫切需求,试图确定AGF是否可以通过逆转定义OA病理的分解代谢主导状态来恢复软骨稳态。这是第一个比较AGF与富血小板血浆(PRP)和双氯芬酸钠在体内的研究。方法:56只雄性Wistar大鼠随机分为7组,每组8只;正常对照(NC)、阴性对照(OA诱导、盐水处理)、富血小板血浆(PRP)阳性对照(OA诱导+ PRP)、阳性对照双氯芬酸(OA诱导+双氯芬酸钠)、AGF 0.1 ng/mL (OA诱导+ AGF伴TGF-β 0.1 ng/mL)、AGF 1 ng/mL (OA诱导+ AGF伴TGF-β 1 ng/mL)、AGF 10 ng/mL (OA诱导+ AGF伴TGF-β 10 ng/mL)。通过ELISA和Western blot检测基质金属蛋白酶(MMP-1、MMP-13)、a-崩解素和金属蛋白酶伴血小板反应蛋白-4 (ADAMTS-4)、SMAD3、聚集蛋白和II型胶原(Col2)的表达,评估软骨合成代谢-分解代谢状态。观察各组主要炎症因子(TNF-α、IL-1β、NF-κB)及组织病理学变化。结果:与OA对照组和PRP相比,AGF治疗在调节合成代谢-分解代谢平衡方面表现出优越的疗效。AGF剂量依赖性地显著降低MMP-1、MMP-13和ADAMTS-4水平。相反,AGF显著增加SMAD3磷酸化、聚集蛋白合成和Col2表达,超过PRP的作用。10 ng/mL AGF组显示出最明显的软骨保护和合成代谢作用,通常将参数恢复到正常水平。此外,AGF显著降低TNF-α、IL-1β和NF-κB水平,减少炎症细胞浸润,10 ng/mL剂量在这些抗炎/抗分解代谢作用方面与双氯芬酸相当或优于双氯芬酸。PRP表现出适度的效益,一般低于AGF配方。结论:血小板源性AGF作为PRP的一种高级模式,可有效调节OA软骨的合成代谢-分解代谢过程。它通过显著抑制关键分解代谢酶和促炎介质来实现这一目标,同时促进关键的合成代谢信号通路和细胞外基质合成。这些发现强调了AGF作为OA疾病修饰生物制剂的巨大治疗潜力。
本文章由计算机程序翻译,如有差异,请以英文原文为准。
求助全文
约1分钟内获得全文 求助全文
来源期刊
Biologics : Targets & Therapy
Biologics : Targets & Therapy MEDICINE, RESEARCH & EXPERIMENTAL-
CiteScore
8.30
自引率
0.00%
发文量
22
审稿时长
16 weeks
×
引用
GB/T 7714-2015
复制
MLA
复制
APA
复制
导出至
BibTeX EndNote RefMan NoteFirst NoteExpress
×
提示
您的信息不完整,为了账户安全,请先补充。
现在去补充
×
提示
您因"违规操作"
具体请查看互助需知
我知道了
×
提示
确定
请完成安全验证×
copy
已复制链接
快去分享给好友吧!
我知道了
右上角分享
点击右上角分享
0
联系我们:info@booksci.cn Book学术提供免费学术资源搜索服务,方便国内外学者检索中英文文献。致力于提供最便捷和优质的服务体验。 Copyright © 2023 布克学术 All rights reserved.
京ICP备2023020795号-1
ghs 京公网安备 11010802042870号
Book学术文献互助
Book学术文献互助群
群 号:604180095
Book学术官方微信